Antibody data
- Antibody Data
- Antigen structure
- References [1]
- Comments [0]
- Validations
- Western blot [1]
- Immunohistochemistry [1]
Submit
Validation data
Reference
Comment
Report error
- Product number
- ABIN2842174 - Provider product page

- Provider
- antibodies-online
- Product name
- anti-Salt-Inducible Kinase 1 (SIK1) (AA 567-597), (C-Term) antibody
- Antibody type
- Polyclonal
- Description
- This antibody is prepared by Saturated Ammonium Sulfate (SAS) precipitation followed by dialysis against PBS.
- Reactivity
- Human, Mouse
- Host
- Rabbit
- Epitope
- AA 567-597, C-Term
- Antibody clone number
- RB3576
- Vial size
- 80 μL
- Storage
- Maintain refrigerated at 2-8°C for up to 6 months. For long term storage store at -20°C in small aliquots to prevent freeze-thaw cycles.
Submitted references SIK1 couples LKB1 to p53-dependent anoikis and suppresses metastasis.
Cheng H, Liu P, Wang ZC, Zou L, Santiago S, Garbitt V, Gjoerup OV, Iglehart JD, Miron A, Richardson AL, Hahn WC, Zhao JJ
Science signaling 2009 Jul 21;2(80):ra35
Science signaling 2009 Jul 21;2(80):ra35
No comments: Submit comment
Supportive validation
- Submitted by
- antibodies-online (provider)
- Main image

- Experimental details
- WB
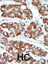
Supportive validation
- Submitted by
- antibodies-online (provider)
- Main image

- Experimental details
- IHC