Antibody data
- Antibody Data
- Antigen structure
- References [63]
- Comments [0]
- Validations
- Western blot [1]
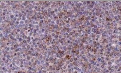
- Immunohistochemistry [2]
Submit
Validation data
Reference
Comment
Report error
- Product number
- ABIN269360 - Provider product page

- Provider
- antibodies-online
- Product name
- anti-Phorbol-12-Myristate-13-Acetate-Induced Protein 1 (PMAIP1) antibody
- Antibody type
- Monoclonal
- Description
- Protein G purified
- Reactivity
- Human, Mouse, Rat
- Host
- Mouse
- Isotype
- IgG
- Antibody clone number
- 114C307-1
- Vial size
- 0.1 mg
- Storage
- Store at 4°C short term. Aliquot and store at -20°C long term. Avoid freeze-thaw cycles.
- Handling
- Avoid freeze-thaw cycles
Submitted references Essential role for Bim in mediating the apoptotic and antitumor activities of immunotoxins.
Bax/Bak activation in the absence of Bid, Bim, Puma, and p53.
Apoptosis induced by Ginkgo biloba (EGb761) in melanoma cells is Mcl-1-dependent.
Bacterial CagA protein induces degradation of p53 protein in a p14ARF-dependent manner.
Constitutively active ErbB2 regulates cisplatin-induced cell death in breast cancer cells via pro- and antiapoptotic mechanisms.
Combining BET and HDAC inhibitors synergistically induces apoptosis of melanoma and suppresses AKT and YAP signaling.
The Nedd8-activating enzyme inhibitor MLN4924 thwarts microenvironment-driven NF-κB activation and induces apoptosis in chronic lymphocytic leukemia B cells.
PIAS3 activates the intrinsic apoptotic pathway in non-small cell lung cancer cells independent of p53 status.
The carboxyl-terminal tail of Noxa protein regulates the stability of Noxa and Mcl-1.
Autophagy controls the kinetics and extent of mitochondrial apoptosis by regulating PUMA levels.
Inositol pyrophosphates mediate the DNA-PK/ATM-p53 cell death pathway by regulating CK2 phosphorylation of Tti1/Tel2.
Hypoxia-induced cytotoxic drug resistance in osteosarcoma is independent of HIF-1Alpha.
OBATOCLAX and ABT-737 induce ER stress responses in human melanoma cells that limit induction of apoptosis.
ABT-737, a small molecule Bcl-2/Bcl-xL antagonist, increases antimitotic-mediated apoptosis in human prostate cancer cells.
IL-21 and CD40L signals from autologous T cells can induce antigen-independent proliferation of CLL cells.
Combination treatment with ABT-737 and chloroquine in preclinical models of small cell lung cancer.
Loss of MCL-1 leads to impaired autophagy and rapid development of heart failure.
Direct visualization of Bcl-2 family protein interactions using live cell fluorescent protein redistribution assays.
Cdk1/cyclin B plays a key role in mitotic arrest-induced apoptosis by phosphorylation of Mcl-1, promoting its degradation and freeing Bak from sequestration.
Tipping the Noxa/Mcl-1 balance overcomes ABT-737 resistance in chronic lymphocytic leukemia.
Acidosis promotes Bcl-2 family-mediated evasion of apoptosis: involvement of acid-sensing G protein-coupled receptor Gpr65 signaling to Mek/Erk.
Involvement of phorbol-12-myristate-13-acetate-induced protein 1 in goniothalamin-induced TP53-dependent and -independent apoptosis in hepatocellular carcinoma-derived cells.
Selective involvement of BH3-only proteins and differential targets of Noxa in diverse apoptotic pathways.
Energy restriction-mimetic agents induce apoptosis in prostate cancer cells in part through epigenetic activation of KLF6 tumor suppressor gene expression.
Protection against glucocorticoid-induced damage in human tenocytes by modulation of ERK, Akt, and forkhead signaling.
Proton-binding sites of acid-sensing ion channel 1.
ROS-mediated upregulation of Noxa overcomes chemoresistance in chronic lymphocytic leukemia.
