Antibody data
- Antibody Data
- Antigen structure
- References [3]
- Comments [0]
- Validations
- Western blot [1]
- Immunohistochemistry [1]
Submit
Validation data
Reference
Comment
Report error
- Product number
- ABIN309766 - Provider product page

- Provider
- antibodies-online
- Product name
- anti-Voltage-Dependent Anion Channel 3 (VDAC3) antibody
- Antibody type
- Polyclonal
- Antigen
- The immunogen for anti-VDAC3 antibody: synthetic peptide directed towards the N terminal of human VDAC3
- Reactivity
- Human, Mouse, Rat, Bovine, Canine, Chicken/Avian, Porcine, Rabbit, Xenopus
- Host
- Rabbit
- Antigen sequence
KWNTDNTLGTEISWENKLAEGLKLTLDTIFVPNTG
KKSGK LKASYKRDCF- Vial size
- 50 µg
Submitted references VDAC3 and Mps1 negatively regulate ciliogenesis.
VDAC3 regulates centriole assembly by targeting Mps1 to centrosomes.
Human spermatozoa contain multiple targets for protein S-nitrosylation: an alternative mechanism of the modulation of sperm function by nitric oxide?
Majumder S, Fisk HA
Cell cycle (Georgetown, Tex.) 2013 Mar 1;12(5):849-58
Cell cycle (Georgetown, Tex.) 2013 Mar 1;12(5):849-58
VDAC3 regulates centriole assembly by targeting Mps1 to centrosomes.
Majumder S, Slabodnick M, Pike A, Marquardt J, Fisk HA
Cell cycle (Georgetown, Tex.) 2012 Oct 1;11(19):3666-78
Cell cycle (Georgetown, Tex.) 2012 Oct 1;11(19):3666-78
Human spermatozoa contain multiple targets for protein S-nitrosylation: an alternative mechanism of the modulation of sperm function by nitric oxide?
Lefièvre L, Chen Y, Conner SJ, Scott JL, Publicover SJ, Ford WC, Barratt CL
Proteomics 2007 Sep;7(17):3066-84
Proteomics 2007 Sep;7(17):3066-84
No comments: Submit comment
Supportive validation
- Submitted by
- antibodies-online (provider)
- Main image

- Experimental details
- Host: Rabbit Target Name: VDAC3 Sample Tissue: 721_B Antibody Dilution: 1.0 μg/mL VDAC3 is strongly supported by BioGPS gene expression data to be expressed in Human 721_B cells
Supportive validation
- Submitted by
- antibodies-online (provider)
- Main image

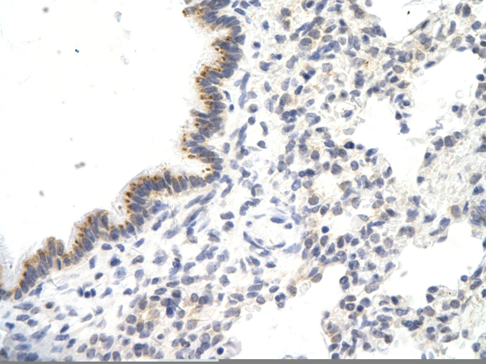
- Experimental details
- Rabbit Anti-VDAC3 Antibody ,Paraffin Embedded Tissue: Human Lung cell Cellular Data: Epithelial cells of renal tubule Antibody Concentration: 4.0-8.0 μg/mL Magnification:.00X