Antibody data
- Antibody Data
- Antigen structure
- References [0]
- Comments [0]
- Validations
- Western blot [1]
- Immunohistochemistry [1]
Submit
Validation data
Reference
Comment
Report error
- Product number
- GTX109743 - Provider product page

- Provider
- GeneTex
- Proper citation
- GeneTex Cat#GTX109743, RRID:AB_11169175
- Product name
- ThrRS antibody
- Antibody type
- Polyclonal
- Reactivity
- Human
- Host
- Rabbit
No comments: Submit comment
Supportive validation
- Submitted by
- GeneTex (provider)
- Main image

- Experimental details
- Sample (30 ug of whole cell lysate) A: HeLa 7.5% SDS PAGE GTX109743 diluted at 1:2000
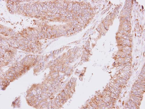
Supportive validation
- Submitted by
- GeneTex (provider)
- Main image

- Experimental details
- Immunohistochemical analysis of paraffin-embedded human colon carcinoma, using ThrRS(GTX109743) antibody at 1:500 dilution.