Antibody data
- Antibody Data
- Antigen structure
- References [0]
- Comments [0]
- Validations
- Western blot [3]
- Immunohistochemistry [1]
- Flow cytometry [1]
Submit
Validation data
Reference
Comment
Report error
- Product number
- GTX11900 - Provider product page

- Provider
- GeneTex
- Proper citation
- GeneTex Cat#GTX11900, RRID:AB_372842
- Product name
- TNFAIP3 antibody [59A426]
- Antibody type
- Monoclonal
- Reactivity
- Human, Mouse, Rat
- Host
- Mouse
No comments: Submit comment
Supportive validation
- Submitted by
- GeneTex (provider)
- Main image

- Experimental details
- TNFAIP3 (A20) can be detected in Daudi whole cell extract using GTX11900 as primary antibody at 3 g/ml. For optimal results, primary antibody incubations should be performed at room temperature. The addition of 0.1% Tween 20 to all Blotto solutions may al
- Submitted by
- GeneTex (provider)
- Main image

- Experimental details
- Human jurkat lysate probed with TNFAIP3 antibody at 4 μg/ml.
- Submitted by
- GeneTex (provider)
- Main image

- Experimental details
- Western blot analysis of TNFAIP3 using antibody GTX11900. TNFAIP3 migrated as a stack of bands and LPS treatment (200 ng) induced a ~58 kDa putative TNFAIP3 cleavage band* not seen in the untreated control (C) THP1 cells. A20 cleavage fragments have often been described to accompany NF-kB activation. Althoμgh the significance of the cleavage fragments remains to be fully elucidated, they perk interest because cleavage fragments often have key roles in signaling pathways. Densitometry analysis was performed.
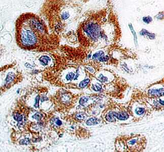
Supportive validation
- Submitted by
- GeneTex (provider)
- Main image

- Experimental details
- Formalin-fixed, paraffin-embedded human placenta probed with TNFAIP3 antibody at 5 μg/ml, cytoplasmic staining of decidual cells is observed. GeneTex human tissue TMA was used for this test. Staining of formalin-fixed tissues is enhanced by boiling tissue sections in 10 mM sodium citrate buffer, pH 6.0 for 10-20 min followed by cooling at RT for 20 min.
Supportive validation
- Submitted by
- GeneTex (provider)
- Main image

- Experimental details
- Intracellular flow cytometric analysis of TNFAIP3 in ThP-1 cells using A20 antibody (red) and isotype control (green, 20109) at 0.5 μg/ml.