Antibody data
- Antibody Data
- Antigen structure
- References [0]
- Comments [0]
- Validations
- Western blot [1]
- Immunohistochemistry [4]
Submit
Validation data
Reference
Comment
Report error
- Product number
- BS-0188R - Provider product page

- Provider
- Invitrogen Antibodies
- Product name
- Preproendothelin 1 Polyclonal Antibody
- Antibody type
- Polyclonal
- Antigen
- Synthetic peptide
- Reactivity
- Human, Mouse, Rat
- Host
- Rabbit
- Isotype
- IgG
- Vial size
- 100 µL
- Concentration
- 1 mg/mL
- Storage
- -20°C
No comments: Submit comment
Supportive validation
- Submitted by
- Invitrogen Antibodies (provider)
- Main image

- Experimental details
- Lane 1: mouse liver lysates; Lane 2: rat liver lysates probed with Preproendothelin 1 Polyclonal Antibody, Unconjugated (bs-0188R) at 1:300 dilution and 4°C overnight incubation. Followed by conjugated secondary antibody incubation at 1:10000 for 60 min at 37°C.
Supportive validation
- Submitted by
- Invitrogen Antibodies (provider)
- Main image

- Experimental details
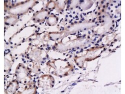
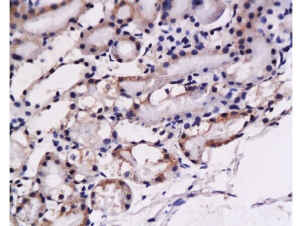
- Formalin-fixed and paraffin embedded: rat kidney tissue labeled with Anti-ET-1 Polyclonal Antibody (bs-0188R), Unconjugated at 1:200, followed by conjugation to the secondary antibody and DAB staining.
- Submitted by
- Invitrogen Antibodies (provider)
- Main image

- Experimental details
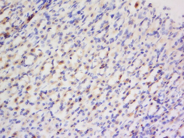
- Formalin-fixed and paraffin embedded rat lung labeled with Anti- Preproendothelin 1 Polyclonal Antibody, Unconjugated (bs-0188R) at 1:200 followed by conjugation to the secondary antibody and DAB staining.
- Submitted by
- Invitrogen Antibodies (provider)
- Main image

- Experimental details
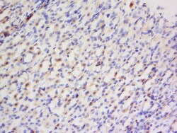
- Formalin-fixed and paraffin embedded rat stomach labeled with Anti- Preproendothelin 1 Polyclonal Antibody, Unconjugated (bs-0188R) at 1:200 followed by conjugation to the secondary antibody and DAB staining.
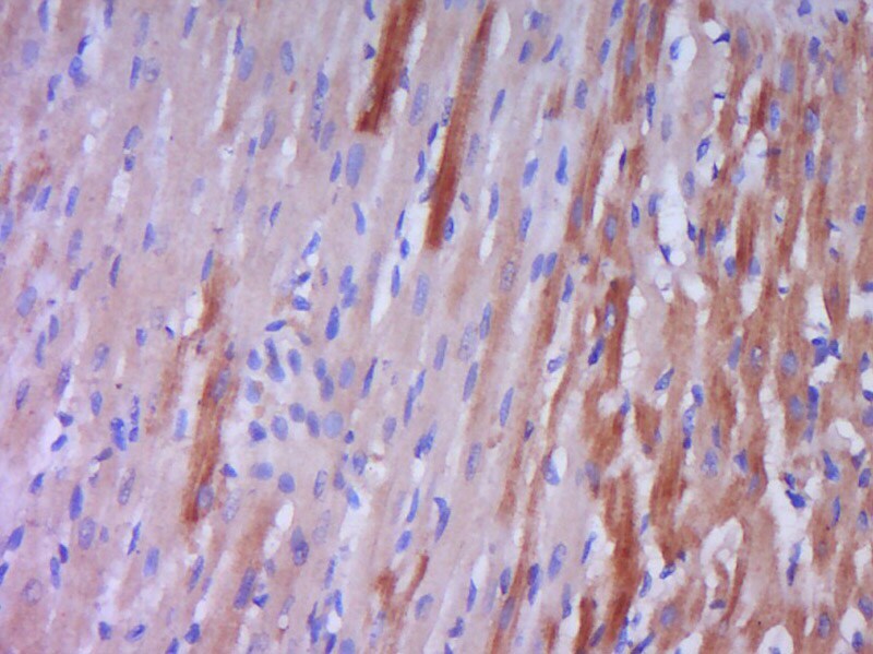
- Submitted by
- Invitrogen Antibodies (provider)
- Main image

- Experimental details
- Paraformaldehyde-fixed, paraffin embedded rat heart muscle; Antigen retrieval by boiling in sodium citrate buffer (pH6.0) for 15min; Block endogenous peroxidase by 3% hydrogen peroxide for 20 minutes; Blocking buffer (normal goat serum) at 37°C for 30min; Antibody incubation with Big endothelin-1 Polyclonal Antibody, Unconjugated (bs-0188R) at 1:400 overnight at 4°C, DAB staining.