Antibody data
- Antibody Data
- Antigen structure
- References [0]
- Comments [0]
- Validations
- Immunocytochemistry [2]
- Immunohistochemistry [4]
Submit
Validation data
Reference
Comment
Report error
- Product number
- PA5-54447 - Provider product page

- Provider
- Invitrogen Antibodies
- Product name
- ENASE Polyclonal Antibody
- Antibody type
- Polyclonal
- Antigen
- Recombinant protein fragment
- Description
- Immunogen sequence: DKDTTKPISF YLSSLEELLA WKPRLEDGFN VALEPLACRQ PPLSSQRPRT LLCHDMMGGY LDDRFIQGSV VQTPYAFYHW QCIDVFVYFS HHTVTIPPVG WTNTAHR Highest antigen sequence identity to the following orthologs: Mouse - 85%, Rat - 86%.
- Reactivity
- Human
- Host
- Rabbit
- Isotype
- IgG
- Vial size
- 100 μL
- Concentration
- 0.05 mg/mL
- Storage
- Store at 4°C short term. For long term storage, store at -20°C, avoiding freeze/thaw cycles.
No comments: Submit comment
Supportive validation
- Submitted by
- Invitrogen Antibodies (provider)
- Main image

- Experimental details
- Immunofluorescent staining of ENASE in human cell line U-251 MG shows positivity in cytoplasm & centrosome. Samples were probed using an ENASE Polyclonal Antibody (Product # PA5-54447).
- Submitted by
- Invitrogen Antibodies (provider)
- Main image

- Experimental details
- Immunofluorecent analysis of ENASE in human cell line U-251 MG using ENASE Polyclonal Antibody (Product # PA5-54447). Staining shows localization to cytosol and centrosome.
Supportive validation
- Submitted by
- Invitrogen Antibodies (provider)
- Main image

- Experimental details
- Immunohistochemical analysis of ENASE in human duodenum using ENASE Polyclonal Antibody (Product # PA5-54447) shows moderate cytoplasmic positivity in glandular cells and lymphoid cells.
- Submitted by
- Invitrogen Antibodies (provider)
- Main image

- Experimental details
- Immunohistochemical analysis of ENASE in human testis using ENASE Polyclonal Antibody (Product # PA5-54447) shows moderate cytoplasmic positivity in spermatogonia cells.
- Submitted by
- Invitrogen Antibodies (provider)
- Main image

- Experimental details
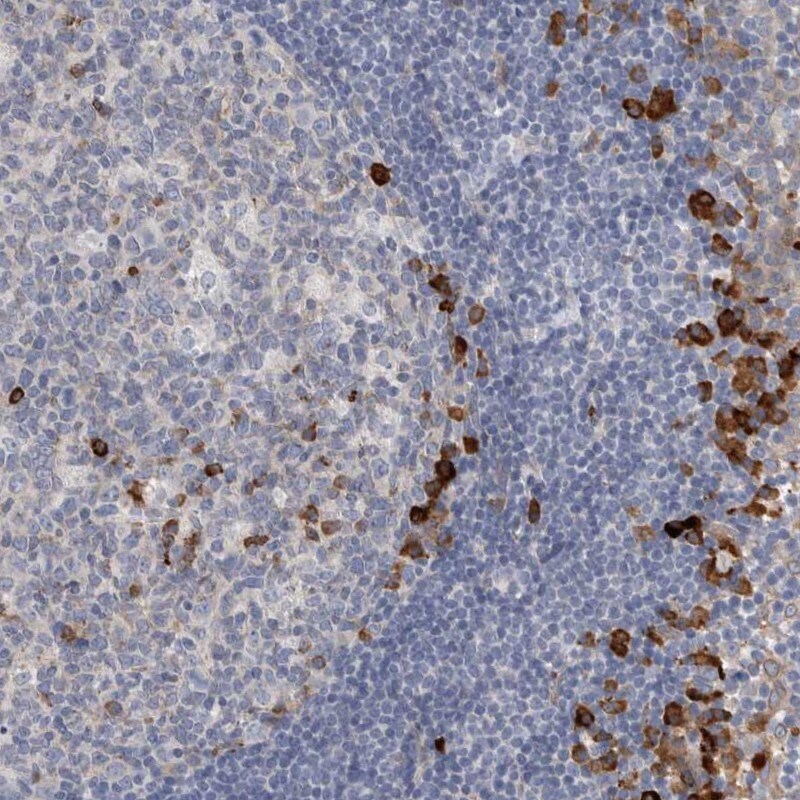
- Immunohistochemical analysis of ENASE in human tonsil using ENASE Polyclonal Antibody (Product # PA5-54447) shows strong cytoplasmic-membranous positivity in non-germinal center cells.
- Submitted by
- Invitrogen Antibodies (provider)
- Main image

- Experimental details
- Immunohistochemical staining of ENASE in human tonsil using an ENASE Polyclonal Antibody (Product # PA5-54447) shows strong cytoplasmic positivity in germinal center cells and non-germinal center cells.