Antibody data
- Antibody Data
 - Antigen structure
 - References [1]
 - Comments [0]
 - Validations
 - Western blot [2]
 - Immunocytochemistry [1]
 - Immunohistochemistry [2]
 
Submit
Validation data
Reference
Comment
Report error
- Product number
 - GTX109306 - Provider product page

 - Provider
 - GeneTex
 - Proper citation
 - GeneTex Cat#GTX109306, RRID:AB_1950133
 - Product name
 - DNase I antibody [N1C3]
 - Antibody type
 - Polyclonal
 - Reactivity
 - Human
 - Host
 - Rabbit
 
Submitted references		Taming hyperactive hDNase I: Stable inducible expression of a hyperactive salt- and actin-resistant variant of human deoxyribonuclease I in CHO cells.
				
		
	
			Lam C, Santell L, Wilson B, Yim M, Louie S, Tang D, Shaw D, Chan P, Lazarus RA, Snedecor B, Misaghi S
Biotechnology progress 2017 Mar;33(2):523-533
		Biotechnology progress 2017 Mar;33(2):523-533
				No comments: Submit comment	
	
			
							
					Supportive validation
					
									
				
				- Submitted by
 - GeneTex (provider)
 - Main image
 
- Experimental details
 - Sample (30 ug of whole cell lysate)A: MOLT4 (GTX27912)10% SDS PAGEGTX109306 diluted at 1:1000
 - Validation comment
 - WB
 
- Submitted by
 - GeneTex (provider)
 - Main image
 
- Experimental details
 - Whole cell extract (30 ?g) was separated by 12% SDS-PAGE, and the membrane was blotted with DNase I antibody [N1C3] (GTX109306) diluted at 1:1000. The HRP-conjugated anti-rabbit IgG antibody (GTX213110-01) was used to detect the primary antibody.
 
							
					Supportive validation
					
									
				
				- Submitted by
 - GeneTex (provider)
 - Main image
 
- Experimental details
 - DNase I antibody [N1C3] detects DNase I protein at cytoplasm by immunofluorescent analysis.Sample: HeLa cells were fixed in ice-cold MeOH for 5 min.Green: DNase I protein stained by DNase I antibody [N1C3] (GTX109306) diluted at 1:200.Blue: Hoechst 33342 staining.Scale bar = 10 £gm.
 
							
					Supportive validation
					
									
				
		- Submitted by
 - GeneTex (provider)
 - Main image
 
- Experimental details
 - DNase I antibody [N1C3] detects DNase I protein at cytoplasm in human cervical carcinoma by immunohistochemical analysis. Sample: Paraffin-embedded human cervical carcinoma. DNase I antibody [N1C3] (GTX109306) diluted at 1:500.
 
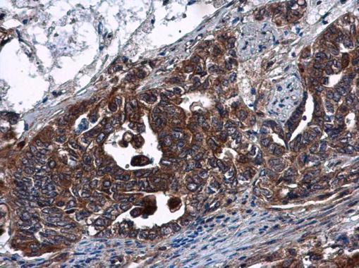
- Submitted by
 - GeneTex (provider)
 - Main image
 
- Experimental details
 - DNase I antibody [N1C3] detects DNase I protein at cytoplasm in human endometrial carcinoma by immunohistochemical analysis. Sample: Paraffin-embedded human endometrial carcinoma. DNase I antibody [N1C3] (GTX109306) diluted at 1:500.