Antibody data
- Antibody Data
- Antigen structure
- References [43]
- Comments [0]
- Validations
- Western blot [5]
- Immunohistochemistry [6]
Submit
Validation data
Reference
Comment
Report error
- Product number
- NB100-56565 - Provider product page

- Provider
- Novus Biologicals
- Proper citation
- Novus Cat#NB100-56565, RRID:AB_837823
- Product name
- Mouse Monoclonal Caspase-1 Antibody
- Antibody type
- Monoclonal
- Description
- Protein G purified. The antibody will recognize full-length Caspase-1 and cleaved caspase-1 forms that retain amino acids 371-390 of the Caspase-1 protein.
- Reactivity
- Human, Mouse, Rat
- Host
- Mouse
- Isotype
- IgG
- Vial size
- 0.1 mg
- Concentration
- 1.0 mg/ml
- Storage
- Store at 4C short term. Aliquot and store at -20C long term. Avoid freeze-thaw cycles.
Submitted references Hepatitis B virus X protein promotes liver cell pyroptosis under oxidative stress through NLRP3 inflammasome activation.
HMGB1 participates in LPS‑induced acute lung injury by activating the AIM2 inflammasome in macrophages and inducing polarization of M1 macrophages via TLR2, TLR4, and RAGE/NF‑κB signaling pathways.
Oligodendrocytes modulate the immune-inflammatory response in EAE via TNFR2 signaling.
Blockade of β-adrenergic signaling suppresses inflammasome and alleviates cardiac fibrosis.
Thromboxane A2 Synthase and Thromboxane Receptor Deletion Reduces Ischaemia/Reperfusion-Evoked Inflammation, Apoptosis, Autophagy and Pyroptosis.
Inflammasome Activation Induces Pyroptosis in the Retina Exposed to Ocular Hypertension Injury.
Activation of the NLRP3 Inflammasome Pathway by Prokineticin 2 in Testicular Macrophages of Uropathogenic Escherichia coli- Induced Orchitis.
Mitochondrial DNA Promotes NLRP3 Inflammasome Activation and Contributes to Endothelial Dysfunction and Inflammation in Type 1 Diabetes.
The inflammasome NLRP3 plays a dual role on mouse corpora cavernosa relaxation.
NLRP3 Inflammasome and Mineralocorticoid Receptors Are Associated with Vascular Dysfunction in Type 2 Diabetes Mellitus.
Transcriptional Suppression of the NLRP3 Inflammasome and Cytokine Release in Primary Macrophages by Low-Dose Anthracyclines.
A systematic review and critical evaluation of immunohistochemical associations in hidradenitis suppurativa.
Contribution of the inflammasome to inflammaging.
Inflammasome Proteins in Serum and Serum-Derived Extracellular Vesicles as Biomarkers of Stroke.
Whole Body Vibration Therapy after Ischemia Reduces Brain Damage in Reproductively Senescent Female Rats.
Human parvovirus B19 nonstructural protein NS1 activates NLRP3 inflammasome signaling in adult‑onset Still's disease.
Tofacitinib inhibits granulocyte-macrophage colony-stimulating factor-induced NLRP3 inflammasome activation in human neutrophils.
Nicotine Alters Estrogen Receptor-Beta-Regulated Inflammasome Activity and Exacerbates Ischemic Brain Damage in Female Rats.
Metabolic Remodeling, Inflammasome Activation, and Pyroptosis in Macrophages Stimulated by Porphyromonas gingivalis and Its Outer Membrane Vesicles.
Ion efflux and influenza infection trigger NLRP3 inflammasome signaling in human dendritic cells.
Myeloid cell transmigration across the CNS vasculature triggers IL-1β-driven neuroinflammation during autoimmune encephalomyelitis in mice.
Exosome-mediated inflammasome signaling after central nervous system injury.
Gossypol induces pyroptosis in mouse macrophages via a non-canonical inflammasome pathway.
Mechanisms of inflammasome activation by Vibrio cholerae secreted toxins vary with strain biotype.
Staphylococcus aureus Leukocidin A/B (LukAB) Kills Human Monocytes via Host NLRP3 and ASC when Extracellular, but Not Intracellular.
Mitochondrial Ca2+-dependent NLRP3 activation exacerbates the Pseudomonas aeruginosa-driven inflammatory response in cystic fibrosis.