Immune regulation through mitochondrion-dependent dendritic cell death induced by T regulatory cells.
The Bcl-2 inhibitor ABT-263 enhances the response of multiple chemotherapeutic regimens in hematologic tumors in vivo.
Perturbation of the Bcl-2 network and an induced Noxa/Bcl-xL interaction trigger mitochondrial dysfunction after DNA damage.
GCS-100, a novel galectin-3 antagonist, modulates MCL-1, NOXA, and cell cycle to induce myeloma cell death.
Interactions of the p53 protein family in cellular stress response in gastrointestinal tumors.
Identification of expression signatures predictive of sensitivity to the Bcl-2 family member inhibitor ABT-263 in small cell lung carcinoma and leukemia/lymphoma cell lines.
Expression of BfrH, a putative siderophore receptor of Bordetella bronchiseptica, is regulated by iron, Fur1, and the extracellular function sigma factor EcfI.
The Bcl-2 homology domain 3 mimetic ABT-737 targets the apoptotic machinery in acute lymphoblastic leukemia resulting in synergistic in vitro and in vivo interactions with established drugs.
The promyelocytic leukemia zinc-finger gene, PLZF, is frequently downregulated in malignant mesothelioma cells and contributes to cell survival.
Chemotherapeutic drugs sensitize human renal cell carcinoma cells to ABT-737 by a mechanism involving the Noxa-dependent inactivation of Mcl-1 or A1.
Noxa mediates hepatic stellate cell apoptosis by proteasome inhibition.
Romidepsin and belinostat synergize the antineoplastic effect of bortezomib in mantle cell lymphoma.
Caspase-3 triggers a TPCK-sensitive protease pathway leading to degradation of the BH3-only protein puma.
BH3-only protein Bik is involved in both apoptosis induction and sensitivity to oxidative stress in multiple myeloma.
C-terminal domain of p16(INK4a) is adequate in inducing cell cycle arrest, growth inhibition and CDK4/6 interaction similar to the full length protein in HT-1080 fibrosarcoma cells.
NF-kappaB inhibition through proteasome inhibition or IKKbeta blockade increases the susceptibility of melanoma cells to cytostatic treatment through distinct pathways.
Oncogenic KRAS sensitises colorectal tumour cells to chemotherapy by p53-dependent induction of Noxa.
Regulation of heat-induced apoptosis by Mcl-1 degradation and its inhibition by Hsp70.
Inhibition of apoptosis facilitates necrosis induced by cisplatin in gastric cancer cells.
Inhibitors of histone deacetylase (HDAC) restore the p53 pathway in neuroblastoma cells.
Overexpression of OATP1B3 confers apoptotic resistance in colon cancer.
In vivo dynamics of stable chronic lymphocytic leukemia inversely correlate with somatic hypermutation levels and suggest no major leukemic turnover in bone marrow.
c-Abl kinase inhibitors overcome CD40-mediated drug resistance in CLL: implications for therapeutic targeting of chemoresistant niches.
Up-regulation of Mcl-1 is critical for survival of human melanoma cells upon endoplasmic reticulum stress.
Differential Noxa/Mcl-1 balance in peripheral versus lymph node chronic lymphocytic leukemia cells correlates with survival capacity.
Influence of Bcl-2 family members on the cellular response of small-cell lung cancer cell lines to ABT-737.
Novel link between E2F1 and Smac/DIABLO: proapoptotic Smac/DIABLO is transcriptionally upregulated by E2F1.
Involvement of BH3-only proapoptotic proteins in mitochondrial-dependent Phenoxodiol-induced apoptosis of human melanoma cells.
Id3 induces a caspase-3- and -9-dependent apoptosis and mediates UVB sensitization of HPV16 E6/7 immortalized human keratinocytes.
Inhibition of glutathione synthesis overcomes Bcl-2-mediated topoisomerase inhibitor resistance and induces nonapoptotic cell death via mitochondrial-independent pathway.
Tumor suppressor HIC1 directly regulates SIRT1 to modulate p53-dependent DNA-damage responses.
