Antibody data
- Antibody Data
- Antigen structure
- References [0]
- Comments [0]
- Validations
- Western blot [1]
- Immunohistochemistry [2]
Submit
Validation data
Reference
Comment
Report error
- Product number
- LS-C442514 - Provider product page

- Provider
- LSBio
- Product name
- GGTLA4 / GGTLC1 Antibody (C-Terminus, HRP) LS-C442514
- Antibody type
- Polyclonal
- Description
- Protein A purified
- Reactivity
- Human, Mouse, Rat, Bovine, Canine, Guinea Pig, Horse, Porcine, Simian
- Host
- Rabbit
- Conjugate
- Horseradish Peroxidase
- Isotype
- IgG
- Storage
- Short term: store at 4°C. Long term: add glycerol to 40-50%, aliquot to avoid freeze-thaw cycles, and store at -20°C. Protect from light.
No comments: Submit comment
Enhanced validation
- Submitted by
- LSBio (provider)
- Enhanced method
- Genetic validation
- Main image

- Experimental details
- GGTLC1 / GGTLA4 antibody ARP41639_T100-NP_563577-GGTLA4(gamma-glutamyltransferase-like activity 4) Antibody Western blot of Fetal Kidney lysate. This image was taken for the unconjugated form of this product. Other forms have not been tested.
Supportive validation
- Submitted by
- LSBio (provider)
- Enhanced method
- Genetic validation
- Main image

- Experimental details
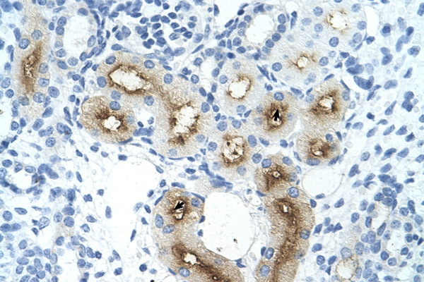
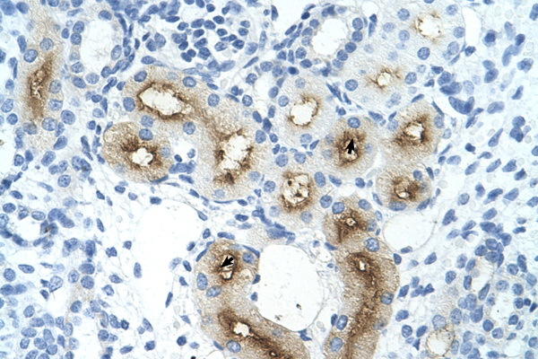
- GGTLC1 / GGTLA4 antibody ARP41639_T100-NP_563577-GGTLA4(gamma-glutamyltransferase-like activity 4) Antibody IHC of formalin-fixed, paraffin-embedded human Kidney. Positive label: Epithelial cells of renal tubule indicated with arrows. Antibody concentration 4-8 ug/ml. Magnification 400X. This image was taken for the unconjugated form of this product. Other forms have not been tested.
- Submitted by
- LSBio (provider)
- Enhanced method
- Genetic validation
- Main image

- Experimental details
- GGTLC1 / GGTLA4 antibody ARP41639_T100-NP_563577-GGTLA4(gamma-glutamyltransferase-like activity 4) Antibody IHC of formalin-fixed, paraffin-embedded human Kidney. Positive label: Epithelial cells of renal tubule indicated with arrows. Antibody concentration 4-8 ug/ml. Magnification 400X. This image was taken for the unconjugated form of this product. Other forms have not been tested.