Intracellular Shigella remodels its LPS to dampen the innate immune recognition and evade inflammasome activation.
Involvement of the inflammasome in abnormal semen quality of men with spinal cord injury.
Porphyromonas gingivalis mediates inflammasome repression in polymicrobial cultures through a novel mechanism involving reduced endocytosis.
Effects of therapeutic hypothermia on inflammasome signaling after traumatic brain injury.
Caspase-1 level is higher in the scalp in androgenetic alopecia.
P2X4 receptors influence inflammasome activation after spinal cord injury.
Human trophoblast-derived exosomal fibronectin induces pro-inflammatory IL-1β production by macrophages.
The NLR adaptor ASC/PYCARD regulates DUSP10, mitogen-activated protein kinase (MAPK), and chemokine induction independent of the inflammasome.
Heightened inflammasome activation is linked to age-related cognitive impairment in Fischer 344 rats.
Functional recovery after peripheral nerve injury is dependent on the pro-inflammatory cytokines IL-1β and TNF: implications for neuropathic pain.
Inflammasome up-regulation and activation in dysferlin-deficient skeletal muscle.
Transcription regulation of caspase-1 by R393 of HIPPI and its molecular partner HIP-1.
TLR7 and TLR8 ligands and antiphospholipid antibodies show synergistic effects on the induction of IL-1beta and caspase-1 in monocytes and dendritic cells.
Staphylococcus aureus alpha-hemolysin activates the NLRP3-inflammasome in human and mouse monocytic cells.
Neisseria gonorrhoeae activates the proteinase cathepsin B to mediate the signaling activities of the NLRP3 and ASC-containing inflammasome.
Innate immune activation through Nalp3 inflammasome sensing of asbestos and silica.
Cellular pyrin domain-only protein 2 is a candidate regulator of inflammasome activation.
Xie WH, Ding J, Xie XX, Yang XH, Wu XF, Chen ZX, Guo QL, Gao WY, Wang XZ, Li D
Inflammation research : official journal of the European Histamine Research Society ... [et al.] 2020 Jul;69(7):683-696
Inflammation research : official journal of the European Histamine Research Society ... [et al.] 2020 Jul;69(7):683-696
HMGB1 participates in LPS‑induced acute lung injury by activating the AIM2 inflammasome in macrophages and inducing polarization of M1 macrophages via TLR2, TLR4, and RAGE/NF‑κB signaling pathways.
Wang J, Li R, Peng Z, Hu B, Rao X, Li J
International journal of molecular medicine 2020 Jan;45(1):61-80
International journal of molecular medicine 2020 Jan;45(1):61-80
Oligodendrocytes modulate the immune-inflammatory response in EAE via TNFR2 signaling.
Madsen PM, Desu HL, de Rivero Vaccari JP, Florimon Y, Ellman DG, Keane RW, Clausen BH, Lambertsen KL, Brambilla R
Brain, behavior, and immunity 2020 Feb;84:132-146
Brain, behavior, and immunity 2020 Feb;84:132-146
Blockade of β-adrenergic signaling suppresses inflammasome and alleviates cardiac fibrosis.
Dang S, Zhang ZY, Li KL, Zheng J, Qian LL, Liu XY, Wu Y, Zhang CY, Zhao XX, Yu ZM, Wang RX, Jiang T
Annals of translational medicine 2020 Feb;8(4):127
Annals of translational medicine 2020 Feb;8(4):127
Thromboxane A2 Synthase and Thromboxane Receptor Deletion Reduces Ischaemia/Reperfusion-Evoked Inflammation, Apoptosis, Autophagy and Pyroptosis.
Chueh TH, Cheng YH, Chen KH, Chien CT
Thrombosis and haemostasis 2020 Feb;120(2):329-343
Thrombosis and haemostasis 2020 Feb;120(2):329-343
Inflammasome Activation Induces Pyroptosis in the Retina Exposed to Ocular Hypertension Injury.
Pronin A, Pham D, An W, Dvoriantchikova G, Reshetnikova G, Qiao J, Kozhekbaeva Z, Reiser AE, Slepak VZ, Shestopalov VI
Frontiers in molecular neuroscience 2019;12:36
Frontiers in molecular neuroscience 2019;12:36
Activation of the NLRP3 Inflammasome Pathway by Prokineticin 2 in Testicular Macrophages of Uropathogenic Escherichia coli- Induced Orchitis.