MDM2 antagonists induce p53-dependent apoptosis in AML: implications for leukemia therapy.
BOK and NOXA are essential mediators of p53-dependent apoptosis.
In vivo mitochondrial p53 translocation triggers a rapid first wave of cell death in response to DNA damage that can precede p53 target gene activation.
p53 has a direct apoptogenic role at the mitochondria.
Bcl-xL deamidation is a critical switch in the regulation of the response to DNA damage.
Antignani A, Segal D, Simon N, Kreitman RJ, Huang D, FitzGerald DJ
Oncogene 2017 Aug 31;36(35):4953-4962
Oncogene 2017 Aug 31;36(35):4953-4962
Bax/Bak activation in the absence of Bid, Bim, Puma, and p53.
Zhang J, Huang K, O'Neill KL, Pang X, Luo X
Cell death & disease 2016 Jun 16;7:e2266
Cell death & disease 2016 Jun 16;7:e2266
Apoptosis induced by Ginkgo biloba (EGb761) in melanoma cells is Mcl-1-dependent.
Wang Y, Lv J, Cheng Y, Du J, Chen D, Li C, Zhang J
PloS one 2015;10(4):e0124812
PloS one 2015;10(4):e0124812
Bacterial CagA protein induces degradation of p53 protein in a p14ARF-dependent manner.
Wei J, Noto JM, Zaika E, Romero-Gallo J, Piazuelo MB, Schneider B, El-Rifai W, Correa P, Peek RM, Zaika AI
Gut 2015 Jul;64(7):1040-8
Gut 2015 Jul;64(7):1040-8
Constitutively active ErbB2 regulates cisplatin-induced cell death in breast cancer cells via pro- and antiapoptotic mechanisms.
Sigurðsson HH, Olesen CW, Dybboe R, Lauritzen G, Pedersen SF
Molecular cancer research : MCR 2015 Jan;13(1):63-77
Molecular cancer research : MCR 2015 Jan;13(1):63-77
Combining BET and HDAC inhibitors synergistically induces apoptosis of melanoma and suppresses AKT and YAP signaling.
Heinemann A, Cullinane C, De Paoli-Iseppi R, Wilmott JS, Gunatilake D, Madore J, Strbenac D, Yang JY, Gowrishankar K, Tiffen JC, Prinjha RK, Smithers N, McArthur GA, Hersey P, Gallagher SJ
Oncotarget 2015 Aug 28;6(25):21507-21
Oncotarget 2015 Aug 28;6(25):21507-21
The Nedd8-activating enzyme inhibitor MLN4924 thwarts microenvironment-driven NF-κB activation and induces apoptosis in chronic lymphocytic leukemia B cells.
Godbersen JC, Humphries LA, Danilova OV, Kebbekus PE, Brown JR, Eastman A, Danilov AV
Clinical cancer research : an official journal of the American Association for Cancer Research 2014 Mar 15;20(6):1576-89
Clinical cancer research : an official journal of the American Association for Cancer Research 2014 Mar 15;20(6):1576-89
PIAS3 activates the intrinsic apoptotic pathway in non-small cell lung cancer cells independent of p53 status.
Dabir S, Kluge A, McColl K, Liu Y, Lam M, Halmos B, Wildey G, Dowlati A
International journal of cancer 2014 Mar 1;134(5):1045-54
International journal of cancer 2014 Mar 1;134(5):1045-54
The carboxyl-terminal tail of Noxa protein regulates the stability of Noxa and Mcl-1.
Pang X, Zhang J, Lopez H, Wang Y, Li W, O'Neill KL, Evans JJ, George NM, Long J, Chen Y, Luo X
The Journal of biological chemistry 2014 Jun 20;289(25):17802-11
The Journal of biological chemistry 2014 Jun 20;289(25):17802-11
Autophagy controls the kinetics and extent of mitochondrial apoptosis by regulating PUMA levels.
Thorburn J, Andrysik Z, Staskiewicz L, Gump J, Maycotte P, Oberst A, Green DR, Espinosa JM, Thorburn A
Cell reports 2014 Apr 10;7(1):45-52
Cell reports 2014 Apr 10;7(1):45-52
Inositol pyrophosphates mediate the DNA-PK/ATM-p53 cell death pathway by regulating CK2 phosphorylation of Tti1/Tel2.
