Antibody data
- Antibody Data
- Antigen structure
- References [7]
- Comments [0]
- Validations
- Western blot [1]
- Immunoprecipitation [1]
- Immunohistochemistry [1]
Submit
Validation data
Reference
Comment
Report error
- Product number
- 55005-1-AP - Provider product page

- Provider
- Proteintech Group
- Proper citation
- Proteintech Cat#55005-1-AP, RRID:AB_10858389
- Product name
- SETD1B antibody
- Antibody type
- Polyclonal
- Description
- SETD1B antibody (Cat. #55005-1-AP) is a rabbit polyclonal antibody that shows reactivity with human, mouse and has been validated for the following applications: IF, IHC, IP, WB, ELISA.
- Reactivity
- Human, Mouse
- Host
- Rabbit
- Conjugate
- Unconjugated
- Isotype
- IgG
- Vial size
- 20ul, 150ul
Submitted references Epigenetic Mechanism of SETD1B-mediated Histone Methylation in Cognitive Impairment Induced by Sevoflurane Anesthesia in Neonatal Mice.
Risk model-guided identification of MTDH expression as a marker for ferroptosis induction therapy in head and neck squamous cell carcinoma.
Downregulation of BASP1 Promotes Temozolomide Resistance in Gliomas via Epigenetic Activation of the FBXO32/NF-κB/MGMT Axis.
NF-κB p65 and SETDB1 expedite lipopolysaccharide-induced intestinal inflammation in mice by inducing IRF7/NLR-dependent macrophage M1 polarization.
A program of successive gene expression in mouse one-cell embryos.
Expression of the histone lysine methyltransferases SETD1B, SETDB1, SETD2, and CFP1 exhibits significant changes in the oocytes and granulosa cells of aged mouse ovaries.
(20S) Ginsenoside Rh2 Exerts Its Anti-Tumor Effect by Disrupting the HSP90A-Cdc37 System in Human Liver Cancer Cells.
Wang Z, Zhang J, Tang Q, Tan Y
Neuroscience 2024 May 3;545:1-15
Neuroscience 2024 May 3;545:1-15
Risk model-guided identification of MTDH expression as a marker for ferroptosis induction therapy in head and neck squamous cell carcinoma.
Wang X, Gao Y, Miao R, Li L, Nanding A, Liu Y, Zhang X
American journal of cancer research 2023;13(11):5236-5253
American journal of cancer research 2023;13(11):5236-5253
Downregulation of BASP1 Promotes Temozolomide Resistance in Gliomas via Epigenetic Activation of the FBXO32/NF-κB/MGMT Axis.
Liao X, Li Z, Zheng H, Qian W, Zhang S, Chen S, Li X, Tang M, Xu Y, Yu R, Li M, Song L, Li J
Molecular cancer research : MCR 2023 Jul 5;21(7):648-663
Molecular cancer research : MCR 2023 Jul 5;21(7):648-663
NF-κB p65 and SETDB1 expedite lipopolysaccharide-induced intestinal inflammation in mice by inducing IRF7/NLR-dependent macrophage M1 polarization.
Chen L, Dai M, Zuo W, Dai Y, Yang Q, Yu S, Huang M, Liu H
International immunopharmacology 2023 Feb;115:109554
International immunopharmacology 2023 Feb;115:109554
A program of successive gene expression in mouse one-cell embryos.
Asami M, Lam BYH, Hoffmann M, Suzuki T, Lu X, Yoshida N, Ma MK, Rainbow K, Gužvić M, VerMilyea MD, Yeo GSH, Klein CA, Perry ACF
Cell reports 2023 Feb 28;42(2):112023
Cell reports 2023 Feb 28;42(2):112023
Expression of the histone lysine methyltransferases SETD1B, SETDB1, SETD2, and CFP1 exhibits significant changes in the oocytes and granulosa cells of aged mouse ovaries.
Bilmez Y, Talibova G, Ozturk S
Histochemistry and cell biology 2022 Jul;158(1):79-95
Histochemistry and cell biology 2022 Jul;158(1):79-95
(20S) Ginsenoside Rh2 Exerts Its Anti-Tumor Effect by Disrupting the HSP90A-Cdc37 System in Human Liver Cancer Cells.
Chen C, Wang YS, Zhang ET, Li GA, Liu WY, Li Y, Jin YH
International journal of molecular sciences 2021 Dec 6;22(23)
International journal of molecular sciences 2021 Dec 6;22(23)
No comments: Submit comment
Supportive validation
- Submitted by
- Proteintech Group (provider)
- Main image

- Experimental details
- human brain tissue were subjected to SDS PAGE followed by western blot with 55005-1-AP(SETD1B antibody) at dilution of 1:800
- Sample type
- tissue
Supportive validation
- Submitted by
- Proteintech Group (provider)
- Main image

- Experimental details
- IP Result of anti-SETD1B (IP:55005-1-AP, 5ug; Detection:55005-1-AP 1:300) with MCF-7 cells lysate 3250ug.
- Sample type
- cell line
Supportive validation
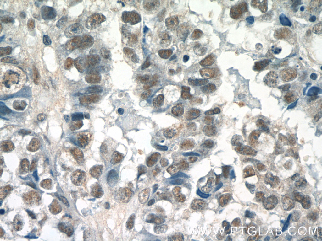
- Submitted by
- Proteintech Group (provider)
- Main image

- Experimental details
- The SETD1B antibody from Proteintech is a rabbit polyclonal antibody to a peptide of human SETD1B. This antibody recognizes human, mouse antigen. The SETD1B antibody has been validated for the following applications: ELISA, WB, IP, IHC analysis.