Antibody data
- Antibody Data
- Antigen structure
- References [0]
- Comments [0]
- Validations
- Western blot [1]
- Immunoprecipitation [2]
- Immunohistochemistry [1]
Submit
Validation data
Reference
Comment
Report error
- Product number
- LS-C810333 - Provider product page

- Provider
- LSBio
- Product name
- Neuroserpin Antibody LS-C810333
- Antibody type
- Polyclonal
- Description
- Protein A affinity chromatography
- Reactivity
- Mouse
- Host
- Rabbit
- Isotype
- IgG
- Storage
- This antibody can be stored at 2°-8°C for one month without detectable loss of activity. Antibody products are stable for twelve months from date of receipt when stored at -20°to -80°C. Avoid freeze/thaw cycles.
No comments: Submit comment
Enhanced validation
- Submitted by
- LSBio (provider)
- Enhanced method
- Genetic validation
- Main image

- Experimental details
- Anti-SERPINI1 rabbit polyclonal antibody at 1:500 dilution.
Supportive validation
- Submitted by
- LSBio (provider)
- Enhanced method
- Genetic validation
- Main image

- Experimental details
- Immunoprecipitated mSERPINI1.
- Submitted by
- LSBio (provider)
- Main image

- Experimental details
- Immunoprecipitated mSERPINI1.
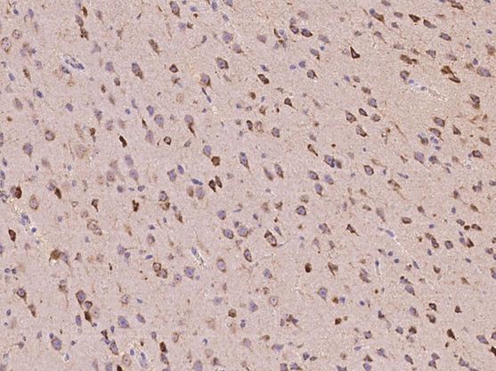
Supportive validation
- Submitted by
- LSBio (provider)
- Main image

- Experimental details
- Immunochemical staining of mouse Neuroserpin in mouse brain with rabbit polyclonal antibody at 1:5000 dilution, formalin-fixed paraffin embedded sections.