Antibody data
- Antibody Data
- Antigen structure
- References [0]
- Comments [0]
- Validations
- Immunohistochemistry [3]
Submit
Validation data
Reference
Comment
Report error
- Product number
- LS-C380097 - Provider product page 
- Provider
- LSBio
- Product name
- BCL2L14 / BCL-G Antibody (aa1-327) LS-C380097
- Antibody type
- Polyclonal
- Description
- Immunoaffinity purified
- Reactivity
- Human
- Host
- Rabbit
- Isotype
- IgG
- Storage
- Short term: -20°C; Long term: -80°C; Avoid freeze-thaw cycles.
				No comments: Submit comment	
	
			
							
					Supportive validation
					
									
				
		- Submitted by
- LSBio (provider)
- Enhanced method
- Genetic validation
- Main image
 
- Experimental details
- Immunohistochemistry of paraffin-embedded human prostate using antibody at 1:100 dilution.
- Submitted by
- LSBio (provider)
- Enhanced method
- Genetic validation
- Main image
 
- Experimental details
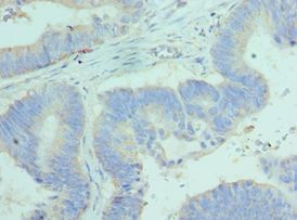
- Immunohistochemistry of paraffin-embedded human colon cancer using antibody at 1:100 dilution.
- Submitted by
- LSBio (provider)
- Enhanced method
- Genetic validation
- Main image
 
- Experimental details
- Immunohistochemistry of paraffin-embedded human colon cancer using antibody at 1:100 dilution.