PA5-69148
antibody from Invitrogen Antibodies
Targeting: GGTLC1
dJ831C21.1, dJ831C21.2, GGTLA3, GGTLA4
Antibody data
- Antibody Data
- Antigen structure
- References [0]
- Comments [0]
- Validations
- Immunohistochemistry [1]
Submit
Validation data
Reference
Comment
Report error
- Product number
- PA5-69148 - Provider product page

- Provider
- Invitrogen Antibodies
- Product name
- GGTLC1 Polyclonal Antibody
- Antibody type
- Polyclonal
- Antigen
- Synthetic peptide
- Description
- This target displays homology in the following species: Cow: 100%; Dog: 100%; Guinea Pig: 100%; Horse: 100%; Human: 100%; Mouse: 100%; Rabbit: 100%; Rat: 100%
- Reactivity
- Human
- Host
- Rabbit
- Isotype
- IgG
- Vial size
- 100 μL
- Concentration
- 1 mg/mL
- Storage
- -20°C, Avoid Freeze/Thaw Cycles
No comments: Submit comment
Supportive validation
- Submitted by
- Invitrogen Antibodies (provider)
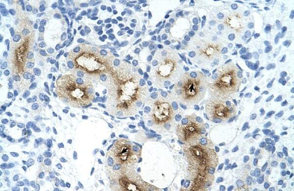
- Main image

- Experimental details
- Immunohistochemistry was performed on Human kidney tissue. Sample was probed with a GGTLA4 polyclonal antibody (Product # PA5-69148) with a dilution of 5.0 µg/mL.