Antibody data
- Antibody Data
- Antigen structure
- References [0]
- Comments [0]
- Validations
- Western blot [2]
- Immunoprecipitation [1]
- Immunohistochemistry [1]
Submit
Validation data
Reference
Comment
Report error
- Product number
- GTX100254 - Provider product page

- Provider
- GeneTex
- Proper citation
- GeneTex Cat#GTX100254, RRID:AB_1240772
- Product name
- EPS8 antibody [C3], C-term
- Antibody type
- Polyclonal
- Reactivity
- Human, Mouse, Rat
- Host
- Rabbit
No comments: Submit comment
Supportive validation
- Submitted by
- GeneTex (provider)
- Main image

- Experimental details
- Sample (30 ug of whole cell lysate) A: H1299 B: Hela 7.5% SDS PAGE EPS8 antibody GTX100254 diluted at 1:1000
- Submitted by
- GeneTex (provider)
- Main image

- Experimental details
- Various tissue extracts (50 ?g) were separated by 7.5% SDS-PAGE, and the membrane was blotted with EPS8 antibody [C3], C-term (GTX100254) diluted at 1:1000. The HRP-conjugated anti-rabbit IgG antibody (GTX213110-01) was used to detect the primary antibody.
Supportive validation
- Submitted by
- GeneTex (provider)
- Main image

- Experimental details
- Immunoprecipitation of EPS8 protein from HepG2 whole cell extracts using 5 £gg of EPS8 antibody [C3], C-term (GTX100254).Western blot analysis was performed using EPS8 antibody [C3], C-term (GTX100254).EasyBlot anti-Rabbit IgG (GTX221666-01) was used as a secondary reagent.
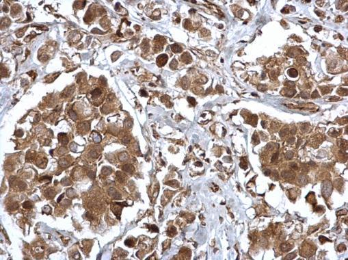
Supportive validation
- Submitted by
- GeneTex (provider)
- Main image

- Experimental details
- EPS8 antibody [C3], C-term detects EPS8 protein at cytosol and nucleus on human breast carcinoma by immunohistochemical analysis. Sample: Paraffin-embedded human breast carcinoma. EPS8 antibody [C3], C-term (GTX100254) dilution: 1:500.