Rao F, Cha J, Xu J, Xu R, Vandiver MS, Tyagi R, Tokhunts R, Koldobskiy MA, Fu C, Barrow R, Wu M, Fiedler D, Barrow JC, Snyder SH
Molecular cell 2014 Apr 10;54(1):119-132
Molecular cell 2014 Apr 10;54(1):119-132
Hypoxia-induced cytotoxic drug resistance in osteosarcoma is independent of HIF-1Alpha.
Adamski J, Price A, Dive C, Makin G
PloS one 2013;8(6):e65304
PloS one 2013;8(6):e65304
OBATOCLAX and ABT-737 induce ER stress responses in human melanoma cells that limit induction of apoptosis.
Wroblewski D, Jiang CC, Croft A, Farrelly ML, Zhang XD, Hersey P
PloS one 2013;8(12):e84073
PloS one 2013;8(12):e84073
ABT-737, a small molecule Bcl-2/Bcl-xL antagonist, increases antimitotic-mediated apoptosis in human prostate cancer cells.
Parrondo R, de Las Pozas A, Reiner T, Perez-Stable C
PeerJ 2013;1:e144
PeerJ 2013;1:e144
IL-21 and CD40L signals from autologous T cells can induce antigen-independent proliferation of CLL cells.
Pascutti MF, Jak M, Tromp JM, Derks IA, Remmerswaal EB, Thijssen R, van Attekum MH, van Bochove GG, Luijks DM, Pals ST, van Lier RA, Kater AP, van Oers MH, Eldering E
Blood 2013 Oct 24;122(17):3010-9
Blood 2013 Oct 24;122(17):3010-9
Combination treatment with ABT-737 and chloroquine in preclinical models of small cell lung cancer.
Zinn RL, Gardner EE, Dobromilskaya I, Murphy S, Marchionni L, Hann CL, Rudin CM
Molecular cancer 2013 Mar 2;12:16
Molecular cancer 2013 Mar 2;12:16
Loss of MCL-1 leads to impaired autophagy and rapid development of heart failure.
Thomas RL, Roberts DJ, Kubli DA, Lee Y, Quinsay MN, Owens JB, Fischer KM, Sussman MA, Miyamoto S, Gustafsson ÅB
Genes & development 2013 Jun 15;27(12):1365-77
Genes & development 2013 Jun 15;27(12):1365-77
Direct visualization of Bcl-2 family protein interactions using live cell fluorescent protein redistribution assays.
Wong C, Anderson DJ, Lee EF, Fairlie WD, Ludlam MJ
Cell death & disease 2012 Mar 29;3:e288
Cell death & disease 2012 Mar 29;3:e288
Cdk1/cyclin B plays a key role in mitotic arrest-induced apoptosis by phosphorylation of Mcl-1, promoting its degradation and freeing Bak from sequestration.
Chu R, Terrano DT, Chambers TC
Biochemical pharmacology 2012 Jan 15;83(2):199-206
Biochemical pharmacology 2012 Jan 15;83(2):199-206
Tipping the Noxa/Mcl-1 balance overcomes ABT-737 resistance in chronic lymphocytic leukemia.
Tromp JM, Geest CR, Breij EC, Elias JA, van Laar J, Luijks DM, Kater AP, Beaumont T, van Oers MH, Eldering E
Clinical cancer research : an official journal of the American Association for Cancer Research 2012 Jan 15;18(2):487-98
Clinical cancer research : an official journal of the American Association for Cancer Research 2012 Jan 15;18(2):487-98
Acidosis promotes Bcl-2 family-mediated evasion of apoptosis: involvement of acid-sensing G protein-coupled receptor Gpr65 signaling to Mek/Erk.
