Antibody data
- Antibody Data
- Antigen structure
- References [2]
- Comments [0]
- Validations
- Western blot [3]
- Immunohistochemistry [8]
Submit
Validation data
Reference
Comment
Report error
- Product number
- NBP1-87262 - Provider product page

- Provider
- Novus Biologicals
- Proper citation
- Novus Cat#NBP1-87262, RRID:AB_11031374
- Product name
- Rabbit Polyclonal Cdk6 Antibody
- Antibody type
- Polyclonal
- Description
- Immunogen affinity purified. Specificity of human Cdk6 antibody verified on a Protein Array containing target protein plus 383 other non-specific proteins.
- Reactivity
- Human
- Host
- Rabbit
- Isotype
- IgG
- Vial size
- 0.1 ml
- Storage
- Store at 4C short term. Aliquot and store at -20C long term. Avoid freeze-thaw cycles.
Submitted references Restraining Lysosomal Activity Preserves Hematopoietic Stem Cell Quiescence and Potency.
miR-107 inhibits CDK6 expression, differentiation, and lipid storage in human adipocytes.
Liang R, Arif T, Kalmykova S, Kasianov A, Lin M, Menon V, Qiu J, Bernitz JM, Moore K, Lin F, Benson DL, Tzavaras N, Mahajan M, Papatsenko D, Ghaffari S
Cell stem cell 2020 Mar 5;26(3):359-376.e7
Cell stem cell 2020 Mar 5;26(3):359-376.e7
miR-107 inhibits CDK6 expression, differentiation, and lipid storage in human adipocytes.
Ahonen MA, Haridas PAN, Mysore R, Wabitsch M, Fischer-Posovszky P, Olkkonen VM
Molecular and cellular endocrinology 2019 Jan 5;479:110-116
Molecular and cellular endocrinology 2019 Jan 5;479:110-116
No comments: Submit comment
Supportive validation
- Submitted by
- Novus Biologicals (provider)
- Main image

- Experimental details
- Western Blot: Cdk6 Antibody [NBP1-87262] - Analysis in mouse cell line NIH-3T3 and rat cell line NBT-II.
- Submitted by
- Novus Biologicals (provider)
- Main image

- Experimental details
- Western Blot: Cdk6 Antibody [NBP1-87262] - Analysis in human cell lines U2OS and A-549. Corresponding RNA-seq data are presented for the same cell lines. Loading control: Anti-COX4I1.
- Submitted by
- Novus Biologicals (provider)
- Main image

- Experimental details
- Western Blot: Cdk6 Antibody [NBP1-87262] - Analysis in Rh30 cells transfected with control siRNA, target specific siRNA probe #1 and #2. Remaining relative intensity is presented. Loading control: Anti-PPIB.
Supportive validation
- Submitted by
- Novus Biologicals (provider)
- Main image

- Experimental details
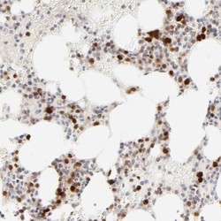
- Immunohistochemistry-Paraffin: Cdk6 Antibody [NBP1-87262] - Staining of human bone marrow shows high expression.
- Submitted by
- Novus Biologicals (provider)
- Main image

- Experimental details
- Immunohistochemistry-Paraffin: Cdk6 Antibody [NBP1-87262] - Staining of human skeletal muscle shows low expression as expected.
- Submitted by
- Novus Biologicals (provider)
- Main image

- Experimental details
- Immunohistochemistry-Paraffin: Cdk6 Antibody [NBP1-87262] - Staining in human bone marrow and skeletal muscle tissues using anti-CDK6 antibody. Corresponding CDK6 RNA-seq data are presented for the same tissues.
- Submitted by
- Novus Biologicals (provider)
- Main image

- Experimental details
- Immunohistochemistry-Paraffin: Cdk6 Antibody [NBP1-87262] - Staining of human skeletal muscle shows no positivity in myocytes as expected.
- Submitted by
- Novus Biologicals (provider)
- Main image

- Experimental details
- Immunohistochemistry-Paraffin: Cdk6 Antibody [NBP1-87262] - Staining of human testis shows moderate nuclear positivity in cells in seminiferous ducts.
- Submitted by
- Novus Biologicals (provider)
- Main image

- Experimental details
- Immunohistochemistry-Paraffin: Cdk6 Antibody [NBP1-87262] - Analysis in human placenta and skeletal muscle tissues. Corresponding CDK6 RNA-seq data are presented for the same tissues.
- Submitted by
- Novus Biologicals (provider)
- Main image

- Experimental details
- Immunohistochemistry-Paraffin: Cdk6 Antibody [NBP1-87262] - Staining of human lymph node shows moderate to strong cytoplasmic positivity in germinal center cells.
- Submitted by
- Novus Biologicals (provider)
- Main image

- Experimental details
- Immunohistochemistry-Paraffin: Cdk6 Antibody [NBP1-87262] - Staining of human placenta shows strong nuclear positivity in trophoblastic cells.