Antibody data
- Antibody Data
- Antigen structure
- References [1]
- Comments [0]
- Validations
- Western blot [1]
- Immunoprecipitation [1]
- Immunohistochemistry [2]
Submit
Validation data
Reference
Comment
Report error
- Product number
- NB100-569 - Provider product page

- Provider
- Novus Biologicals
- Proper citation
- Novus Cat#NB100-569, RRID:AB_10000635
- Product name
- Rabbit Polyclonal MAD1L1/MAD1 Antibody
- Antibody type
- Polyclonal
- Description
- Immunogen affinity purified.
- Reactivity
- Human
- Host
- Rabbit
- Isotype
- IgG
- Vial size
- 100 ul
- Concentration
- 1.0 mg/ml
- Storage
- Store at 4C. Do not freeze.
Submitted references Role of a novel splice variant of mitotic arrest deficient 1 (MAD1), MAD1beta, in mitotic checkpoint control in liver cancer.
Sze KM, Ching YP, Jin DY, Ng IO
Cancer research 2008 Nov 15;68(22):9194-201
Cancer research 2008 Nov 15;68(22):9194-201
No comments: Submit comment
Supportive validation
- Submitted by
- Novus Biologicals (provider)
- Main image

- Experimental details
- Western Blot: MAD1L1/MAD1 Antibody [NB100-569] - Detection of Human MAD1 by Western Blot. Samples: Whole cell lysate (50 ug) from HeLa cells prepared using NETN lysis buffer. Antibody: Affinity purified rabbit anti-MAD1 antibody NB100-569 used for WB at 0.06 ug/ml. Detection: Chemiluminescence with an exposure time of 3 minutes.
Supportive validation
- Submitted by
- Novus Biologicals (provider)
- Main image

- Experimental details
- Immunoprecipitation: MAD1L1/MAD1 Antibody [NB100-569] - Whole cell lysate (50 mcg/lane in A; 50 mcg input in B, 1 mg for IP in B) from HeLa cells. In A, HeLa cells were treated with Nocodazole (+) or mock treated (-). NB100-569 used at 0.1 mcg/ml for Western Blot (A) and at 1 mcg/mg lysate for IP (B). MAD1 was also immunoprecipitated using rabbit anti-MAD1 antibodies NB100-570 and NB100-571 using 1 mcg/mg lysate. In B, MAD1 in input and immunoprecipitate was detected using NB100-570 at 0.2 mcg/ml.
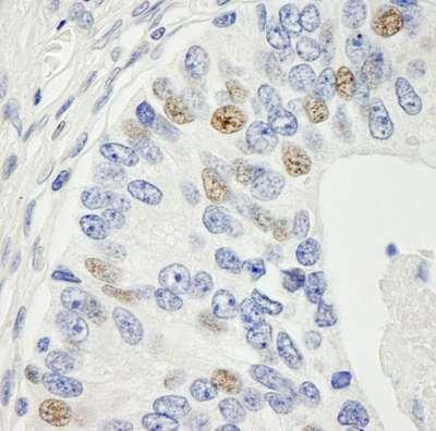
Supportive validation
- Submitted by
- Novus Biologicals (provider)
- Main image

- Experimental details
- Immunohistochemistry-Paraffin: MAD1L1/MAD1 Antibody [NB100-569] - Sample: FFPE section of human prostate carcinoma. Antibody: Affinity purified rabbit anti-MAD1 used at a dilution of 1:1,000 (1ug/ml). Detection: DAB
- Submitted by
- Novus Biologicals (provider)
- Main image

- Experimental details
- Immunohistochemistry-Paraffin: MAD1L1/MAD1 Antibody [NB100-569] - FFPE section of human prostate adenocarcinoma. Affinity purified rabbit anti-MAD1 used at a dilution of 1:250.