Ryder C, McColl K, Zhong F, Distelhorst CW
The Journal of biological chemistry 2012 Aug 10;287(33):27863-75
The Journal of biological chemistry 2012 Aug 10;287(33):27863-75
Involvement of phorbol-12-myristate-13-acetate-induced protein 1 in goniothalamin-induced TP53-dependent and -independent apoptosis in hepatocellular carcinoma-derived cells.
Kuo KK, Chen YL, Chen LR, Li CF, Lan YH, Chang FR, Wu YC, Shiue YL
Toxicology and applied pharmacology 2011 Oct 1;256(1):8-23
Toxicology and applied pharmacology 2011 Oct 1;256(1):8-23
Selective involvement of BH3-only proteins and differential targets of Noxa in diverse apoptotic pathways.
Zhang L, Lopez H, George NM, Liu X, Pang X, Luo X
Cell death and differentiation 2011 May;18(5):864-73
Cell death and differentiation 2011 May;18(5):864-73
Energy restriction-mimetic agents induce apoptosis in prostate cancer cells in part through epigenetic activation of KLF6 tumor suppressor gene expression.
Chen CH, Huang PH, Chu PC, Chen MC, Chou CC, Wang D, Kulp SK, Teng CM, Wang Q, Chen CS
The Journal of biological chemistry 2011 Mar 25;286(12):9968-76
The Journal of biological chemistry 2011 Mar 25;286(12):9968-76
Protection against glucocorticoid-induced damage in human tenocytes by modulation of ERK, Akt, and forkhead signaling.
Poulsen RC, Carr AJ, Hulley PA
Endocrinology 2011 Feb;152(2):503-14
Endocrinology 2011 Feb;152(2):503-14
Proton-binding sites of acid-sensing ion channel 1.
Ishikita H
PloS one 2011 Feb 14;6(2):e16920
PloS one 2011 Feb 14;6(2):e16920
ROS-mediated upregulation of Noxa overcomes chemoresistance in chronic lymphocytic leukemia.
Tonino SH, van Laar J, van Oers MH, Wang JY, Eldering E, Kater AP
Oncogene 2011 Feb 10;30(6):701-13
Oncogene 2011 Feb 10;30(6):701-13
Immune regulation through mitochondrion-dependent dendritic cell death induced by T regulatory cells.
Chen M, Felix K, Wang J
Journal of immunology (Baltimore, Md. : 1950) 2011 Dec 1;187(11):5684-92
Journal of immunology (Baltimore, Md. : 1950) 2011 Dec 1;187(11):5684-92
The Bcl-2 inhibitor ABT-263 enhances the response of multiple chemotherapeutic regimens in hematologic tumors in vivo.
Ackler S, Mitten MJ, Foster K, Oleksijew A, Refici M, Tahir SK, Xiao Y, Tse C, Frost DJ, Fesik SW, Rosenberg SH, Elmore SW, Shoemaker AR
Cancer chemotherapy and pharmacology 2010 Oct;66(5):869-80
Cancer chemotherapy and pharmacology 2010 Oct;66(5):869-80
Perturbation of the Bcl-2 network and an induced Noxa/Bcl-xL interaction trigger mitochondrial dysfunction after DNA damage.
Lopez H, Zhang L, George NM, Liu X, Pang X, Evans JJ, Targy NM, Luo X
The Journal of biological chemistry 2010 May 14;285(20):15016-26
The Journal of biological chemistry 2010 May 14;285(20):15016-26
GCS-100, a novel galectin-3 antagonist, modulates MCL-1, NOXA, and cell cycle to induce myeloma cell death.
Streetly MJ, Maharaj L, Joel S, Schey SA, Gribben JG, Cotter FE
Blood 2010 May 13;115(19):3939-48
Blood 2010 May 13;115(19):3939-48
Interactions of the p53 protein family in cellular stress response in gastrointestinal tumors.
Vilgelm AE, Washington MK, Wei J, Chen H, Prassolov VS, Zaika AI
Molecular cancer therapeutics 2010 Mar;9(3):693-705
Molecular cancer therapeutics 2010 Mar;9(3):693-705
Identification of expression signatures predictive of sensitivity to the Bcl-2 family member inhibitor ABT-263 in small cell lung carcinoma and leukemia/lymphoma cell lines.
