Antibody data
- Antibody Data
- Antigen structure
- References [33]
- Comments [0]
- Validations
- Western blot [1]
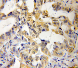
- Immunohistochemistry [1]
Submit
Validation data
Reference
Comment
Report error
- Product number
- 12191-1-AP - Provider product page

- Provider
- Proteintech Group
- Proper citation
- Proteintech Cat#12191-1-AP, RRID:AB_889392
- Product name
- Endothelin 1 antibody
- Antibody type
- Polyclonal
- Description
- Endothelin 1 antibody (Cat. #12191-1-AP) is a rabbit polyclonal antibody that shows reactivity with human, mouse and has been validated for the following applications: WB, ELISA.
- Reactivity
- Human, Mouse
- Host
- Rabbit
- Conjugate
- Unconjugated
- Isotype
- IgG
- Vial size
- 20ul, 150ul
Submitted references Exosomal miRNA let-7i-5p alleviates asthma triggered by RSV-induced exosomes by regulating dendritic cell autophagy via the MITF/DAP1/P70S6K pathway.
The impact of high-intensity interval training on cerebrovascular function in the APP/PS1 mice.
Comprehensive Analysis and Experimental Validation of Immune-Related Biomarkers and Immune Microenvironment in Diabetic Nephropathy.
EDN1 and NTF3 in keloid pathogenesis: computational and experimental evidence as novel diagnostic biomarkers for fibrosis and inflammation.
Neutrophil extracellular traps induce endothelial damage and exacerbate vasospasm in traumatic brain injury.
Identification of biomarkers associated with macrophage polarization in diabetic cardiomyopathy based on bioinformatics and machine learning approaches.
9-PAHSA ameliorates microvascular damage during cardiac ischaemia/reperfusion injury by promoting LKB1/AMPK/ULK1-mediated autophagy-dependent STING degradation.
Trimetazidine: Activating AMPK Signal to Ameliorate Coronary Microcirculation Dysfunction after Myocardial Infarction.
Sevoflurane Postconditioning Regulates Mitophagy Through the PINK1/Parkin Pathway to Alleviate Myocardial Microcirculatory Reperfusion Injury.
Electroacupuncture enhances cerebral blood perfusion by inhibiting HIF-1α in rat subarachnoid hemorrhage.
Angelica sinensis polysaccharide facilitates chondrogenic differentiation of adipose-derived stem cells via MDK-PI3K/AKT signaling cascade.
Urolithin A promotes atherosclerotic plaque stability by limiting inflammation and hypercholesteremia in Apolipoprotein E-deficient mice.
REXO2 up-regulation is positively correlated with poor prognosis and tumor immune infiltration in hepatocellular carcinoma.
Endothelin-1 potentiated constriction in preeclampsia placental veins: Role of ETAR/ETBR/CaV1.2/CALD1.
Post-injury Inhibition of Endothelin-1 Dependent Renal Vasoregulation Mitigates Rhabdomyolysis-Induced Acute Kidney Injury.
Histopathological Evaluation of Pulmonary Thromboendarterectomy Specimens of Chronic Thromboembolic Pulmonary Hypertension.
Exercise protects aged mice against coronary endothelial senescence via FUNDC1-dependent mitophagy.
MFN2 deficiency affects calcium homeostasis in lung adenocarcinoma cells via downregulation of UCP4.
Endothelin-1 production via placental (pro)renin receptor in a mouse model of preeclampsia.
Different exercise training intensities prevent type 2 diabetes mellitus-induced myocardial injury in male mice.
The effect and mechanism of excessive iodine on the endothelial function of human umbilical vein endothelial cells.
Ufl1 deficiency causes skin pigmentation by up-regulation of Endothelin-1.
miR-351 promotes atherosclerosis in diabetes by inhibiting the ITGB3/PIK3R1/Akt pathway and induces endothelial cell injury and lipid accumulation.
Macrophage-derived exosomal miR-4532 promotes endothelial cells injury by targeting SP1 and NF-κB P65 signalling activation.
Systems analysis identifies endothelin 1 axis blockade for enhancing the anti-tumor effect of multikinase inhibitor.
Curcumin improves the function of umbilical vein endothelial cells by inhibiting H(2)O(2)‑induced pyroptosis.
Rs12976445 polymorphism is associated with the risk of post-SAH re-bleeding by modulating the expression of microRNA-125 and ET-1.
Roquin2 suppresses breast cancer progression by inhibiting tumor angiogenesis via selectively destabilizing proangiogenic factors mRNA.
