Antibody data
- Antibody Data
- Antigen structure
- References [0]
- Comments [0]
- Validations
- Western blot [1]
- Immunocytochemistry [1]
- Immunohistochemistry [3]
Submit
Validation data
Reference
Comment
Report error
- Product number
- ABIN784201 - Provider product page

- Provider
- antibodies-online
- Product name
- anti-Dihydropyrimidinase-Like 2 (DPYSL2) (C-Term) antibody
- Antibody type
- Polyclonal
- Antigen
- Other
- Reactivity
- Human, Mouse, Rat
- Host
- Rabbit
- Isotype
- IgG
- Vial size
- 50 µg
No comments: Submit comment
Supportive validation
- Submitted by
- antibodies-online (provider)
- Main image

- Experimental details
- Western blot analysis of extracts from A549 cells, treated with EGF 200ng/ml 30', using DPYSL2 antibody. The lane on the right is treated with the synthesized peptide.
Supportive validation
- Submitted by
- antibodies-online (provider)
- Main image

- Experimental details
- Immunofluorescence analysis of HeLa cells, using DPYSL2 Antibody. The picture on the right is treated with the synthesized peptide.
Supportive validation
- Submitted by
- antibodies-online (provider)
- Main image

- Experimental details
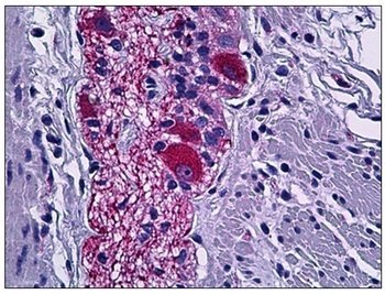
- Human Colon, Peripheral Nerve: Formalin-Fixed, Paraffin-Embedded (FFPE)
- Submitted by
- antibodies-online (provider)
- Main image

- Experimental details
- Human Brain, Cortex: Formalin-Fixed, Paraffin-Embedded (FFPE)
- Submitted by
- antibodies-online (provider)
- Main image

- Experimental details
- Human Pancreas, Peripheral Nerve: Formalin-Fixed, Paraffin-Embedded (FFPE)