Antibody data
- Antibody Data
- Antigen structure
- References [0]
- Comments [0]
- Validations
- Western blot [1]
Submit
Validation data
Reference
Comment
Report error
- Product number
- RZ1085 - Provider product page

- Provider
- NSJ Bioreagents
- Product name
- Zebrafish Parvin alpha Antibody / Parva / Actopaxin
- Antibody type
- Polyclonal
- Description
- Antigen affinity purified
- Reactivity
- Zebrafish
- Host
- Rabbit
- Vial size
- 100 ug
- Concentration
- Lyophilized
- Storage
- After reconstitution, the Zebrafish Parvin alpha antibody can be stored for up to one month at 4oC. For long-term, aliquot and store at -20oC. Avoid repeated freezing and thawing.
No comments: Submit comment
Supportive validation
- Submitted by
- NSJ Bioreagents (provider)
- Main image

- Experimental details
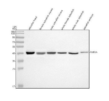
- Western blot analysis of Alpha Parvin/Actopaxin/PARVA protein using Zebrafish Parvin alpha antibody and 1) zebrafish head, 2) female zebrafish viscera, 3) male zebrafish viscera, 4) whole female zebrafish, 5) whole male zebrafish and 6) zebrafish embryo tissue lysate. Predicted molecular weight ~42 kDa.