Li Y, Su Y, Zhou T, Hu Z, Wei J, Wang W, Liu C, Zhang H, Zhao K
Frontiers in immunology 2019;10:1872
Frontiers in immunology 2019;10:1872
Mitochondrial DNA Promotes NLRP3 Inflammasome Activation and Contributes to Endothelial Dysfunction and Inflammation in Type 1 Diabetes.
Pereira CA, Carlos D, Ferreira NS, Silva JF, Zanotto CZ, Zamboni DS, Garcia VD, Ventura DF, Silva JS, Tostes RC
Frontiers in physiology 2019;10:1557
Frontiers in physiology 2019;10:1557
The inflammasome NLRP3 plays a dual role on mouse corpora cavernosa relaxation.
Fais RS, Rodrigues FL, Pereira CA, Mendes AC, Mestriner F, Tostes RC, Carneiro FS
Scientific reports 2019 Nov 7;9(1):16224
Scientific reports 2019 Nov 7;9(1):16224
NLRP3 Inflammasome and Mineralocorticoid Receptors Are Associated with Vascular Dysfunction in Type 2 Diabetes Mellitus.
Ferreira NS, Bruder-Nascimento T, Pereira CA, Zanotto CZ, Prado DS, Silva JF, Rassi DM, Foss-Freitas MC, Alves-Filho JC, Carlos D, Tostes RC
Cells 2019 Dec 8;8(12)
Cells 2019 Dec 8;8(12)
Transcriptional Suppression of the NLRP3 Inflammasome and Cytokine Release in Primary Macrophages by Low-Dose Anthracyclines.
Köse-Vogel N, Stengel S, Gardey E, Kirchberger-Tolstik T, Reuken PA, Stallmach A, Bruns T
Cells 2019 Dec 28;9(1)
Cells 2019 Dec 28;9(1)
A systematic review and critical evaluation of immunohistochemical associations in hidradenitis suppurativa.
Frew JW, Hawkes JE, Krueger JG
F1000Research 2018;7:1923
F1000Research 2018;7:1923
Contribution of the inflammasome to inflammaging.
Mejias NH, Martinez CC, Stephens ME, de Rivero Vaccari JP
Journal of inflammation (London, England) 2018;15:23
Journal of inflammation (London, England) 2018;15:23
Inflammasome Proteins in Serum and Serum-Derived Extracellular Vesicles as Biomarkers of Stroke.
Kerr N, García-Contreras M, Abbassi S, Mejias NH, Desousa BR, Ricordi C, Dietrich WD, Keane RW, de Rivero Vaccari JP
Frontiers in molecular neuroscience 2018;11:309
Frontiers in molecular neuroscience 2018;11:309
Whole Body Vibration Therapy after Ischemia Reduces Brain Damage in Reproductively Senescent Female Rats.
Raval AP, Schatz M, Bhattacharya P, d'Adesky N, Rundek T, Dietrich WD, Bramlett HM
International journal of molecular sciences 2018 Sep 13;19(9)
International journal of molecular sciences 2018 Sep 13;19(9)
Human parvovirus B19 nonstructural protein NS1 activates NLRP3 inflammasome signaling in adult‑onset Still's disease.
Chen DY, Chen YM, Chen HH, Hsieh CW, Gung NR, Hung WT, Tzang BS, Hsu TC
Molecular medicine reports 2018 Feb;17(2):3364-3371
Molecular medicine reports 2018 Feb;17(2):3364-3371
Tofacitinib inhibits granulocyte-macrophage colony-stimulating factor-induced NLRP3 inflammasome activation in human neutrophils.
