Antibody data
- Antibody Data
 - Antigen structure
 - References [0]
 - Comments [0]
 - Validations
 - Western blot [1]
 - Immunohistochemistry [1]
 
Submit
Validation data
Reference
Comment
Report error
- Product number
 - sc-74466 - Provider product page

 - Provider
 - Santa Cruz Biotechnology
 - Proper citation
 - Santa Cruz Biotechnology Cat#sc-74466, RRID:AB_1124939
 - Product name
 - Anti-ITGA2
 - Antibody type
 - Monoclonal
 - Reactivity
 - Human
 - Host
 - Mouse
 
				No comments: Submit comment	
	
			
							
					Supportive validation
					
									
				
				- Submitted by
 - per
 - Main image
 
- Experimental details
 - Western blot analysis of antibody specificity using a routine panel composed of IgG/HSA-depleted human plasma and protein lysates from selected human tissues and cell lines.
 - Validation comment
 - Band of predicted size in kDa (+/-20%) with additional bands present.
 - Primary Ab dilution
 - 1:500
 - Secondary Ab dilution
 - 1:7000
 - Lane 1
 - Marker [kDa]: 250, 130, 95, 72, 55, 36, 28, 17, 11
 - Lane 2
 - RT-4
 - Lane 3
 - U-251MG sp
 - Lane 4
 - Human Plasma
 - Lane 5
 - Liver
 - Lane 6
 - Tonsil
 - Theoretical target weight
 - [kDa] 129
 
							
					Supportive validation
					
									
				
		- Submitted by
 - per
 - Main image
 
- Experimental details
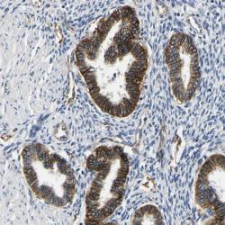
 - Immunohistochemical staining of human corpus, uterine shows strong cytoplasmic and membranous positivity in glandular cells.
 - Validation comment
 - Staining pattern partly consistent with experimental and/or bioinformatic data.