Tahir SK, Wass J, Joseph MK, Devanarayan V, Hessler P, Zhang H, Elmore SW, Kroeger PE, Tse C, Rosenberg SH, Anderson MG
Molecular cancer therapeutics 2010 Mar;9(3):545-57
Molecular cancer therapeutics 2010 Mar;9(3):545-57
Expression of BfrH, a putative siderophore receptor of Bordetella bronchiseptica, is regulated by iron, Fur1, and the extracellular function sigma factor EcfI.
Burgos JM, King-Lyons ND, Connell TD
Infection and immunity 2010 Mar;78(3):1147-62
Infection and immunity 2010 Mar;78(3):1147-62
The Bcl-2 homology domain 3 mimetic ABT-737 targets the apoptotic machinery in acute lymphoblastic leukemia resulting in synergistic in vitro and in vivo interactions with established drugs.
High LM, Szymanska B, Wilczynska-Kalak U, Barber N, O'Brien R, Khaw SL, Vikstrom IB, Roberts AW, Lock RB
Molecular pharmacology 2010 Mar;77(3):483-94
Molecular pharmacology 2010 Mar;77(3):483-94
The promyelocytic leukemia zinc-finger gene, PLZF, is frequently downregulated in malignant mesothelioma cells and contributes to cell survival.
Cheung M, Pei J, Pei Y, Jhanwar SC, Pass HI, Testa JR
Oncogene 2010 Mar 18;29(11):1633-40
Oncogene 2010 Mar 18;29(11):1633-40
Chemotherapeutic drugs sensitize human renal cell carcinoma cells to ABT-737 by a mechanism involving the Noxa-dependent inactivation of Mcl-1 or A1.
Zall H, Weber A, Besch R, Zantl N, Häcker G
Molecular cancer 2010 Jun 24;9:164
Molecular cancer 2010 Jun 24;9:164
Noxa mediates hepatic stellate cell apoptosis by proteasome inhibition.
Sosa Seda IM, Mott JL, Akazawa Y, Barreyro FJ, Bronk SF, Kaufmann SH, Gores GJ
Hepatology research : the official journal of the Japan Society of Hepatology 2010 Jul 1;40(7):701-10
Hepatology research : the official journal of the Japan Society of Hepatology 2010 Jul 1;40(7):701-10
Romidepsin and belinostat synergize the antineoplastic effect of bortezomib in mantle cell lymphoma.
Paoluzzi L, Scotto L, Marchi E, Zain J, Seshan VE, O'Connor OA
Clinical cancer research : an official journal of the American Association for Cancer Research 2010 Jan 15;16(2):554-65
Clinical cancer research : an official journal of the American Association for Cancer Research 2010 Jan 15;16(2):554-65
Caspase-3 triggers a TPCK-sensitive protease pathway leading to degradation of the BH3-only protein puma.
Hadji A, Clybouw C, Auffredou MT, Alexia C, Poalas K, Burlion A, Feraud O, Leca G, Vazquez A
Apoptosis : an international journal on programmed cell death 2010 Dec;15(12):1529-39
Apoptosis : an international journal on programmed cell death 2010 Dec;15(12):1529-39
BH3-only protein Bik is involved in both apoptosis induction and sensitivity to oxidative stress in multiple myeloma.
Bodet L, Ménoret E, Descamps G, Pellat-Deceunynck C, Bataille R, Le Gouill S, Moreau P, Amiot M, Gomez-Bougie P
British journal of cancer 2010 Dec 7;103(12):1808-14
British journal of cancer 2010 Dec 7;103(12):1808-14
C-terminal domain of p16(INK4a) is adequate in inducing cell cycle arrest, growth inhibition and CDK4/6 interaction similar to the full length protein in HT-1080 fibrosarcoma cells.
Fahham N, Sardari S, Ostad SN, Vaziri B, Ghahremani MH
Journal of cellular biochemistry 2010 Dec 15;111(6):1598-606
Journal of cellular biochemistry 2010 Dec 15;111(6):1598-606
NF-kappaB inhibition through proteasome inhibition or IKKbeta blockade increases the susceptibility of melanoma cells to cytostatic treatment through distinct pathways.