Furuya MY, Asano T, Sumichika Y, Sato S, Kobayashi H, Watanabe H, Suzuki E, Kozuru H, Yatsuhashi H, Koga T, Ohira H, Sekine H, Kawakami A, Migita K
Arthritis research & therapy 2018 Aug 29;20(1):196
Arthritis research & therapy 2018 Aug 29;20(1):196
Nicotine Alters Estrogen Receptor-Beta-Regulated Inflammasome Activity and Exacerbates Ischemic Brain Damage in Female Rats.
d'Adesky ND, de Rivero Vaccari JP, Bhattacharya P, Schatz M, Perez-Pinzon MA, Bramlett HM, Raval AP
International journal of molecular sciences 2018 Apr 30;19(5)
International journal of molecular sciences 2018 Apr 30;19(5)
Metabolic Remodeling, Inflammasome Activation, and Pyroptosis in Macrophages Stimulated by Porphyromonas gingivalis and Its Outer Membrane Vesicles.
Fleetwood AJ, Lee MKS, Singleton W, Achuthan A, Lee MC, O'Brien-Simpson NM, Cook AD, Murphy AJ, Dashper SG, Reynolds EC, Hamilton JA
Frontiers in cellular and infection microbiology 2017;7:351
Frontiers in cellular and infection microbiology 2017;7:351
Ion efflux and influenza infection trigger NLRP3 inflammasome signaling in human dendritic cells.
Fernandez MV, Miller E, Krammer F, Gopal R, Greenbaum BD, Bhardwaj N
Journal of leukocyte biology 2016 May;99(5):723-34
Journal of leukocyte biology 2016 May;99(5):723-34
Myeloid cell transmigration across the CNS vasculature triggers IL-1β-driven neuroinflammation during autoimmune encephalomyelitis in mice.
Lévesque SA, Paré A, Mailhot B, Bellver-Landete V, Kébir H, Lécuyer MA, Alvarez JI, Prat A, de Rivero Vaccari JP, Keane RW, Lacroix S
The Journal of experimental medicine 2016 May 30;213(6):929-49
The Journal of experimental medicine 2016 May 30;213(6):929-49
Exosome-mediated inflammasome signaling after central nervous system injury.
de Rivero Vaccari JP, Brand F 3rd, Adamczak S, Lee SW, Perez-Barcena J, Wang MY, Bullock MR, Dietrich WD, Keane RW
Journal of neurochemistry 2016 Jan;136 Suppl 1:39-48
Journal of neurochemistry 2016 Jan;136 Suppl 1:39-48
Gossypol induces pyroptosis in mouse macrophages via a non-canonical inflammasome pathway.
Lin QR, Li CG, Zha QB, Xu LH, Pan H, Zhao GX, Ouyang DY, He XH
Toxicology and applied pharmacology 2016 Feb 1;292:56-64
Toxicology and applied pharmacology 2016 Feb 1;292:56-64
Mechanisms of inflammasome activation by Vibrio cholerae secreted toxins vary with strain biotype.
Queen J, Agarwal S, Dolores JS, Stehlik C, Satchell KJ
Infection and immunity 2015 Jun;83(6):2496-506
Infection and immunity 2015 Jun;83(6):2496-506
Staphylococcus aureus Leukocidin A/B (LukAB) Kills Human Monocytes via Host NLRP3 and ASC when Extracellular, but Not Intracellular.
Melehani JH, James DB, DuMont AL, Torres VJ, Duncan JA
PLoS pathogens 2015 Jun;11(6):e1004970
PLoS pathogens 2015 Jun;11(6):e1004970
Mitochondrial Ca2+-dependent NLRP3 activation exacerbates the Pseudomonas aeruginosa-driven inflammatory response in cystic fibrosis.
Rimessi A, Bezzerri V, Patergnani S, Marchi S, Cabrini G, Pinton P
Nature communications 2015 Feb 4;6:6201
Nature communications 2015 Feb 4;6:6201
Intracellular Shigella remodels its LPS to dampen the innate immune recognition and evade inflammasome activation.
Paciello I, Silipo A, Lembo-Fazio L, Curcurù L, Zumsteg A, Noël G, Ciancarella V, Sturiale L, Molinaro A, Bernardini ML
Proceedings of the National Academy of Sciences of the United States of America 2013 Nov 12;110(46):E4345-54
Proceedings of the National Academy of Sciences of the United States of America 2013 Nov 12;110(46):E4345-54
Involvement of the inflammasome in abnormal semen quality of men with spinal cord injury.
Zhang X, Ibrahim E, de Rivero Vaccari JP, Lotocki G, Aballa TC, Dietrich WD, Keane RW, Lynne CM, Brackett NL
Fertility and sterility 2013 Jan;99(1):118-24
Fertility and sterility 2013 Jan;99(1):118-24
Porphyromonas gingivalis mediates inflammasome repression in polymicrobial cultures through a novel mechanism involving reduced endocytosis.