Cadmium exposure induces endothelial dysfunction via disturbing lipid metabolism in human microvascular endothelial cells.
The lncRNA MALAT1 participates in regulating coronary slow flow endothelial dysfunction through the miR-181b-5p-MEF2A-ET-1 axis.
Selenoprotein S attenuates high glucose and/or ox-LDL-induced endothelium injury by regulating Akt/mTOR signaling and autophagy.
Blocking mitochondrial cyclophilin D ameliorates TSH-impaired defensive barrier of artery.
Lactoferrin-endothelin-1 axis contributes to the development and invasiveness of triple-negative breast cancer phenotypes.
Liu J, Yao B, Wang S, Deng Y, Xie J, Jiao L, Hu Y, Zhou Z, Ding Y, Luo Y, Wang M
Cellular signalling 2026 Jul;143:112491
Cellular signalling 2026 Jul;143:112491
The impact of high-intensity interval training on cerebrovascular function in the APP/PS1 mice.
Zhu L, Cai M, Lu Z, Wang Q, Zhai T, Hu J
Frontiers in aging 2025;6:1647628
Frontiers in aging 2025;6:1647628
Comprehensive Analysis and Experimental Validation of Immune-Related Biomarkers and Immune Microenvironment in Diabetic Nephropathy.
Zhou W, Zeng Z, Li X, Yang M
Journal of inflammation research 2025;18:13711-13726
Journal of inflammation research 2025;18:13711-13726
EDN1 and NTF3 in keloid pathogenesis: computational and experimental evidence as novel diagnostic biomarkers for fibrosis and inflammation.
Gong H, Liu J, Chen N, Zhao H, He B, Zhang H, Wang W, Tian Y
Frontiers in genetics 2025;16:1516451
Frontiers in genetics 2025;16:1516451
Neutrophil extracellular traps induce endothelial damage and exacerbate vasospasm in traumatic brain injury.
Wang J, Li L, Xu J, Gheyret D, Li K, Zhang X, Jia H, Tian Y, Liu X, Li S, Yang G, Gao Y, Peng R, Liu H, Liu B, Zhuang J, Wang C, Chen X, Liu Y, Chen B, Huang C, Li Y, Chen X, Zhang J, Zhang S
Theranostics 2025;15(17):9221-9239
Theranostics 2025;15(17):9221-9239
Identification of biomarkers associated with macrophage polarization in diabetic cardiomyopathy based on bioinformatics and machine learning approaches.
Liu Y, Zhang J, Han Q, Li Y, Xue Y, Liu X
Life sciences 2025 Mar 1;364:123443
Life sciences 2025 Mar 1;364:123443
9-PAHSA ameliorates microvascular damage during cardiac ischaemia/reperfusion injury by promoting LKB1/AMPK/ULK1-mediated autophagy-dependent STING degradation.
Liu W, Hu J, Wang Y, Gan T, Ding Y, Wang X, Xu Q, Xiong J, Xiong N, Lu S, Wang Y, Wang Z
Phytomedicine : international journal of phytotherapy and phytopharmacology 2025 Jan;136:156241
Phytomedicine : international journal of phytotherapy and phytopharmacology 2025 Jan;136:156241
Trimetazidine: Activating AMPK Signal to Ameliorate Coronary Microcirculation Dysfunction after Myocardial Infarction.
Qu X, Yang P, Jiao L, Yin Y
Frontiers in bioscience (Landmark edition) 2025 Jan 20;30(1):25565
Frontiers in bioscience (Landmark edition) 2025 Jan 20;30(1):25565
Sevoflurane Postconditioning Regulates Mitophagy Through the PINK1/Parkin Pathway to Alleviate Myocardial Microcirculatory Reperfusion Injury.
Xue Y, Jia L, Zhang J, Ni S
Chemical biology & drug design 2025 Dec;106(6):e70228
Chemical biology & drug design 2025 Dec;106(6):e70228
Electroacupuncture enhances cerebral blood perfusion by inhibiting HIF-1α in rat subarachnoid hemorrhage.
Wang Y, Chen Y, Li Z, Tang L, Wen D, Wu Y, Guo Z
Brain research 2024 Sep 15;1839:149010
Brain research 2024 Sep 15;1839:149010
Angelica sinensis polysaccharide facilitates chondrogenic differentiation of adipose-derived stem cells via MDK-PI3K/AKT signaling cascade.
