Antibody data
- Antibody Data
- Antigen structure
- References [0]
- Comments [0]
- Validations
- Western blot [1]
- Immunohistochemistry [2]
Submit
Validation data
Reference
Comment
Report error
- Product number
- LS-C40336 - Provider product page

- Provider
- LSBio
- Proper citation
- LifeSpan Cat#LS-C40336, RRID:AB_2247636
- Product name
- GGTLA4 / GGTLC1 Antibody (C-Terminus) LS-C40336
- Antibody type
- Polyclonal
- Description
- Protein A purified
- Reactivity
- Human
- Host
- Rabbit
- Isotype
- IgG
- Storage
- Short term: Store at 2-8°C. Long term: Aliquot and store at -20°C. Avoid freeze/thaw cycles.
No comments: Submit comment
Enhanced validation
- Submitted by
- LSBio (provider)
- Enhanced method
- Genetic validation
- Main image

- Experimental details
- GGTLC1 / GGTLA4 antibody ARP41639_T100-NP_563577-GGTLA4(gamma-glutamyltransferase-like activity 4) Antibody Western blot of Fetal Kidney lysate. This image was taken for the unconjugated form of this product. Other forms have not been tested.
Supportive validation
- Submitted by
- LSBio (provider)
- Enhanced method
- Genetic validation
- Main image

- Experimental details
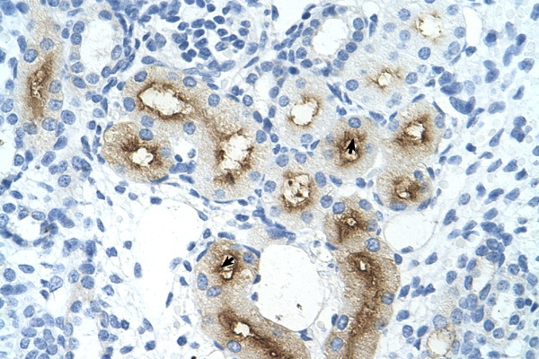
- GGTLC1 / GGTLA4 antibody ARP41639_T100-NP_563577-GGTLA4(gamma-glutamyltransferase-like activity 4) Antibody IHC of formalin-fixed, paraffin-embedded human Kidney. Positive label: Epithelial cells of renal tubule indicated with arrows. Antibody concentration 4-8 ug/ml. Magnification 400X. This image was taken for the unconjugated form of this product. Other forms have not been tested.
- Submitted by
- LSBio (provider)
- Enhanced method
- Genetic validation
- Main image

- Experimental details
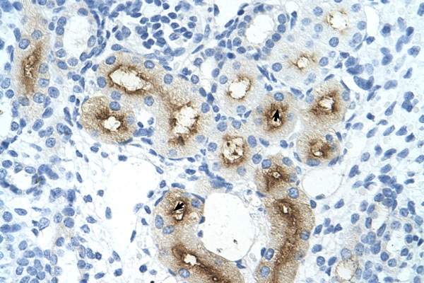
- GGTLC1 / GGTLA4 antibody ARP41639_T100-NP_563577-GGTLA4(gamma-glutamyltransferase-like activity 4) Antibody IHC of formalin-fixed, paraffin-embedded human Kidney. Positive label: Epithelial cells of renal tubule indicated with arrows. Antibody concentration 4-8 ug/ml. Magnification 400X. This image was taken for the unconjugated form of this product. Other forms have not been tested.