Amschler K, Schön MP, Pletz N, Wallbrecht K, Erpenbeck L, Schön M
The Journal of investigative dermatology 2010 Apr;130(4):1073-86
The Journal of investigative dermatology 2010 Apr;130(4):1073-86
Oncogenic KRAS sensitises colorectal tumour cells to chemotherapy by p53-dependent induction of Noxa.
de Bruijn MT, Raats DA, Hoogwater FJ, van Houdt WJ, Cameron K, Medema JP, Borel Rinkes IH, Kranenburg O
British journal of cancer 2010 Apr 13;102(8):1254-64
British journal of cancer 2010 Apr 13;102(8):1254-64
Regulation of heat-induced apoptosis by Mcl-1 degradation and its inhibition by Hsp70.
Stankiewicz AR, Livingstone AM, Mohseni N, Mosser DD
Cell death and differentiation 2009 Apr;16(4):638-47
Cell death and differentiation 2009 Apr;16(4):638-47
Inhibition of apoptosis facilitates necrosis induced by cisplatin in gastric cancer cells.
Zhang LJ, Hao YZ, Hu CS, Ye Y, Xie QP, Thorne RF, Hersey P, Zhang XD
Anti-cancer drugs 2008 Feb;19(2):159-66
Anti-cancer drugs 2008 Feb;19(2):159-66
Inhibitors of histone deacetylase (HDAC) restore the p53 pathway in neuroblastoma cells.
Condorelli F, Gnemmi I, Vallario A, Genazzani AA, Canonico PL
British journal of pharmacology 2008 Feb;153(4):657-68
British journal of pharmacology 2008 Feb;153(4):657-68
Overexpression of OATP1B3 confers apoptotic resistance in colon cancer.
Lee W, Belkhiri A, Lockhart AC, Merchant N, Glaeser H, Harris EI, Washington MK, Brunt EM, Zaika A, Kim RB, El-Rifai W
Cancer research 2008 Dec 15;68(24):10315-23
Cancer research 2008 Dec 15;68(24):10315-23
In vivo dynamics of stable chronic lymphocytic leukemia inversely correlate with somatic hypermutation levels and suggest no major leukemic turnover in bone marrow.
van Gent R, Kater AP, Otto SA, Jaspers A, Borghans JA, Vrisekoop N, Ackermans MA, Ruiter AF, Wittebol S, Eldering E, van Oers MH, Tesselaar K, Kersten MJ, Miedema F
Cancer research 2008 Dec 15;68(24):10137-44
Cancer research 2008 Dec 15;68(24):10137-44
c-Abl kinase inhibitors overcome CD40-mediated drug resistance in CLL: implications for therapeutic targeting of chemoresistant niches.
Hallaert DY, Jaspers A, van Noesel CJ, van Oers MH, Kater AP, Eldering E
Blood 2008 Dec 15;112(13):5141-9
Blood 2008 Dec 15;112(13):5141-9
Up-regulation of Mcl-1 is critical for survival of human melanoma cells upon endoplasmic reticulum stress.
Jiang CC, Lucas K, Avery-Kiejda KA, Wade M, deBock CE, Thorne RF, Allen J, Hersey P, Zhang XD
Cancer research 2008 Aug 15;68(16):6708-17
Cancer research 2008 Aug 15;68(16):6708-17
Differential Noxa/Mcl-1 balance in peripheral versus lymph node chronic lymphocytic leukemia cells correlates with survival capacity.
Smit LA, Hallaert DY, Spijker R, de Goeij B, Jaspers A, Kater AP, van Oers MH, van Noesel CJ, Eldering E
Blood 2007 Feb 15;109(4):1660-8
Blood 2007 Feb 15;109(4):1660-8
Influence of Bcl-2 family members on the cellular response of small-cell lung cancer cell lines to ABT-737.