Taxman DJ, Swanson KV, Broglie PM, Wen H, Holley-Guthrie E, Huang MT, Callaway JB, Eitas TK, Duncan JA, Ting JP
The Journal of biological chemistry 2012 Sep 21;287(39):32791-9
The Journal of biological chemistry 2012 Sep 21;287(39):32791-9
Effects of therapeutic hypothermia on inflammasome signaling after traumatic brain injury.
Tomura S, de Rivero Vaccari JP, Keane RW, Bramlett HM, Dietrich WD
Journal of cerebral blood flow and metabolism : official journal of the International Society of Cerebral Blood Flow and Metabolism 2012 Oct;32(10):1939-47
Journal of cerebral blood flow and metabolism : official journal of the International Society of Cerebral Blood Flow and Metabolism 2012 Oct;32(10):1939-47
Caspase-1 level is higher in the scalp in androgenetic alopecia.
de Rivero Vaccari JP, Sawaya ME, Brand F 3rd, Nusbaum BP, Bauman AJ, Bramlett HM, Dietrich WD, Keane RW
Dermatologic surgery : official publication for American Society for Dermatologic Surgery [et al.] 2012 Jul;38(7 Pt 1):1033-9
Dermatologic surgery : official publication for American Society for Dermatologic Surgery [et al.] 2012 Jul;38(7 Pt 1):1033-9
P2X4 receptors influence inflammasome activation after spinal cord injury.
de Rivero Vaccari JP, Bastien D, Yurcisin G, Pineau I, Dietrich WD, De Koninck Y, Keane RW, Lacroix S
The Journal of neuroscience : the official journal of the Society for Neuroscience 2012 Feb 29;32(9):3058-66
The Journal of neuroscience : the official journal of the Society for Neuroscience 2012 Feb 29;32(9):3058-66
Human trophoblast-derived exosomal fibronectin induces pro-inflammatory IL-1β production by macrophages.
Atay S, Gercel-Taylor C, Taylor DD
American journal of reproductive immunology (New York, N.Y. : 1989) 2011 Oct;66(4):259-69
American journal of reproductive immunology (New York, N.Y. : 1989) 2011 Oct;66(4):259-69
The NLR adaptor ASC/PYCARD regulates DUSP10, mitogen-activated protein kinase (MAPK), and chemokine induction independent of the inflammasome.
Taxman DJ, Holley-Guthrie EA, Huang MT, Moore CB, Bergstralh DT, Allen IC, Lei Y, Gris D, Ting JP
The Journal of biological chemistry 2011 Jun 3;286(22):19605-16
The Journal of biological chemistry 2011 Jun 3;286(22):19605-16
Heightened inflammasome activation is linked to age-related cognitive impairment in Fischer 344 rats.
Mawhinney LJ, de Rivero Vaccari JP, Dale GA, Keane RW, Bramlett HM
BMC neuroscience 2011 Dec 1;12:123
BMC neuroscience 2011 Dec 1;12:123
Functional recovery after peripheral nerve injury is dependent on the pro-inflammatory cytokines IL-1β and TNF: implications for neuropathic pain.
Nadeau S, Filali M, Zhang J, Kerr BJ, Rivest S, Soulet D, Iwakura Y, de Rivero Vaccari JP, Keane RW, Lacroix S
The Journal of neuroscience : the official journal of the Society for Neuroscience 2011 Aug 31;31(35):12533-42
The Journal of neuroscience : the official journal of the Society for Neuroscience 2011 Aug 31;31(35):12533-42
Inflammasome up-regulation and activation in dysferlin-deficient skeletal muscle.
Rawat R, Cohen TV, Ampong B, Francia D, Henriques-Pons A, Hoffman EP, Nagaraju K
The American journal of pathology 2010 Jun;176(6):2891-900
The American journal of pathology 2010 Jun;176(6):2891-900
Transcription regulation of caspase-1 by R393 of HIPPI and its molecular partner HIP-1.
