Antibody data
- Antibody Data
- Antigen structure
- References [0]
- Comments [0]
- Validations
- Western blot [1]
- Immunohistochemistry [2]
Submit
Validation data
Reference
Comment
Report error
- Product number
- R30994 - Provider product page

- Provider
- NSJ Bioreagents
- Product name
- p107 Antibody
- Antibody type
- Polyclonal
- Description
- This highly specific p107 antibody is suitable for use in Western blot/Immunohistochemistry applications with human, mouse and rat samples.
- Reactivity
- Human, Mouse, Rat
- Host
- Rabbit
- Conjugate
- Unconjugated
- Vial size
- 100 ug
- Concentration
- 0.5mg/ml if reconstituted with 0.2ml sterile DI water
- Storage
- After reconstitution, the p107 antibody can be stored for up to one month at 4oC. For long-term, aliquot and store at -20oC. Avoid repeated freezing and thawing.
No comments: Submit comment
Supportive validation
- Submitted by
- NSJ Bioreagents (provider)
- Main image

- Experimental details
- Western blot testing of p107 antibody and Lane 1: 239T; 2: Jurkat cell lysate
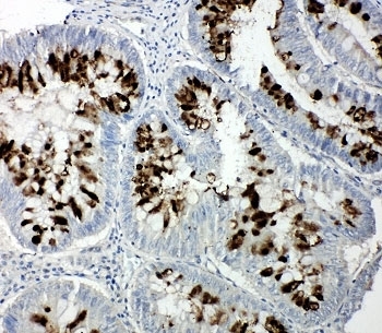
Supportive validation
- Submitted by
- NSJ Bioreagents (provider)
- Main image

- Experimental details
- IHC-P: p107 antibody testing of human intestinal cancer tissue
- Submitted by
- NSJ Bioreagents (provider)
- Main image

- Experimental details
- IHC-P: p107 antibody testing of rat intestine tissue