Antibody data
- Antibody Data
- Antigen structure
- References [0]
- Comments [0]
- Validations
- Western blot [2]
- Immunohistochemistry [1]
Submit
Validation data
Reference
Comment
Report error
- Product number
- AP06133PU-N - Provider product page

- Provider
- Acris Antibodies GmbH
- Proper citation
- Acris Antibodies GmbH Cat#AP06133PU-N, RRID:AB_1617916
- Product name
- anti MCM3AP
- Antibody type
- Polyclonal
- Antigen
- Synthetic peptide, corresponding to amino acids 1841-1890 of Human GANP.
- Reactivity
- Human, Mouse
- Host
- Rabbit
- Vial size
- 0.1 mg
- Concentration
- 1.0 mg/ml
No comments: Submit comment
Supportive validation
- Submitted by
- Acris Antibodies GmbH (provider)
- Main image

- Experimental details
- Western blot(WB) analysis of GANP/MCM3AP antibody in extracts from NIH/3T3 cells.
- Submitted by
- Acris Antibodies GmbH (provider)
- Main image

- Experimental details
- Western blot (WB) analysis of GANP antibody (Cat.-No.: AP06133PU-N) at 1/500 dilution Lane1:Hela whole cell lysate Lane2:MCF-7 whole cell lysate Lane3:Raw264.7 whole cell lysate Lane4:Mouse liver tissue lysate Lane5:Rat kidney tissue lysate
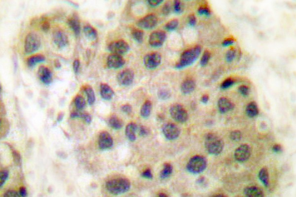
Supportive validation
- Submitted by
- Acris Antibodies GmbH (provider)
- Main image

- Experimental details
- Immunohistochemistry (IHC) analyzes of GANP/MCM3AP antibody (Cat.-No.: AP06133PU-N) in paraffin-embedded human breast carcinoma tissue.