Antibody data
- Antibody Data
- Antigen structure
- References [2]
- Comments [0]
- Validations
- Western blot [1]
- Immunocytochemistry [1]
- Immunoprecipitation [1]
- Immunohistochemistry [1]
Submit
Validation data
Reference
Comment
Report error
- Product number
- GTX105079 - Provider product page

- Provider
- GeneTex
- Proper citation
- GeneTex Cat#GTX105079, RRID:AB_11173437
- Product name
- MAD1 antibody
- Antibody type
- Polyclonal
- Reactivity
- Human
- Host
- Rabbit
Submitted references CDK1-CCNB1 creates a spindle checkpoint-permissive state by enabling MPS1 kinetochore localization.
MAD1-dependent recruitment of CDK1-CCNB1 to kinetochores promotes spindle checkpoint signaling.
Hayward D, Alfonso-Pérez T, Cundell MJ, Hopkins M, Holder J, Bancroft J, Hutter LH, Novak B, Barr FA, Gruneberg U
The Journal of cell biology 2019 Apr 1;218(4):1182-1199
The Journal of cell biology 2019 Apr 1;218(4):1182-1199
MAD1-dependent recruitment of CDK1-CCNB1 to kinetochores promotes spindle checkpoint signaling.
Alfonso-Pérez T, Hayward D, Holder J, Gruneberg U, Barr FA
The Journal of cell biology 2019 Apr 1;218(4):1108-1117
The Journal of cell biology 2019 Apr 1;218(4):1108-1117
No comments: Submit comment
Supportive validation
- Submitted by
- GeneTex (provider)
- Main image

- Experimental details
- MAD1 antibody detects MAD1L1 protein by western blot analysis.A. 30 ?g 293T whole cell lysate/extractB. 30 ?g A431 whole cell lysate/extract C. 30 ?g HeLa whole cell lysate/extract D. 30 ?g HepG2 whole cell lysate/extract E. 30 ?g A375 whole cell lysate/extract7.5% SDS-PAGEMAD1 antibody (GTX105079) dilution: 1:1000 The HRP-conjugated anti-rabbit IgG antibody (GTX213110-01) was used to detect the primary antibody.
Supportive validation
- Submitted by
- GeneTex (provider)
- Main image

- Experimental details
- Immunofluorescence analysis of paraformaldehyde-fixed MCF-7, using MAD1(GTX105079) antibody at 1:500 dilution.
Supportive validation
- Submitted by
- GeneTex (provider)
- Main image

- Experimental details
- Immunoprecipitation of MAD1 protein from HeLa whole cell extracts using 5 £gg of MAD1 antibody (GTX105079).Western blot analysis was performed using MAD1 antibody (GTX105079).EasyBlot anti-Rabbit IgG (GTX221666-01) was used as a secondary reagent.
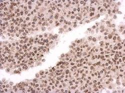
Supportive validation
- Submitted by
- GeneTex (provider)
- Main image

- Experimental details
- Immunohistochemical analysis of paraffin-embedded HBL435 xenograft, using MAD1(GTX105079) antibody at 1:500 dilution.