Antibody data
- Antibody Data
- Antigen structure
- References [0]
- Comments [0]
- Validations
- Immunohistochemistry [2]
Submit
Validation data
Reference
Comment
Report error
- Product number
- PA5-40385 - Provider product page

- Provider
- Invitrogen Antibodies
- Product name
- ZNF274 Polyclonal Antibody
- Antibody type
- Polyclonal
- Antigen
- Synthetic peptide
- Description
- Peptide sequence: YPELQLDPKL DPLPAESPLM NIEVVEVLTL NQEVAGPRNA QIQALYAEDG Sequence homology: Cow: 93%; Dog: 93%; Human: 100%; Mouse: 86%; Pig: 86%; Rabbit: 100%; Rat: 86%
- Reactivity
- Human
- Host
- Rabbit
- Isotype
- IgG
- Vial size
- 100 μL
- Concentration
- 1 mg/mL
- Storage
- -20°C, Avoid Freeze/Thaw Cycles
No comments: Submit comment
Supportive validation
- Submitted by
- Invitrogen Antibodies (provider)
- Main image

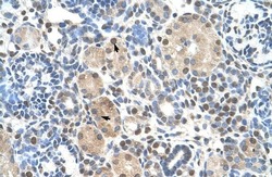
- Experimental details
- Immunohistochemistry analysis of human kidney tissue using an anti-ZNF274 polyclonal antibody (Product # PA5-40385).
- Submitted by
- Invitrogen Antibodies (provider)
- Main image

- Experimental details
- Immunohistochemistry analysis of human brain tissue using an anti-ZNF274 polyclonal antibody (Product # PA5-40385).