Antibody data
- Antibody Data
- Antigen structure
- References [1]
- Comments [0]
- Validations
- Western blot [1]
- Immunohistochemistry [1]
Submit
Validation data
Reference
Comment
Report error
- Product number
- GTX80413 - Provider product page

- Provider
- GeneTex
- Proper citation
- GeneTex Cat#GTX80413, RRID:AB_11176718
- Product name
- IGF2BP3 antibody [8F11]
- Antibody type
- Monoclonal
- Reactivity
- Human
- Host
- Mouse
- Storage
- Store at 4¢J, for long term storage, store at -20¢J.
Submitted references Quantitative proteomics reveals proteins involved in the progression from non-cancerous lesions to gastric cancer.
Fernández-Coto DL, Gil J, Hernández A, Herrera-Goepfert R, Castro-Romero I, Hernández-Márquez E, Arenas-Linares AS, Calderon-Sosa VT, Sanchez-Aleman MÁ, Mendez-Tenorio A, Encarnación-Guevara S, Ayala G
Journal of proteomics 2018 Aug 30;186:15-27
Journal of proteomics 2018 Aug 30;186:15-27
No comments: Submit comment
Supportive validation
- Submitted by
- GeneTex (provider)
- Main image

- Experimental details
- Western blot analysis using IGF2BP3 mouse mAb (GTX80413) against Jurkat (1), K562 (2) and NTERA-2 (3) cell lysate.
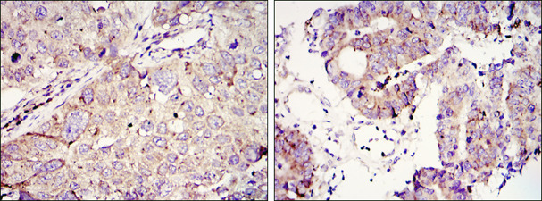
Supportive validation
- Submitted by
- GeneTex (provider)
- Main image

- Experimental details
- Immunohistochemical analysis of paraffin-embedded lung cancer (left) and colon tumour tissues (right) using IGC2BP3 mouse mAb (GTX80413) with DAB staining