Antibody data
- Antibody Data
- Antigen structure
- References [7]
- Comments [0]
- Validations
- Immunohistochemistry [1]
Submit
Validation data
Reference
Comment
Report error
- Product number
- AF339 - Provider product page

- Provider
- Novus Biologicals
- Product name
- Goat Polyclonal Activin RIIB Antibody
- Antibody type
- Polyclonal
- Description
- Immunogen affinity purified. Detects human Activin RIIB in direct ELISAs and Western blots. In direct ELISAs, approximately 50% cross-reactivity with recombinant mouse Activin RIIB is observed, and less than 1% cross-reactivity with recombinant human (rh) Activin RIIA, rhActivin RIA, and rhActivin RIB is observed.
- Reactivity
- Human
- Host
- Goat
- Isotype
- IgG
- Vial size
- 100 ug
- Concentration
- LYOPH
- Storage
- Use a manual defrost freezer and avoid repeated freeze-thaw cycles. 12 months from date of receipt, -20 to -70 degreesC as supplied. 1 month, 2 to 8 degreesC under sterile conditions after reconstitution. 6 months, -20 to -70 degreesC under sterile conditions after reconstitution.
Submitted references Activin receptors regulate the oligodendrocyte lineage in health and disease.
Postnatal regulation of germ cells by activin: the establishment of the initial follicle pool.
Activin A is an endogenous inhibitor of ureteric bud outgrowth from the Wolffian duct.
Follicle-restricted compartmentalization of transforming growth factor beta superfamily ligands in the feline ovary.
Activin and inhibin receptor gene expression in the ewe pituitary throughout the oestrous cycle.
Activin and inhibin receptor gene expression in the ewe pituitary throughout the oestrous cycle.
Regulation of endocytosis of activin type II receptors by a novel PDZ protein through Ral/Ral-binding protein 1-dependent pathway.
Dillenburg A, Ireland G, Holloway RK, Davies CL, Evans FL, Swire M, Bechler ME, Soong D, Yuen TJ, Su GH, Becher JC, Smith C, Williams A, Miron VE
Acta neuropathologica 2018 Jun;135(6):887-906
Acta neuropathologica 2018 Jun;135(6):887-906
Postnatal regulation of germ cells by activin: the establishment of the initial follicle pool.
Bristol-Gould SK, Kreeger PK, Selkirk CG, Kilen SM, Cook RW, Kipp JL, Shea LD, Mayo KE, Woodruff TK
Developmental biology 2006 Oct 1;298(1):132-48
Developmental biology 2006 Oct 1;298(1):132-48
Activin A is an endogenous inhibitor of ureteric bud outgrowth from the Wolffian duct.
Maeshima A, Vaughn DA, Choi Y, Nigam SK
Developmental biology 2006 Jul 15;295(2):473-85
Developmental biology 2006 Jul 15;295(2):473-85
Follicle-restricted compartmentalization of transforming growth factor beta superfamily ligands in the feline ovary.
Bristol SK, Woodruff TK
Biology of reproduction 2004 Mar;70(3):846-59
Biology of reproduction 2004 Mar;70(3):846-59
Activin and inhibin receptor gene expression in the ewe pituitary throughout the oestrous cycle.
Fafioffe A, Ethier JF, Fontaine J, JeanPierre E, Taragnat C, Dupont J
The Journal of endocrinology 2004 Jul;182(1):55-68
The Journal of endocrinology 2004 Jul;182(1):55-68
Activin and inhibin receptor gene expression in the ewe pituitary throughout the oestrous cycle.
Fafioffe A, Ethier JF, Fontaine J, JeanPierre E, Taragnat C, Dupont J
The Journal of endocrinology 2004 Jul;182(1):55-68
The Journal of endocrinology 2004 Jul;182(1):55-68
Regulation of endocytosis of activin type II receptors by a novel PDZ protein through Ral/Ral-binding protein 1-dependent pathway.
Matsuzaki T, Hanai S, Kishi H, Liu Z, Bao Y, Kikuchi A, Tsuchida K, Sugino H
The Journal of biological chemistry 2002 May 24;277(21):19008-18
The Journal of biological chemistry 2002 May 24;277(21):19008-18
No comments: Submit comment
Supportive validation
- Submitted by
- Novus Biologicals (provider)
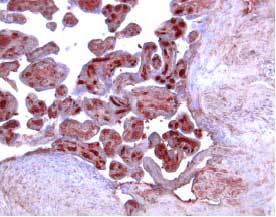
- Main image

- Experimental details
- Activin RIIB in Human Placenta. Activin RIIB was detected in immersion fixed paraffin-embedded sections of human placenta (cross-section of chorionic villi) using 5 µg/mL Goat Anti-Human Activin RIIB Antigen Affinity-purified Poly-clonal Antibody (Catalog # AF339) overnight at 4 °C. Tissue was stained with the Anti-Goat HRP-DAB Cell & Tissue Staining Kit (brown; Catalog # CTS008) and counterstained with hematoxylin (blue). View our protocol for Chromogenic IHC Staining of Paraffin-embedded Tissue Sections.