Antibody data
- Antibody Data
- Antigen structure
- References [0]
- Comments [0]
- Validations
- Western blot [3]
- Immunohistochemistry [1]
- Other assay [1]
Submit
Validation data
Reference
Comment
Report error
- Product number
- A302-173A - Provider product page

- Provider
- Invitrogen Antibodies
- Product name
- Cul5 Polyclonal Antibody
- Antibody type
- Polyclonal
- Antigen
- Other
- Reactivity
- Human, Mouse
- Host
- Rabbit
- Isotype
- IgG
- Vial size
- 100 µL
- Concentration
- 200 µg/mL
- Storage
- 4° C
No comments: Submit comment
Supportive validation
- Submitted by
- Invitrogen Antibodies (provider)
- Main image

- Experimental details
- Detection of human Cul5 by western blot. Samples: Whole cell lysate (50 µg) from HEK293T, LNCaP, and Hep-G2 cells prepared using NETN lysis buffer. Antibody: Affinity purified rabbit anti-Cul5 antibody (Product # A302-173A; lot A302-173A-2) used for WB at 0.1 µg/mL. Detection: Chemiluminescence with an exposure time of 3 minutes.
- Submitted by
- Invitrogen Antibodies (provider)
- Main image

- Experimental details
- Detection of mouse Cul5 by western blot. Samples: Whole cell lysate (10 µg) from NIH 3T3, CT26, and CH27 cells prepared using NETN lysis buffer. Antibody: Affinity purified rabbit anti-Cul5 antibody (Product # A302-173A; lot A302-173A-2) used for WB at 0.1 µg/mL. Detection: Chemiluminescence with an exposure time of 3 minutes.
- Submitted by
- Invitrogen Antibodies (provider)
- Main image

- Experimental details
- Detection of human and mouse Cul5 by western blot (h&m) and immunoprecipitation (h). Samples: Whole cell lysate from HeLa (5, 15 and 50 µg for WB; 1 mg for IP, 20% of IP loaded), 293T (T; 50 µg) and mouse NIH3T3 (M; 50µg) cells. Antibodies: Affinity purified rabbit anti-Cul5 antibody A302-173A used for WB at 0.1 µg/ml (A) and 1 µg/ml (B) and used for IP at 10 µg/mg lysate. Cul5 was also immunoprecipitated by rabbit anti-Cul5 antibody BL2064, which recognizes a downstream epitope. Detection: Chemiluminescence with exposure times of 10 seconds (A and B).
Supportive validation
- Submitted by
- Invitrogen Antibodies (provider)
- Main image

- Experimental details
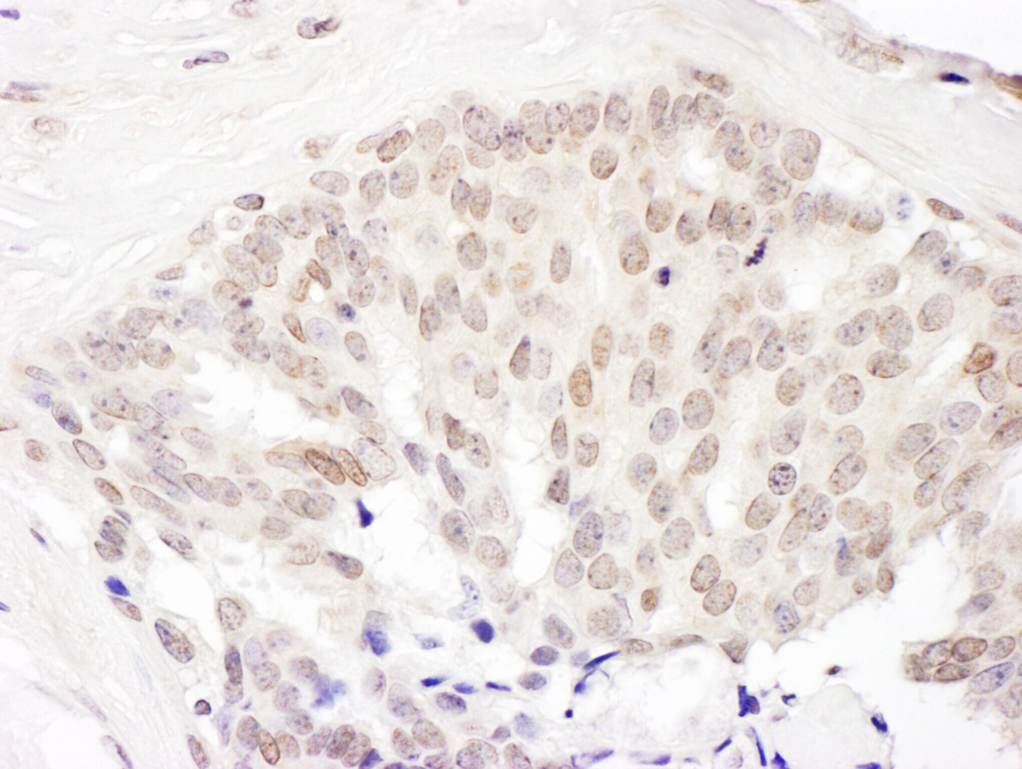
- Detection of human Cul5 by immunohistochemistry. Sample: FFPE section of human ovarian carcinoma. Antibody: Affinity purified rabbit anti-Cul5 (Cat. No. A302-173A) used at a dilution of 1:1,000 (1µg/ml). Detection: DAB.
Supportive validation
- Submitted by
- Invitrogen Antibodies (provider)
- Main image

- Experimental details
- Detection of human Cul5 by western blot of immunoprecipitates. Samples: Whole cell lysate (1.0 mg per IP reaction; 20% of IP loaded) from HEK293T cells prepared using NETN lysis buffer. Antibodies: Affinity purified rabbit anti-Cul5 antibody (Product # A302-173A; lot A302-173A-2) used for IP at 6 µg per reaction. Cul5 was also immunoprecipitated by a previous lot of this antibody (lot A302-173A-1). For blotting immunoprecipitated Cul5 (Product # A302-173A) was used at 0.1 µg/mL. Detection: Chemiluminescence with an exposure time of 75 seconds.