Antibody data
- Antibody Data
- Antigen structure
- References [7]
- Comments [0]
- Validations
- Western blot [1]
- Immunohistochemistry [1]
Submit
Validation data
Reference
Comment
Report error
- Product number
- AF1334 - Provider product page

- Provider
- Novus Biologicals
- Product name
- Goat Polyclonal IGFBP-rp1/IGFBP-7 Antibody
- Antibody type
- Polyclonal
- Description
- Antigen Affinity-purified. Detects human IGFBP-rp1 in direct ELISAs and Western blots. In direct ELISAs, less than 5% cross-reactivity with recombinant human (rh) IGFBP-L1, rhIGFBP-rp10 and recombinant mouse IGFBP-7 is observed.
- Reactivity
- Human
- Host
- Goat
- Conjugate
- Unconjugated
- Isotype
- IgG
- Vial size
- 100 ug
- Concentration
- LYOPH
- Storage
- Use a manual defrost freezer and avoid repeated freeze-thaw cycles. 12 months from date of receipt, -20 to -70 degreesC as supplied. 1 month, 2 to 8 degreesC under sterile conditions after reconstitution. 6 months, -20 to -70 degreesC under sterile conditions after reconstitution.
Submitted references Loss of SATB1 Induces p21-Dependent Cellular Senescence in Post-mitotic Dopaminergic Neurons.
IGFBP7, a novel tumor stroma marker, with growth-promoting effects in colon cancer through a paracrine tumor-stroma interaction.
Disulfiram suppresses growth of the malignant pleural mesothelioma cells in part by inducing apoptosis.
Regulation of human skin pigmentation in situ by repetitive UV exposure: molecular characterization of responses to UVA and/or UVB.
Glioblastoma-secreted factors induce IGFBP7 and angiogenesis by modulating Smad-2-dependent TGF-beta signaling.
Insulin-like growth factor binding protein 7 mediates glioma cell growth and migration.
Insulin-like growth factor binding protein 7 mediates glioma cell growth and migration.
Riessland M, Kolisnyk B, Kim TW, Cheng J, Ni J, Pearson JA, Park EJ, Dam K, Acehan D, Ramos-Espiritu LS, Wang W, Zhang J, Shim JW, Ciceri G, Brichta L, Studer L, Greengard P
Cell stem cell 2019 Oct 3;25(4):514-530.e8
Cell stem cell 2019 Oct 3;25(4):514-530.e8
IGFBP7, a novel tumor stroma marker, with growth-promoting effects in colon cancer through a paracrine tumor-stroma interaction.
Rupp C, Scherzer M, Rudisch A, Unger C, Haslinger C, Schweifer N, Artaker M, Nivarthi H, Moriggl R, Hengstschläger M, Kerjaschki D, Sommergruber W, Dolznig H, Garin-Chesa P
Oncogene 2015 Feb 12;34(7):815-25
Oncogene 2015 Feb 12;34(7):815-25
Disulfiram suppresses growth of the malignant pleural mesothelioma cells in part by inducing apoptosis.
Cheriyan VT, Wang Y, Muthu M, Jamal S, Chen D, Yang H, Polin LA, Tarca AL, Pass HI, Dou QP, Sharma S, Wali A, Rishi AK
PloS one 2014;9(4):e93711
PloS one 2014;9(4):e93711
Regulation of human skin pigmentation in situ by repetitive UV exposure: molecular characterization of responses to UVA and/or UVB.
Choi W, Miyamura Y, Wolber R, Smuda C, Reinhold W, Liu H, Kolbe L, Hearing VJ
The Journal of investigative dermatology 2010 Jun;130(6):1685-96
The Journal of investigative dermatology 2010 Jun;130(6):1685-96
Glioblastoma-secreted factors induce IGFBP7 and angiogenesis by modulating Smad-2-dependent TGF-beta signaling.
Pen A, Moreno MJ, Durocher Y, Deb-Rinker P, Stanimirovic DB
Oncogene 2008 Nov 20;27(54):6834-44
Oncogene 2008 Nov 20;27(54):6834-44
Insulin-like growth factor binding protein 7 mediates glioma cell growth and migration.
Jiang W, Xiang C, Cazacu S, Brodie C, Mikkelsen T
Neoplasia (New York, N.Y.) 2008 Dec;10(12):1335-42
Neoplasia (New York, N.Y.) 2008 Dec;10(12):1335-42
Insulin-like growth factor binding protein 7 mediates glioma cell growth and migration.
Jiang W, Xiang C, Cazacu S, Brodie C, Mikkelsen T
Neoplasia (New York, N.Y.) 2008 Dec;10(12):1335-42
Neoplasia (New York, N.Y.) 2008 Dec;10(12):1335-42
No comments: Submit comment
Supportive validation
- Submitted by
- Novus Biologicals (provider)
- Main image

- Experimental details
- Detection of Human IGFBP-rp1/IGFBP-7 by Western Blot. Detection of Human IGFBP-rp1/IGFBP-7 by Western Blot.
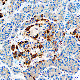
Supportive validation
- Submitted by
- Novus Biologicals (provider)
- Main image

- Experimental details
- IGFBP-rp1/IGFBP-7 in Human Pancreas. IGFBP-rp1/IGFBP-7 in Human Pancreas.