Li Y, Yang Y, Zhu L, Xie S, Guo L, Zhang Z, Zhe C, Li W, Liu F
Biomedicine & pharmacotherapy = Biomedecine & pharmacotherapie 2024 Oct;179:117349
Biomedicine & pharmacotherapy = Biomedecine & pharmacotherapie 2024 Oct;179:117349
Urolithin A promotes atherosclerotic plaque stability by limiting inflammation and hypercholesteremia in Apolipoprotein E-deficient mice.
Xu MY, Xu JJ, Kang LJ, Liu ZH, Su MM, Zhao WQ, Wang ZH, Sun L, Xiao JB, Evans PC, Tian XY, Wang L, Huang Y, Liang XM, Weng JP, Xu SW
Acta pharmacologica Sinica 2024 Nov;45(11):2277-2289
Acta pharmacologica Sinica 2024 Nov;45(11):2277-2289
REXO2 up-regulation is positively correlated with poor prognosis and tumor immune infiltration in hepatocellular carcinoma.
Zhang T, Zhang R, Zhang Z, Li D, Guo X, Zhang Z, Zhu X, Tan S
International immunopharmacology 2024 Mar 30;130:111740
International immunopharmacology 2024 Mar 30;130:111740
Endothelin-1 potentiated constriction in preeclampsia placental veins: Role of ETAR/ETBR/CaV1.2/CALD1.
Su H, Li M, Li N, Zhang Y, He Y, Zhang Z, Zhang Y, Gao Q, Xu Z, Tang J
Placenta 2024 Dec;158:165-174
Placenta 2024 Dec;158:165-174
Post-injury Inhibition of Endothelin-1 Dependent Renal Vasoregulation Mitigates Rhabdomyolysis-Induced Acute Kidney Injury.
Afolabi JM, Kanthakumar P, Williams JD, Kumar R, Soni H, Adebiyi A
Function (Oxford, England) 2023;4(4):zqad022
Function (Oxford, England) 2023;4(4):zqad022
Histopathological Evaluation of Pulmonary Thromboendarterectomy Specimens of Chronic Thromboembolic Pulmonary Hypertension.
Obikane H, Shimodai-Yamada S, Koizumi N, Ogino H, Nagao T, Hao H
Journal of atherosclerosis and thrombosis 2023 Nov 1;30(11):1661-1673
Journal of atherosclerosis and thrombosis 2023 Nov 1;30(11):1661-1673
Exercise protects aged mice against coronary endothelial senescence via FUNDC1-dependent mitophagy.
Ma L, Li K, Wei W, Zhou J, Li Z, Zhang T, Wangsun Y, Tian F, Dong Q, Zhang H, Xing W
Redox biology 2023 Jun;62:102693
Redox biology 2023 Jun;62:102693
MFN2 deficiency affects calcium homeostasis in lung adenocarcinoma cells via downregulation of UCP4.
Zhang J, Pan L, Zhang Q, Zhao Y, Wang W, Lin N, Zhang S, Wu Q
FEBS open bio 2023 Jun;13(6):1107-1124
FEBS open bio 2023 Jun;13(6):1107-1124
Endothelin-1 production via placental (pro)renin receptor in a mouse model of preeclampsia.
Mishima S, Mitsui T, Tani K, Ooba H, Mitoma T, Ohira A, Maki J, Kirino S, Eto E, Hayata K, Masuyama H
Placenta 2023 Jul;138:44-50
Placenta 2023 Jul;138:44-50
Different exercise training intensities prevent type 2 diabetes mellitus-induced myocardial injury in male mice.
Pei Z, Zhou R, Yao W, Dong S, Liu Y, Gao Z
iScience 2023 Jul 21;26(7):107080
iScience 2023 Jul 21;26(7):107080
The effect and mechanism of excessive iodine on the endothelial function of human umbilical vein endothelial cells.
Wang D, Li P, Liu L, Liu P, Zhou Z, Jin M, Li B, Li F, Chen Y, Shen H
Environmental toxicology 2023 Jan;38(1):136-145
Environmental toxicology 2023 Jan;38(1):136-145
Ufl1 deficiency causes skin pigmentation by up-regulation of Endothelin-1.
Wang K, Xu HN, Wang YW, Mao J, Liu D, Zhu XJ, Cong YS, Wang M
Frontiers in cell and developmental biology 2022;10:961675
Frontiers in cell and developmental biology 2022;10:961675
miR-351 promotes atherosclerosis in diabetes by inhibiting the ITGB3/PIK3R1/Akt pathway and induces endothelial cell injury and lipid accumulation.
Li H, Song D, Liu Q, Li L, Sun X, Guo J, Li D, Li P
Molecular medicine (Cambridge, Mass.) 2022 Sep 30;28(1):120
Molecular medicine (Cambridge, Mass.) 2022 Sep 30;28(1):120
Macrophage-derived exosomal miR-4532 promotes endothelial cells injury by targeting SP1 and NF-κB P65 signalling activation.
