Antibody data
- Antibody Data
- Antigen structure
- References [2]
- Comments [0]
- Validations
- Western blot [2]
- Immunohistochemistry [5]
Submit
Validation data
Reference
Comment
Report error
- Product number
- NBP1-81533 - Provider product page 
- Provider
- Novus Biologicals
- Proper citation
- Novus Cat#NBP1-81533, RRID:AB_11001885
- Product name
- Rabbit Polyclonal RRP1B Antibody
- Antibody type
- Polyclonal
- Description
- Immunogen affinity purified. Specificity of human RRP1B antibody verified on a Protein Array containing target protein plus 383 other non-specific proteins.
- Reactivity
- Human
- Host
- Rabbit
- Isotype
- IgG
- Vial size
- 0.1 ml
- Storage
- Store at 4C short term. Aliquot and store at -20C long term. Avoid freeze-thaw cycles.
Submitted references		RRP1B is a metastasis modifier that regulates the expression of alternative mRNA isoforms through interactions with SRSF1.
				
BRD4 short isoform interacts with RRP1B, SIPA1 and components of the LINC complex at the inner face of the nuclear membrane.
				
		
	
			Lee M, Dworkin AM, Gildea D, Trivedi NS, NISC Comparative Sequencing Program., Moorhead GB, Crawford NP
Oncogene 2014 Apr 3;33(14):1818-27
		Oncogene 2014 Apr 3;33(14):1818-27
BRD4 short isoform interacts with RRP1B, SIPA1 and components of the LINC complex at the inner face of the nuclear membrane.
			Alsarraj J, Faraji F, Geiger TR, Mattaini KR, Williams M, Wu J, Ha NH, Merlino T, Walker RC, Bosley AD, Xiao Z, Andresson T, Esposito D, Smithers N, Lugo D, Prinjha R, Day A, Crawford NP, Ozato K, Gardner K, Hunter KW
PloS one 2013;8(11):e80746
		PloS one 2013;8(11):e80746
				No comments: Submit comment	
	
			
							
					Supportive validation
					
									
				
				- Submitted by
- Novus Biologicals (provider)
- Main image
 
- Experimental details
- Western Blot: RRP1B Antibody [NBP1-81533] - Lane 1: Marker [kDa] 250, 130, 100, 70, 55, 35, 25, 15, 10Lane 2: Human cell line NTERA-2
- Submitted by
- Novus Biologicals (provider)
- Main image
 
- Experimental details
- Western Blot: RRP1B Antibody [NBP1-81533] - Analysis in U2OS cells transfected with control siRNA, target specific siRNA probe #1 and #2. Remaining relative intensity is presented.
							
					Supportive validation
					
									
				
		- Submitted by
- Novus Biologicals (provider)
- Main image
 
- Experimental details
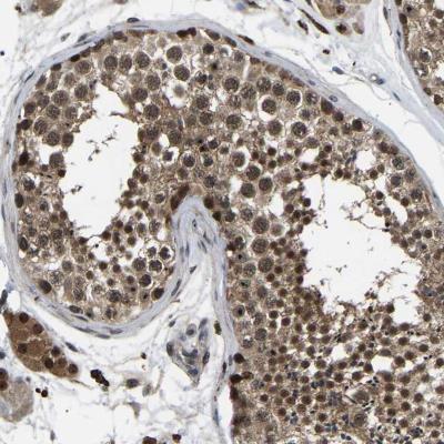
- Immunohistochemistry-Paraffin: RRP1B Antibody [NBP1-81533] - Staining of human testis shows nuclear and cytoplasmic positivity in cells in seminiferous ducts.
- Submitted by
- Novus Biologicals (provider)
- Main image
 
- Experimental details
- Immunohistochemistry-Paraffin: RRP1B Antibody [NBP1-81533] - Staining of human cerebellum shows moderate to strong nuclear positivity in cells in molecular layer.
- Submitted by
- Novus Biologicals (provider)
- Main image
 
- Experimental details
- Immunohistochemistry-Paraffin: RRP1B Antibody [NBP1-81533] - Staining of human skin shows moderate to strong nuclear positivity in keratinocytes.
- Submitted by
- Novus Biologicals (provider)
- Main image
 
- Experimental details
- Immunohistochemistry-Paraffin: RRP1B Antibody [NBP1-81533] - Staining of human tonsil shows moderate to strong nuclear positivity in non-germinal center cells.
- Submitted by
- Novus Biologicals (provider)
- Main image
 
- Experimental details
- Immunohistochemistry-Paraffin: RRP1B Antibody [NBP1-81533] - Staining of human testis shows moderate to strong nuclear positivity in cells in seminiferous ducts.