Antibody data
- Antibody Data
- Antigen structure
- References [0]
- Comments [0]
- Validations
- Western blot [2]
- Immunocytochemistry [2]
- Flow cytometry [1]
Submit
Validation data
Reference
Comment
Report error
- Product number
- TA809142S - Provider product page

- Provider
- Invitrogen Antibodies
- Product name
- GATA3 Monoclonal Antibody (OTI8E11), TrueMAB™
- Antibody type
- Monoclonal
- Antigen
- Recombinant protein fragment
- Reactivity
- Human
- Host
- Mouse
- Isotype
- IgG
- Antibody clone number
- OTI8E11
- Vial size
- 30 µL
- Concentration
- 1 mg/mL
- Storage
- -20° C, Avoid Freeze/Thaw Cycles
No comments: Submit comment
Supportive validation
- Submitted by
- Invitrogen Antibodies (provider)
- Main image

- Experimental details
- HEK293T cells were transfected with the pCMV6-ENTRY control (Left lane) or pCMV6-ENTRY GATA3 (RC211904, Right lane) cDNA for 48 hrs and lysed. Equivalent amounts of cell lysates (5 µg per lane) were separated by SDS-PAGE and immunoblotted with anti-GATA3. Positive lysates LY424146 (100 µg) and LC424146 (20 µg) can be purchased separately from OriGene.
- Submitted by
- Invitrogen Antibodies (provider)
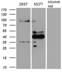
- Main image

- Experimental details
- Western blot analysis of extracts (35 µg) from 3 different cell lines by using anti-GATA3 monoclonal antibody. (1:200)
Supportive validation
- Submitted by
- Invitrogen Antibodies (provider)
- Main image

- Experimental details
- Immunocytochemistry staining of MCF-7 cells using anti-GATA3 mouse monoclonal antibody (TA809142)(Left). The right is negative control. (1:1000)
- Submitted by
- Invitrogen Antibodies (provider)
- Main image

- Experimental details
- Immunocytochemistry staining of MDA-MB-468 cells using anti-GATA3 mouse monoclonal antibody (TA809142)(Left). The right is negative control. (1:1000)
Supportive validation
- Submitted by
- Invitrogen Antibodies (provider)
- Main image

- Experimental details
- Flow cytometric analysis of penetrated MCF-7 cells, using anti-GATA3 antibody (TA809142), (Red), compared to a nonspecific negative control antibody, (Blue). The right is HUVEC cells as negtive control. (1:100)