Antibody data
- Antibody Data
 - Antigen structure
 - References [0]
 - Comments [0]
 - Validations
 - Western blot [2]
 - Immunocytochemistry [1]
 - Immunoprecipitation [1]
 - Immunohistochemistry [5]
 - Flow cytometry [2]
 
Submit
Validation data
Reference
Comment
Report error
- Product number
 - RQ8353 - Provider product page

 - Provider
 - NSJ Bioreagents
 - Product name
 - NUDT5 Antibody / ADP-sugar pyrophosphatase
 - Antibody type
 - Polyclonal
 - Description
 - This highly specific NUDT5 antibody is suitable for use in Western blot/Immunohistochemistry/Flow cytometry/Immunofluorescence/Immunoprecipitation/Direct ELISA applications with human, mouse and rat samples.
 - Reactivity
 - Human, Mouse, Rat
 - Host
 - Rabbit
 - Conjugate
 - Unconjugated
 - Vial size
 - 100 ug
 - Concentration
 - 0.5mg/ml if reconstituted with 0.2ml sterile DI water
 - Storage
 - After reconstitution, the NUDT5 antibody can be stored for up to one month at 4oC. For long-term, aliquot and store at -20oC. Avoid repeated freezing and thawing.
 
				No comments: Submit comment	
	
			
							
					Supportive validation
					
									
				
				- Submitted by
 - NSJ Bioreagents (provider)
 - Main image
 
- Experimental details
 - Western blot testing of 1) human HeLa, 2) human 293T, 3) human HepG2, 4) human Jurkat and 5) rat RH35 cell lysate with NUDT5 antibody. Predicted molecular weight ~35 kDa.
 
- Submitted by
 - NSJ Bioreagents (provider)
 - Main image
 
- Experimental details
 - Western blot testing of 1) human Caco-2, 2) human 293T, 3) human Jurkat, 4) human HepG2 and 5) rat liver, 6) rat RH35, 7) mouse liver and 8) mouse HEPA1-6 cell lysate with NUDT5 antibody. Predicted molecular weight ~35 kDa.
 
							
					Supportive validation
					
									
				
				- Submitted by
 - NSJ Bioreagents (provider)
 - Main image
 
- Experimental details
 - Immunofluorescent staining of FFPE human U-2 OS cells with NUDT5 antibody (green) and Beta Tubulin mAb (red). HIER: steam section in pH6 citrate buffer for 20 min.
 
							
					Supportive validation
					
									
				
				- Submitted by
 - NSJ Bioreagents (provider)
 - Main image
 
- Experimental details
 - Immunoprecipitation of NUDT5 protein from 500ug of human 293T whole cell lysate with 2ug of NUDT5 antibody.
 
							
					Supportive validation
					
									
				
				- Submitted by
 - NSJ Bioreagents (provider)
 - Main image
 
- Experimental details
 - IHC staining of FFPE human lung cancer tissue with NUDT5 antibody. HIER: boil tissue sections in pH8 EDTA for 20 min and allow to cool before testing.
 
- Submitted by
 - NSJ Bioreagents (provider)
 - Main image
 
- Experimental details
 - IHC staining of FFPE human liver cancer tissue with NUDT5 antibody. HIER: boil tissue sections in pH8 EDTA for 20 min and allow to cool before testing.
 
- Submitted by
 - NSJ Bioreagents (provider)
 - Main image
 
- Experimental details
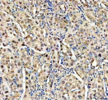
 - IHC staining of FFPE human liver cancer tissue with NUDT5 antibody. HIER: boil tissue sections in pH8 EDTA for 20 min and allow to cool before testing.
 
- Submitted by
 - NSJ Bioreagents (provider)
 - Main image
 
- Experimental details
 - IHC staining of FFPE mouse liver tissue with NUDT5 antibody. HIER: boil tissue sections in pH8 EDTA for 20 min and allow to cool before testing.
 
- Submitted by
 - NSJ Bioreagents (provider)
 - Main image
 
- Experimental details
 - IHC staining of FFPE rat liver tissue with NUDT5 antibody. HIER: boil tissue sections in pH8 EDTA for 20 min and allow to cool before testing.
 
							
					Supportive validation
					
									
				
		- Submitted by
 - NSJ Bioreagents (provider)
 - Main image
 
- Experimental details
 - Flow cytometry testing of fixed and permeabilized human 293T cells with NUDT5 antibody at 1ug/million cells (blocked with goat sera); Red=cells alone, Green=isotype control, Blue= NUDT5 antibody.
 
- Submitted by
 - NSJ Bioreagents (provider)
 - Main image
 
- Experimental details
 - Flow cytometry testing of fixed and permeabilized human Caco-2 cells with NUDT5 antibody at 1ug/million cells (blocked with goat sera); Red=cells alone, Green=isotype control, Blue= NUDT5 antibody.