Antibody data
- Antibody Data
- Antigen structure
- References [2]
- Comments [0]
- Validations
- Immunohistochemistry [1]
Submit
Validation data
Reference
Comment
Report error
- Product number
- M00379-1 - Provider product page

- Provider
- Boster Biological Technology
- Product name
- Anti-Survivin BIRC5 Rabbit Monoclonal Antibody
- Antibody type
- Monoclonal
- Description
- Monoclonal antibody for Survivin/BIRC5 detection. Host: Rabbit.Size: 100ug/vial. Tested applications: Flow Cytometry, IP, IF, IHC, ICC, WB. Reactive species: Human Survivin/BIRC5 information: Molecular Weight: 16389 MW; Subcellular Localization: Cytoplasm. Nucleus. Chromosome. Chromosome, centromere. Cytoplasm, cytoskeleton, spindle. Chromosome, centromere, kinetochore. Midbody. Localizes on chromosome arms and inner centromeres from prophase through metaphase. Localizes to kinetochores in metaphase, distributes to the midzone microtubules in anaphase and at telophase, localizes exclusively to the midbody. Colocalizes with AURKB at mitotic chromosomes. Acetylation at Lys-129 directs its localization to the nucleus by enhancing homodimerization and thereby inhibiting XPO1/CRM1- mediated nuclear export; Tissue Specificity: Expressed only in fetal kidney and liver, and to lesser extent, lung and brain. Abundantly expressed in adenocarcinoma (lung, pancreas, colon, breast, and prostate) and in high-grade lymphomas. Also expressed in various renal cell carcinoma cell lines.
- Reactivity
- Human
- Host
- Rabbit
- Antibody clone number
- ABB-2
- Vial size
- 100ug/vial
- Concentration
- 0.5-1mg/ml, actual concentration vary by lot. Use suggested dilution ratio to decide dilution procedure.
- Storage
- At -20°C for one year. Avoid repeated freezing and thawing.
Submitted references Isolation of an "Early" Transit Amplifying Keratinocyte Population in Human Epidermis: A Role for the Low Affinity Neurotrophin Receptor CD271.
Kallistatin, a novel anti-angiogenesis agent, inhibits angiogenesis via inhibition of the NF-κB signaling pathway.
Lotti R, Palazzo E, Quadri M, Dumas M, Schnebert S, Biondini D, Bianchini MA, Nizard C, Pincelli C, Marconi A
Stem cells (Dayton, Ohio) 2022 Dec 31;40(12):1149-1161
Stem cells (Dayton, Ohio) 2022 Dec 31;40(12):1149-1161
Kallistatin, a novel anti-angiogenesis agent, inhibits angiogenesis via inhibition of the NF-κB signaling pathway.
Huang KF, Huang XP, Xiao GQ, Yang HY, Lin JS, Diao Y
Biomedicine & pharmacotherapy = Biomedecine & pharmacotherapie 2014 May;68(4):455-61
Biomedicine & pharmacotherapy = Biomedecine & pharmacotherapie 2014 May;68(4):455-61
No comments: Submit comment
Supportive validation
- Submitted by
- Boster Biological Technology (provider)
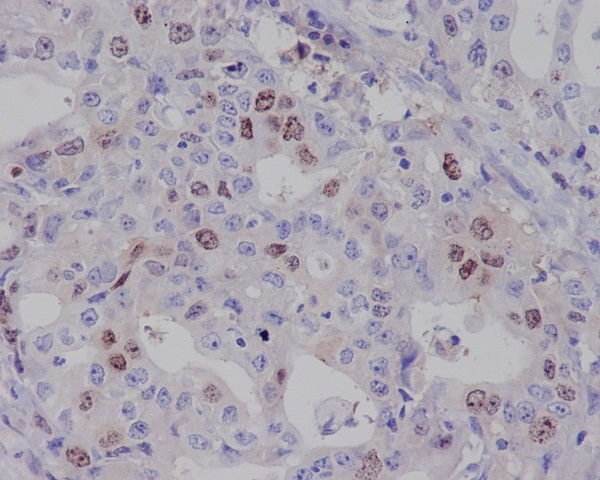
- Main image

- Experimental details
- Immunohistochemical analysis of paraffin-embedded human gastric carcinoma, using Survivin Antibody(M00379-1)BIRC5 was detected in paraffin-embedded tissue section. Heat mediated antigen retrieval was performed in citrate buffer (pH6, epitope retrieval solution) for 20 mins. The tissue section was blocked with 10% goat serum. The tissue section was then incubated with 1ug/ml rabbit anti-BIRC5 Antibody (M00379-1)overnight at 4?? Biotinylated goat anti-rabbit IgG was used as secondary antibody and incubated for 30 minutes at 37?? The tissue section was developed using Strepavidin-Biotin-Complex (SABC)(Catalog # SA1022) with DAB as the chromogen.
- Additional image
