ENZ-ABS300-0100
antibody from Enzo Life Sciences
Targeting: LMAN1
ERGIC-53, ERGIC53, F5F8D, FMFD1, gp58, MCFD1, MR60
Antibody data
- Antibody Data
- Antigen structure
- References [1]
- Comments [0]
- Validations
- Immunocytochemistry [5]
Submit
Validation data
Reference
Comment
Report error
- Product number
- ENZ-ABS300-0100 - Provider product page

- Provider
- Enzo Life Sciences
- Product name
- ERGIC-53 monoclonal antibody (OTI1A8)
- Antibody type
- Monoclonal
- Antigen
- Recombinant full length protein
- Description
- Affinity purified.
- Reactivity
- Human, Rat, Canine, Simian
- Host
- Mouse
- Isotype
- IgG
- Antibody clone number
- OTI1A8
- Vial size
- 100 μl
- Storage
- -20°C
- Handling
- Avoid freeze/thaw cycles.
Submitted references Modulation of the Host Lipid Landscape to Promote RNA Virus Replication: The Picornavirus Encephalomyocarditis Virus Converges on the Pathway Used by Hepatitis C Virus.
Dorobantu CM, Albulescu L, Harak C, Feng Q, van Kampen M, Strating JR, Gorbalenya AE, Lohmann V, van der Schaar HM, van Kuppeveld FJ
PLoS pathogens 2015 Sep;11(9):e1005185
PLoS pathogens 2015 Sep;11(9):e1005185
No comments: Submit comment
Supportive validation
- Submitted by
- Enzo Life Sciences (provider)
- Main image

- Experimental details
- Western blot analysis of extracts (35µg) from 9 different cell lines by using ERGIC-53 monoclonal antibody (OTI1A8).
- Submitted by
- Enzo Life Sciences (provider)
- Main image

- Experimental details
- Immunohistochemistry staining of paraffin-embedded carcinoma of human prostate tissue using ERGIC-53 monoclonal antibody (OTI1A8).
- Submitted by
- Enzo Life Sciences (provider)
- Main image

- Experimental details
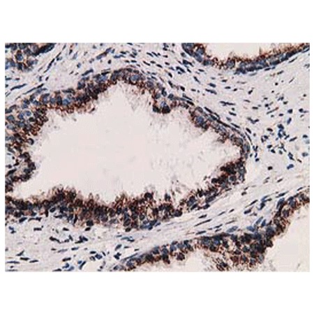
- Immunohistochemistry staining of paraffin-embedded human prostate tissue within the normal limits using ERGIC-53 monoclonal antibody (OTI1A8).
- Submitted by
- Enzo Life Sciences (provider)
- Main image

- Experimental details
- ERGIC-53 monoclonal antibody (OTI1A8) immunofluorescent staining of COS7 cells transiently transfected by pCMV6-ENTRY ERGIC-53.
- Submitted by
- Enzo Life Sciences (provider)
- Main image

- Experimental details
- Flow cytometric analysis of Jurkat cells, using ERGIC-53 monoclonal antibody (OTI1A8) (red), compared to a nonspecific negative control antibody (blue).