Liu P, Wang S, Wang G, Zhao M, Du F, Li K, Wang L, Wu H, Chen J, Yang Y, Su G
Journal of cellular and molecular medicine 2022 Oct;26(20):5165-5180
Journal of cellular and molecular medicine 2022 Oct;26(20):5165-5180
Systems analysis identifies endothelin 1 axis blockade for enhancing the anti-tumor effect of multikinase inhibitor.
Hwang CY, Yu SJ, Won JK, Park SM, Noh H, Lee S, Cho EJ, Lee JH, Lee KB, Kim YJ, Suh KS, Yoon JH, Cho KH
Cancer gene therapy 2022 Jun;29(6):845-858
Cancer gene therapy 2022 Jun;29(6):845-858
Curcumin improves the function of umbilical vein endothelial cells by inhibiting H(2)O(2)‑induced pyroptosis.
Yuan Y, Zhang C, He Y, Yuan L, Zhao Q, Liu Y, Long S
Molecular medicine reports 2022 Jun;25(6)
Molecular medicine reports 2022 Jun;25(6)
Rs12976445 polymorphism is associated with the risk of post-SAH re-bleeding by modulating the expression of microRNA-125 and ET-1.
Xiong W, Yao W, Gao Z, Liu K
Scientific reports 2022 Feb 8;12(1):2062
Scientific reports 2022 Feb 8;12(1):2062
Roquin2 suppresses breast cancer progression by inhibiting tumor angiogenesis via selectively destabilizing proangiogenic factors mRNA.
Zhou M, Lu W, Li B, Yuan X, Liu M, Han J, Liu X, Li A
International journal of biological sciences 2021;17(11):2884-2898
International journal of biological sciences 2021;17(11):2884-2898
Cadmium exposure induces endothelial dysfunction via disturbing lipid metabolism in human microvascular endothelial cells.
Liang H, Yue R, Zhou C, Liu M, Yu X, Lu S, Zeng J, Yu Z, Zhou Z, Hu H
Journal of applied toxicology : JAT 2021 May;41(5):775-788
Journal of applied toxicology : JAT 2021 May;41(5):775-788
The lncRNA MALAT1 participates in regulating coronary slow flow endothelial dysfunction through the miR-181b-5p-MEF2A-ET-1 axis.
Zhao C, Zong Z, Zhu Q, Wang Y, Li X, Zhang C, Ma C, Xue Y
Vascular pharmacology 2021 Jun;138:106841
Vascular pharmacology 2021 Jun;138:106841
Selenoprotein S attenuates high glucose and/or ox-LDL-induced endothelium injury by regulating Akt/mTOR signaling and autophagy.
Wang Z, Li Y, Yao J, Yu S, Yu H, Men L, Du J
The international journal of biochemistry & cell biology 2021 Dec;141:106111
The international journal of biochemistry & cell biology 2021 Dec;141:106111
Blocking mitochondrial cyclophilin D ameliorates TSH-impaired defensive barrier of artery.
Liu X, Du H, Chai Q, Jia Q, Liu L, Zhao M, Li J, Tang H, Chen W, Zhao L, Fang L, Gao L, Zhao J
Redox biology 2018 May;15:418-434
Redox biology 2018 May;15:418-434
Lactoferrin-endothelin-1 axis contributes to the development and invasiveness of triple-negative breast cancer phenotypes.
Ha NH, Nair VS, Reddy DN, Mudvari P, Ohshiro K, Ghanta KS, Pakala SB, Li DQ, Costa L, Lipton A, Badwe RA, Fuqua S, Wallon M, Prendergast GC, Kumar R
Cancer research 2011 Dec 1;71(23):7259-69
Cancer research 2011 Dec 1;71(23):7259-69
No comments: Submit comment
Supportive validation
- Submitted by
- Proteintech Group (provider)
- Main image

- Experimental details
- human ileum tissue were subjected to SDS PAGE followed by western blot with 12191-1-AP(EDN1 antibody) at dilution of 1:400
- Sample type
- tissue
Supportive validation
- Submitted by
- Proteintech Group (provider)
- Main image

- Experimental details
- The Endothelin 1 antibody from Proteintech is a rabbit polyclonal antibody to a recombinant protein of human Endothelin 1. This antibody recognizes human antigen. The Endothelin 1 antibody has been validated for the following applications: ELISA, WB, IHC analysis.