Antibody data
- Antibody Data
- Antigen structure
- References [0]
- Comments [0]
- Validations
- Western blot [1]
- Immunohistochemistry [3]
Submit
Validation data
Reference
Comment
Report error
- Product number
- LS-C783535 - Provider product page

- Provider
- LSBio
- Product name
- Neuroserpin Antibody (aa181-410) LS-C783535
- Antibody type
- Polyclonal
- Description
- Affinity purified
- Reactivity
- Mouse, Rat
- Host
- Rabbit
- Isotype
- IgG
- Storage
- Store at -20°C. Avoid freeze-thaw cycles.
No comments: Submit comment
Enhanced validation
- Submitted by
- LSBio (provider)
- Enhanced method
- Genetic validation
- Main image

- Experimental details
- Western blot - SERPINI1 Polyclonal Antibody
Enhanced validation
- Submitted by
- LSBio (provider)
- Enhanced method
- Genetic validation
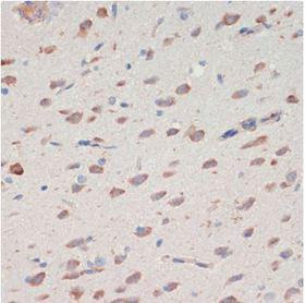
- Main image

- Experimental details
- Immunohistochemistry - SERPINI1 Polyclonal Antibody
- Submitted by
- LSBio (provider)
- Enhanced method
- Genetic validation
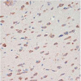
- Main image

- Experimental details
- Immunohistochemistry - SERPINI1 Polyclonal Antibody
- Submitted by
- LSBio (provider)
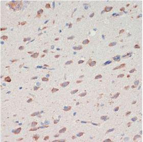
- Main image

- Experimental details
- Immunohistochemistry - SERPINI1 Polyclonal Antibody