Antibody data
- Antibody Data
- Antigen structure
- References [0]
- Comments [0]
- Validations
- Immunohistochemistry [2]
- Flow cytometry [1]
Submit
Validation data
Reference
Comment
Report error
- Product number
- NBP1-28146 - Provider product page

- Provider
- Novus Biologicals
- Proper citation
- Novus Cat#NBP1-28146, RRID:AB_1853358
- Product name
- Rat Monoclonal MAdCAM-1 Antibody
- Antibody type
- Monoclonal
- Description
- Protein A or G purified. Murine MAdCAM-1 (Mr 58-88 kDa)
- Reactivity
- Mouse
- Host
- Rat
- Isotype
- IgG
- Vial size
- 0.5 mg
- Concentration
- 0.5 mg/ml
- Storage
- Store at 4C. Do not freeze.
No comments: Submit comment
Supportive validation
- Submitted by
- Novus Biologicals (provider)
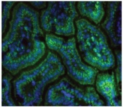
- Main image

- Experimental details
- Immunohistochemistry: MAdCAM-1 Antibody (MECA-367) [NBP1-28146] - Staining of BALB/c mouse intestine section with Biotin and FITC conjugated antibodies. Image using the FITC form of this antibody.
- Submitted by
- Novus Biologicals (provider)
- Main image

- Experimental details
- Immunohistochemistry: MAdCAM-1 Antibody (MECA-367) [NBP1-28146] - Mouse intestine section was stained with Rat Anti-Mouse MAdCAM-1-UNLB followed by an HRP conjugated secondary antibody, DAB, and hematoxylin.
Supportive validation
- Submitted by
- Novus Biologicals (provider)
- Main image

- Experimental details
- Flow Cytometry: MAdCAM-1 Antibody (MECA-367) [NBP1-28146] - Analysis of Biotin conjugate of NBP1-28146. Staining of mouse TNF alpha-stimulated bEnd.3 cell line with Anti-Mouse MAdCAM-1 FITC. Appropriate isotype controls were used (open histogram). Total viable cells were used for analysis.