Antibody data
- Antibody Data
- Antigen structure
- References [0]
- Comments [0]
- Validations
- Immunohistochemistry [1]
Submit
Validation data
Reference
Comment
Report error
- Product number
- L8271 - Provider product page

- Provider
- MilliporeSigma / Merck KGaA
- Product name
- Monoclonal Anti-Laminin antibody produced in mouse
- Antibody type
- Monoclonal
- Reactivity
- Human, Rat, Canine, Chicken/Avian, Feline, Goat, Guinea Pig, Rabbit, Sheep
- Host
- Mouse
- Conjugate
- Unconjugated
- Isotype
- IgG
- Antibody clone number
- LAM-89
- Storage
- Store at -20°C
No comments: Submit comment
Supportive validation
- Submitted by
- per
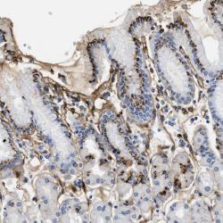
- Main image

- Experimental details
- Immunohistochemical staining of human stomach shows distinct basement membrane and cytoplasmic positivity in glandular cells.
- Validation comment
- Staining pattern partly consistent with experimental and/or bioinformatic data.