Antibody data
- Antibody Data
- Antigen structure
- References [0]
- Comments [0]
- Validations
- Western blot [1]
- Immunohistochemistry [1]
Submit
Validation data
Reference
Comment
Report error
- Product number
- OAAF04475 - Provider product page

- Provider
- Aviva Systems Biology
- Product name
- SLC30A4 Antibody
- Antibody type
- Polyclonal
- Reactivity
- Human, Mouse, Rat
- Host
- Rabbit
- Vial size
- 100µg
- Storage
- Store at -20°C/1 year
No comments: Submit comment
Supportive validation
- Submitted by
- Aviva Systems Biology (provider)
- Main image

- Experimental details
- Western blot analysis of extracts from A549 cells, using SLC30A4 antibody. The lane on the right is treated with the synthesized peptide.
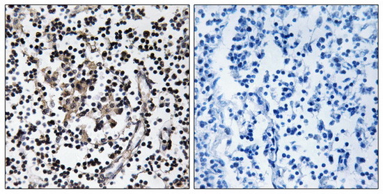
Supportive validation
- Submitted by
- Aviva Systems Biology (provider)
- Main image

- Experimental details
- Immunohistochemistry analysis of paraffin-embedded human lymph node tissue using SLC30A4 antibody. The picture on the right is treated with the synthesized peptide.