Antibody data
- Antibody Data
- Antigen structure
- References [0]
- Comments [0]
- Validations
- Western blot [1]
- Immunohistochemistry [1]
Submit
Validation data
Reference
Comment
Report error
- Product number
- AP21975SU-N - Provider product page

- Provider
- Acris Antibodies GmbH
- Proper citation
- Acris Antibodies GmbH Cat#AP21975SU-N, RRID:AB_10756466
- Product name
- anti MALT1 (646-885)
- Antibody type
- Polyclonal
- Antigen
- Recombinant human MALT1/Paracaspase protein fragment corresponding to amino acids 646-885
- Reactivity
- Human
- Host
- Rabbit
- Vial size
- 50 µl
No comments: Submit comment
Supportive validation
- Submitted by
- Acris Antibodies GmbH (provider)
- Main image

- Experimental details
- Western blot analysis of MALT1/Paracaspase expression using AP21975SU-N at 1:2000. HEK293N cells transiently transfected with control (empty) plasmid (Ctl-) or human full-length MALT1 (Ctl+) were used as negative or positive controls, respectively. Freshly isolated human polymorphonuclear neutrophils (PMN) and resting B-cells were negative. MALT1 expression was detected in SKW64, Ramos, and BJAB B-cell lymphoma lines, and 3 out of 6 B-cell chronic lymphocytic luekemia (CLL) patients.
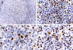
Supportive validation
- Submitted by
- Acris Antibodies GmbH (provider)
- Main image

- Experimental details
- Immunohistochemical analysis of MALT1/Paracaspase expression in formalin-fixed human reactive lymph node using AP21975SU-N at 1:2000. A. Low magnification. A1-3, high magnification from A: A1, mantle zone. A2, germinal center. A3. marginal zone. Hematoxylin-eosin counterstain.