Banerjee M, Datta M, Majumder P, Mukhopadhyay D, Bhattacharyya NP
Nucleic acids research 2010 Jan;38(3):878-92
Nucleic acids research 2010 Jan;38(3):878-92
TLR7 and TLR8 ligands and antiphospholipid antibodies show synergistic effects on the induction of IL-1beta and caspase-1 in monocytes and dendritic cells.
Hurst J, Prinz N, Lorenz M, Bauer S, Chapman J, Lackner KJ, von Landenberg P
Immunobiology 2009;214(8):683-91
Immunobiology 2009;214(8):683-91
Staphylococcus aureus alpha-hemolysin activates the NLRP3-inflammasome in human and mouse monocytic cells.
Craven RR, Gao X, Allen IC, Gris D, Bubeck Wardenburg J, McElvania-Tekippe E, Ting JP, Duncan JA
PloS one 2009 Oct 14;4(10):e7446
PloS one 2009 Oct 14;4(10):e7446
Neisseria gonorrhoeae activates the proteinase cathepsin B to mediate the signaling activities of the NLRP3 and ASC-containing inflammasome.
Duncan JA, Gao X, Huang MT, O'Connor BP, Thomas CE, Willingham SB, Bergstralh DT, Jarvis GA, Sparling PF, Ting JP
Journal of immunology (Baltimore, Md. : 1950) 2009 May 15;182(10):6460-9
Journal of immunology (Baltimore, Md. : 1950) 2009 May 15;182(10):6460-9
Innate immune activation through Nalp3 inflammasome sensing of asbestos and silica.
Dostert C, Pétrilli V, Van Bruggen R, Steele C, Mossman BT, Tschopp J
Science (New York, N.Y.) 2008 May 2;320(5876):674-7
Science (New York, N.Y.) 2008 May 2;320(5876):674-7
Cellular pyrin domain-only protein 2 is a candidate regulator of inflammasome activation.
Dorfleutner A, Bryan NB, Talbott SJ, Funya KN, Rellick SL, Reed JC, Shi X, Rojanasakul Y, Flynn DC, Stehlik C
Infection and immunity 2007 Mar;75(3):1484-92
Infection and immunity 2007 Mar;75(3):1484-92
No comments: Submit comment
Supportive validation
- Submitted by
- Novus Biologicals (provider)
- Main image

- Experimental details
- Simple Western: Caspase-1 Antibody (14F468) [NB100-56565] - Simple Western lane view shows a specific band for Caspase 1 in 1.0 mg/ml of HeLa lysate. This experiment was performed under reducing conditions using the 12-230 kDa separation system.
- Submitted by
- Novus Biologicals (provider)
- Main image

- Experimental details
- Western Blot: Caspase-1 Antibody (14F468) [NB100-56565] - Analysis of Caspase-1 using a Caspase-1 monoclonal antibody. Human HeLa (A) and mouse NIH3T3 lysate probed with Caspase-1 antibody at 0.5 ug/ml and 2 ug/ml, respectively.
- Submitted by
- Novus Biologicals (provider)
- Main image

- Experimental details
- Western Blot: Caspase-1 Antibody (14F468) [NB100-56565] - LukAB is a potent activator of Caspase 1. THP1 cells were intoxicated with 50 ng/mL LukAB for 1 hour and cell lysates were analyzed by immunoblot for Caspase 1 cleavage, which indicates activation. Image collected and cropped by CiteAb from the following publication (//doi.org/10.1371/journal.ppat.1004970) licensed under a CC-BY licence.
- Submitted by
- Novus Biologicals (provider)
- Main image

- Experimental details
- Western Blot: Caspase-1 Antibody (14F468) [NB100-56565] - P. gingivalis and its OMVs differentially induce inflammasome signaling and pyroptosis in murine macrophages. BMM were infected as before (2 h at MOI of 25:1, see Materials and Methods) with viable P. gingivalis (Pg), heat-killed-Pg (HK-Pg), OMVs, or heat-inactivated-OMVs (HI-OMVs) and the activation of inflammasome components in the lysates [or supernatants (sup) where indicated] measured after 24 h by Western blot; beta-actin serves as a loading control throughout. Western blot data are representative of at least three independent experiments. Image collected and cropped by CiteAb from the following publication (http://journal.frontiersin.org/article/10.3389/fcimb.2017.00351/full), licensed under a CC-BY licence.
