Antibody data
- Antibody Data
- Antigen structure
- References [0]
- Comments [0]
- Validations
- Western blot [1]
- Immunohistochemistry [4]
Submit
Validation data
Reference
Comment
Report error
- Product number
- LS-C29675 - Provider product page 
- Provider
- LSBio
- Product name
- HMG2 / HMGB2 Antibody (C-Terminus) LS-C29675
- Antibody type
- Polyclonal
- Description
- Immunoaffinity purified
- Reactivity
- Human
- Host
- Rabbit
- Isotype
- IgG
- Storage
- Short term: Store at 2-8°C. Long term: Aliquot and store at -20°C. Avoid freeze/thaw cycles.
				No comments: Submit comment	
	
			
							
					Enhanced validation
					
									
				
				- Submitted by
- LSBio (provider)
- Enhanced method
- Genetic validation
- Main image
 
- Experimental details
- Jurkat Cell Lysate. This image was taken for the unconjugated form of this product. Other forms have not been tested.
							
					Supportive validation
					
									
				
		- Submitted by
- LSBio (provider)
- Enhanced method
- Genetic validation
- Main image
 
- Experimental details
- HMGB2 antibody ARP31939_P050-NP_002120-HMGB2 (high-mobility group box 2) Antibody IHC of formalin-fixed, paraffin-embedded human Liver. Positive label: Hepatocytes indicated with arrows. Antibody concentration 4-8 ug/ml. Magnification 400X. This image was taken for the unconjugated form of this product. Other forms have not been tested.
- Submitted by
- LSBio (provider)
- Enhanced method
- Genetic validation
- Main image
 
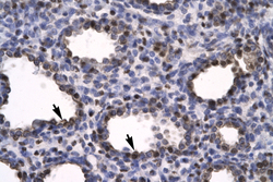
- Experimental details
- HMGB2 antibody ARP31939_P050-NP_002120-HMGB2 (high-mobility group box 2) Antibody IHC of formalin-fixed, paraffin-embedded human Lung. Positive label: Alveolar Cells indicated with arrows. Antibody concentration 4-8 ug/ml. Magnification 400X. This image was taken for the unconjugated form of this product. Other forms have not been tested.
- Submitted by
- LSBio (provider)
- Main image
 
- Experimental details
- HMGB2 antibody ARP31939_P050-NP_002120-HMGB2 (high-mobility group box 2) Antibody IHC of formalin-fixed, paraffin-embedded human Lung. Positive label: Alveolar Cells indicated with arrows. Antibody concentration 4-8 ug/ml. Magnification 400X. This image was taken for the unconjugated form of this product. Other forms have not been tested.
- Submitted by
- LSBio (provider)
- Main image
 
- Experimental details
- HMGB2 antibody ARP31939_P050-NP_002120-HMGB2 (high-mobility group box 2) Antibody IHC of formalin-fixed, paraffin-embedded human Liver. Positive label: Hepatocytes indicated with arrows. Antibody concentration 4-8 ug/ml. Magnification 400X. This image was taken for the unconjugated form of this product. Other forms have not been tested.