Antibody data
- Antibody Data
- Antigen structure
- References [2]
- Comments [0]
- Validations
- Western blot [1]
- Immunohistochemistry [1]
Submit
Validation data
Reference
Comment
Report error
- Product number
- sc-20156 - Provider product page

- Provider
- Santa Cruz Biotechnology
- Proper citation
- Santa Cruz Biotechnology Cat#sc-20156, RRID:AB_2137260
- Product name
- Anti-MAOA
- Antibody type
- Polyclonal
- Antigen
- Recombinant full-length protein
- Reactivity
- Human
- Host
- Rabbit
Submitted references The significance of monoamine oxidase-A expression in high grade prostate cancer.
A molecular correlate to the Gleason grading system for prostate adenocarcinoma.
Peehl DM, Coram M, Khine H, Reese S, Nolley R, Zhao H
The Journal of urology 2008 Nov;180(5):2206-11
The Journal of urology 2008 Nov;180(5):2206-11
A molecular correlate to the Gleason grading system for prostate adenocarcinoma.
True L, Coleman I, Hawley S, Huang CY, Gifford D, Coleman R, Beer TM, Gelmann E, Datta M, Mostaghel E, Knudsen B, Lange P, Vessella R, Lin D, Hood L, Nelson PS
Proceedings of the National Academy of Sciences of the United States of America 2006 Jul 18;103(29):10991-6
Proceedings of the National Academy of Sciences of the United States of America 2006 Jul 18;103(29):10991-6
No comments: Submit comment
Supportive validation
- Submitted by
- per
- Main image

- Experimental details
- Western blot analysis of antibody specificity using a routine panel composed of IgG/HSA-depleted human plasma and protein lysates from selected human tissues and cell lines.
- Validation comment
- Single band corresponding to the predicted size in kDa (+/-20%).
- Primary Ab dilution
- 1:500
- Secondary Ab dilution
- 1:3000
- Lane 1
- Marker [kDa]: 229, 107, 78, 46, 31, 26, 16.2
- Lane 2
- RT-4
- Lane 3
- U-251MG sp
- Lane 4
- Human Plasma
- Lane 5
- Liver
- Lane 6
- Tonsil
- Theoretical target weight
- [kDa] 60
Supportive validation
- Submitted by
- per
- Main image

- Experimental details
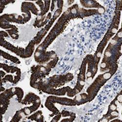
- Immunohistochemical staining of human duodenum shows strong cytoplasmic positivity in glandular cells.
- Validation comment
- Staining pattern consistent with experimental and/or bioinformatic data.