Tahir SK, Yang X, Anderson MG, Morgan-Lappe SE, Sarthy AV, Chen J, Warner RB, Ng SC, Fesik SW, Elmore SW, Rosenberg SH, Tse C
Cancer research 2007 Feb 1;67(3):1176-83
Cancer research 2007 Feb 1;67(3):1176-83
Novel link between E2F1 and Smac/DIABLO: proapoptotic Smac/DIABLO is transcriptionally upregulated by E2F1.
Xie W, Jiang P, Miao L, Zhao Y, Zhimin Z, Qing L, Zhu WG, Wu M
Nucleic acids research 2006;34(7):2046-55
Nucleic acids research 2006;34(7):2046-55
Involvement of BH3-only proapoptotic proteins in mitochondrial-dependent Phenoxodiol-induced apoptosis of human melanoma cells.
Yu F, Watts RN, Zhang XD, Borrow JM, Hersey P
Anti-cancer drugs 2006 Nov;17(10):1151-61
Anti-cancer drugs 2006 Nov;17(10):1151-61
Id3 induces a caspase-3- and -9-dependent apoptosis and mediates UVB sensitization of HPV16 E6/7 immortalized human keratinocytes.
Simbulan-Rosenthal CM, Daher A, Trabosh V, Chen WC, Gerstel D, Soeda E, Rosenthal DS
Oncogene 2006 Jun 22;25(26):3649-60
Oncogene 2006 Jun 22;25(26):3649-60
Inhibition of glutathione synthesis overcomes Bcl-2-mediated topoisomerase inhibitor resistance and induces nonapoptotic cell death via mitochondrial-independent pathway.
Yoshida A, Takemura H, Inoue H, Miyashita T, Ueda T
Cancer research 2006 Jun 1;66(11):5772-80
Cancer research 2006 Jun 1;66(11):5772-80
Tumor suppressor HIC1 directly regulates SIRT1 to modulate p53-dependent DNA-damage responses.
Chen WY, Wang DH, Yen RC, Luo J, Gu W, Baylin SB
Cell 2005 Nov 4;123(3):437-48
Cell 2005 Nov 4;123(3):437-48
MDM2 antagonists induce p53-dependent apoptosis in AML: implications for leukemia therapy.
Kojima K, Konopleva M, Samudio IJ, Shikami M, Cabreira-Hansen M, McQueen T, Ruvolo V, Tsao T, Zeng Z, Vassilev LT, Andreeff M
Blood 2005 Nov 1;106(9):3150-9
Blood 2005 Nov 1;106(9):3150-9
BOK and NOXA are essential mediators of p53-dependent apoptosis.
Yakovlev AG, Di Giovanni S, Wang G, Liu W, Stoica B, Faden AI
The Journal of biological chemistry 2004 Jul 2;279(27):28367-74
The Journal of biological chemistry 2004 Jul 2;279(27):28367-74
In vivo mitochondrial p53 translocation triggers a rapid first wave of cell death in response to DNA damage that can precede p53 target gene activation.
Erster S, Mihara M, Kim RH, Petrenko O, Moll UM
Molecular and cellular biology 2004 Aug;24(15):6728-41
Molecular and cellular biology 2004 Aug;24(15):6728-41
p53 has a direct apoptogenic role at the mitochondria.
Mihara M, Erster S, Zaika A, Petrenko O, Chittenden T, Pancoska P, Moll UM
Molecular cell 2003 Mar;11(3):577-90
Molecular cell 2003 Mar;11(3):577-90
Bcl-xL deamidation is a critical switch in the regulation of the response to DNA damage.
Deverman BE, Cook BL, Manson SR, Niederhoff RA, Langer EM, Rosová I, Kulans LA, Fu X, Weinberg JS, Heinecke JW, Roth KA, Weintraub SJ
Cell 2002 Oct 4;111(1):51-62
Cell 2002 Oct 4;111(1):51-62
No comments: Submit comment
Supportive validation
- Submitted by
- antibodies-online (provider)
- Main image

- Experimental details
- WB
Supportive validation
- Submitted by
- antibodies-online (provider)
- Main image

- Experimental details
- IHC
- Submitted by
- antibodies-online (provider)
- Main image

- Experimental details
- IHC