Antibody data
- Antibody Data
- Antigen structure
- References [0]
- Comments [0]
- Validations
- Western blot [2]
- Immunoprecipitation [1]
- Immunohistochemistry [2]
Submit
Validation data
Reference
Comment
Report error
- Product number
- NBP2-22294 - Provider product page 
- Provider
- Novus Biologicals
- Product name
- Goat Polyclonal DBC1/p30 Antibody
- Antibody type
- Polyclonal
- Description
- Immunogen affinity purified.
- Reactivity
- Human, Mouse
- Host
- Goat
- Isotype
- IgG
- Vial size
- 100 ul
- Concentration
- 1.0 mg/ml
- Storage
- Store at 4C. Do not freeze.
				No comments: Submit comment	
	
			
							
					Supportive validation
					
									
				
				- Submitted by
- Novus Biologicals (provider)
- Main image
 
- Experimental details
- Western Blot: DBC1/p30 Antibody [NBP2-22294] - Whole cell lysate from 293T (15 and 50 ug), HeLa (50 ug), and Jurkat (50 ug) cells. NBP2-22294 used for WB at 0.1 ug/ml. Detection: Chemiluminescence with an exposure time of 30 seconds.
- Submitted by
- Novus Biologicals (provider)
- Main image
 
- Experimental details
- Western Blot: DBC1/p30 Antibody [NBP2-22294] - Whole cell lysate (50 ug) from NIH3T3 , Renca, and TCMK-1 cells. NBP2-22294 used for WB at 0.1 ug/ml. Detection: Chemiluminescence with an exposure time of 30 seconds.
							
					Supportive validation
					
									
				
				- Submitted by
- Novus Biologicals (provider)
- Main image
 
- Experimental details
- Immunoprecipitation: DBC1/p30 Antibody [NBP2-22294] - Whole cell lysate (1 mg for IP; 20% of IP loaded) from 293T cells. Antibodies: NBP2-22294 used for IP at 6 ug/mg lysate. DBC1/p30 was also immunoprecipitated by rabbit anti-DBC1/p30 antibody NB200-190. For blotting immunoprecipitated DBC1/p30, NB200-190 was used at 1 ug/ml. Detection: Chemiluminescence with an exposure time of 10 seconds.
							
					Supportive validation
					
									
				
		- Submitted by
- Novus Biologicals (provider)
- Main image
 
- Experimental details
- Immunohistochemistry-Paraffin: DBC1/p30 Antibody [NBP2-22294] - Section of mouse teratoma. Antibody: Affinity purified rabbit anti- BC1/p30 used at a dilution of 1:1,000 (1ug/ml). Detection: DAB. Counterstain: Hematoxylin (blue).
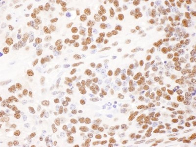
- Submitted by
- Novus Biologicals (provider)
- Main image
 
- Experimental details
- Immunohistochemistry-Paraffin: DBC1/p30 Antibody [NBP2-22294] - Section of human prostate carcinoma. Antibody: Affinity purified rabbit anti- BC1/p30 used at a dilution of 1:1,000 (1ug/ml). Detection: DAB. Counterstain: Hematoxylin (blue).