- Submitted by
- Novus Biologicals (provider)
- Main image

- Experimental details
- Western Blot: Caspase-1 Antibody (14F468) [NB100-56565] - P. gingivalis and its OMVs differentially induce inflammasome signaling and pyroptosis in human macrophages. MDM were infected as before (2 h at MOI of 25:1, see Materials and Methods) with viable P. gingivalis (Pg), heat-killed-Pg (HK-Pg), OMVs, or heat-inactivated-OMVs (HI-OMVs) and the activation of inflammasome components in the lysates was measured after 24 h by Western blot; beta-actin serves as a loading control throughout. Western blot data are representative of at least three independent experiments. Image collected and cropped by CiteAb from the following publication (http://journal.frontiersin.org/article/10.3389/fcimb.2017.00351/full), licensed under a CC-BY licence.
Supportive validation
- Submitted by
- Novus Biologicals (provider)
- Main image

- Experimental details
- Immunohistochemistry-Paraffin: Caspase-1 Antibody (14F468) [NB100-56565] - Adenocarcinoma of the rectum stained with Caspase-1 antibody (5 ug/ml), peroxidase-conjugate and DAB chromogen. Staining of formalin-fixed tissues is enhanced by boiling tissue sections in 10 mM sodium citrate buffer, pH 6.0 for 10-20 min followed by cooling at RT for 20 min.
- Submitted by
- Novus Biologicals (provider)
- Main image

- Experimental details
- Immunohistochemistry-Paraffin: Caspase-1 Antibody (14F468) [NB100-56565] - Detection of Caspase-1 in a section of human ovarian cancer using 5 ug/ml concentration of Caspase 1 antibody (clone 14F468).
- Submitted by
- Novus Biologicals (provider)
- Main image

- Experimental details
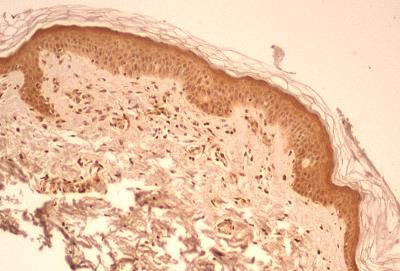
- Immunohistochemistry-Paraffin: Caspase-1 Antibody (14F468) [NB100-56565] - Normal skin from human using 5 ug/ml concentration of Caspase 1 antibody (clone 14F468). Strong cytoplasmic/nuclear staining developed in all the epidermal cells, blood vessels and some cells of the dermal connective tissues layer. [10X Magnification]
- Submitted by
- Novus Biologicals (provider)
- Main image

- Experimental details
- Immunohistochemistry-Paraffin: Caspase-1 Antibody (14F468) [NB100-56565] - Detection of Caspase-1 protein in a section of normal human colon using 5 ug/ml concentration of Caspase 1 antibody (clone 14F468). Distinct cytoplasmic staining along with some nuclear positivity was observed in crypts/mucosa, and staining was found to be more intense in the absorptive columnar epithelial cells. [10X Magnification]
- Submitted by
- Novus Biologicals (provider)
- Main image

- Experimental details
- Immunohistochemistry-Paraffin: Caspase-1 Antibody (14F468) [NB100-56565] - Normal lung from human using 5 ug/ml concentration of Caspase 1 antibody (clone 14F468). In this representative lung section, different type of cells including pseudostratified columnar epithelium of bronchiole and the simple squamous epithelium of alveoli may be seen to develop immunoreactivity for Caspase 1. [10X Magnification]
- Submitted by
- Novus Biologicals (provider)
- Main image

- Experimental details
- Immunohistochemistry-Paraffin: Caspase-1 Antibody (14F468) [NB100-56565] - Tissue section of human intestine using Caspase-1 antibody (clone 14F468) at 5ug/ml concentration (1:200 dilution). The primary antibody binding to Caspase 1 in cells was detected using HRP conjugated anti-Mouse secondary antibody with DAB reagent, and the sections were further counterstained with hematoxylin for labeling cellular nuclei. This Caspase 1 antibody generated a diffused but specific cytoplasmic staining in columnar epithelia cells of villi, and a few cells depicted nuclear staining also. Only a subset of connective tissue cells in lamina propria depicted positivity (cytoplasmic) for this protein.