Antibody data
- Antibody Data
- Antigen structure
- References [0]
- Comments [0]
- Validations
- Western blot [1]
- Immunocytochemistry [1]
- Immunohistochemistry [3]
- Flow cytometry [2]
Submit
Validation data
Reference
Comment
Report error
- Product number
- TA503075 - Provider product page

- Provider
- Invitrogen Antibodies
- Product name
- RGS5 Monoclonal Antibody (OTI1C1), TrueMAB™
- Antibody type
- Monoclonal
- Antigen
- Recombinant full-length protein
- Reactivity
- Human
- Host
- Mouse
- Isotype
- IgG
- Antibody clone number
- OTI1C1
- Vial size
- 100 µL
- Concentration
- 1 mg/mL
- Storage
- -20° C, Avoid Freeze/Thaw Cycles
No comments: Submit comment
Supportive validation
- Submitted by
- Invitrogen Antibodies (provider)
- Main image

- Experimental details
- HEK293T cells were transfected with the pCMV6-ENTRY control (Left lane) or pCMV6-ENTRY RGS5 (RC206857, Right lane) cDNA for 48 hrs and lysed. Equivalent amounts of cell lysates (5 µg per lane) were separated by SDS-PAGE and immunoblotted with anti-RGS5. Positive lysates LY418548 (100 µg) and LC418548 (20 µg) can be purchased separately from OriGene.
Supportive validation
- Submitted by
- Invitrogen Antibodies (provider)
- Main image

- Experimental details
- Figure from citation: immunofluorescence of RGS5 protein level by using anti-RGS5 antibody in primary neonatal pig GMCs. View Citation
Supportive validation
- Submitted by
- Invitrogen Antibodies (provider)
- Main image

- Experimental details
- Figure from citation: immunofluorescence of RGS5 protein level by using anti-RGS5 antibody in human brain pericytes. Dilution: 1:200 View Citation
- Submitted by
- Invitrogen Antibodies (provider)
- Main image

- Experimental details
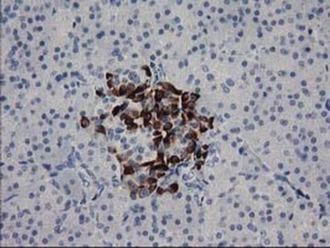
- Immunohistochemical staining of paraffin-embedded human pancreas tissue within the normal limits using anti-RGS5 mouse monoclonal antibody. (Heat-induced epitope retrieval by 10mM citric buffer, pH6.0, 100°C for 10min, TA503075)
- Submitted by
- Invitrogen Antibodies (provider)
- Main image

- Experimental details
- Immunohistochemical staining of paraffin-embedded Carcinoma of Human pancreas tissue using anti-RGS5 mouse monoclonal antibody. (Heat-induced epitope retrieval by 10mM citric buffer, pH6.0, 100°C for 10min, TA503075)
Supportive validation
- Submitted by
- Invitrogen Antibodies (provider)
- Main image

- Experimental details
- HEK293T cells transfected with either RC206857 overexpress plasmid (Red) or empty vector control plasmid (Blue) were immunostained by anti-RGS5 antibody (TA503075), and then analyzed by flow cytometry.
- Submitted by
- Invitrogen Antibodies (provider)
- Main image

- Experimental details
- Flow cytometric analysis of Jurkat cells, using anti-RGS5 antibody (TA503075), (Red), compared to a nonspecific negative control antibody, (Blue).