Antibody data
- Antibody Data
- Antigen structure
- References [0]
- Comments [0]
- Validations
- Western blot [2]
- Immunohistochemistry [1]
Submit
Validation data
Reference
Comment
Report error
- Product number
- TA308874 - Provider product page

- Provider
- OriGene
- Product name
- Rabbit polyclonal antibody to Factor VII (coagulation factor VII (serum prothrombin conversion accelerator))
- Antibody type
- Polyclonal
- Description
- Rabbit polyclonal antibody to Factor VII (coagulation factor VII (serum prothrombin conversion accelerator))
- Host
- Rabbit
- Conjugate
- Unconjugated
- Epitope
- F7
- Isotype
- IgG
- Antibody clone number
- NULL
- Vial size
- 100 µl
- Concentration
- 0.74mg/ml
No comments: Submit comment
Supportive validation
- Submitted by
- OriGene (provider)
- Main image

- Experimental details
- Sample(30 ug of whole cell lysate). A:H1299. 7.5% SDS PAGE. TA308874 diluted at 1:500
- Validation comment
- WB
- Submitted by
- OriGene (provider)
- Main image

- Experimental details
- Sample (30 ug of whole cell lysate). . A:NIH-3T3. 10% SDS PAGE. . TA308874 diluted at 1:1000.
- Validation comment
- WB
Supportive validation
- Submitted by
- OriGene (provider)
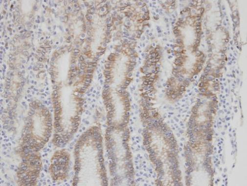
- Main image

- Experimental details
- Immunohistochemical analysis of paraffin-embedded normal gastric epithelium (gland) , using F7(TA308874) antibody at 1:100 dilution.
- Validation comment
- IHC