AP08473PU-N
antibody from OriGene
Targeting: TNFRSF10B
CD262, DR5, KILLER, TRAIL-R2, TRAILR2, TRICK2A, TRICKB
Antibody data
- Antibody Data
- Antigen structure
- References [0]
- Comments [0]
- Validations
- Immunohistochemistry [1]
Submit
Validation data
Reference
Comment
Report error
- Product number
- AP08473PU-N - Provider product page

- Provider
- OriGene
- Product name
- DR5 (TNFRSF10B) (isoform 2) (388-407) rabbit polyclonal antibody, Aff - Purified
- Antibody type
- Polyclonal
- Description
- DR5 (TNFRSF10B) (isoform 2) (388-407) rabbit polyclonal antibody, Aff - Purified
- Host
- Rabbit
- Conjugate
- Unconjugated
- Epitope
- TNFRSF10B
- Isotype
- IgG
- Antibody clone number
- NULL
- Vial size
- 50 µg
- Concentration
- 0.5 mg/ml
No comments: Submit comment
Supportive validation
- Submitted by
- OriGene (provider)
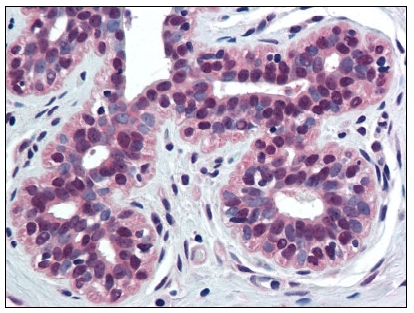
- Main image

- Experimental details
- CD262 antibody staining of Formalin-Fixed Paraffin-Embedded Human Breast at 10 ug/ml.
- Validation comment
- IHC