A00548-2
antibody from Boster Biological Technology
Targeting: ZEB1
AREB6, BZP, FECD6, NIL-2-A, PPCD3, TCF8, ZEB, Zfhep, Zfhx1a
Antibody data
- Antibody Data
- Antigen structure
- References [7]
- Comments [0]
- Validations
- Immunohistochemistry [1]
Submit
Validation data
Reference
Comment
Report error
- Product number
- A00548-2 - Provider product page

- Provider
- Boster Biological Technology
- Product name
- Anti-AREB6/ZEB1 Antibody Picoband™
- Antibody type
- Polyclonal
- Description
- Rabbit IgG polyclonal antibody for AREB6/ZEB1 detection. Tested with WB, IHC-P, ICC/IF, FCM in Human.
- Reactivity
- Human
- Host
- Rabbit
- Vial size
- 100μg/vial
- Concentration
- Add 0.2ml of distilled water will yield a concentration of 500ug/ml.
- Storage
- At -20°C for one year. After reconstitution, at 4°C for one month. It can also be aliquoted and stored frozen at -20°C for a longer time. Avoid repeated freezing and thawing.
- Handling
- Add 0.2ml of distilled water will yield a concentration of 500ug/ml.
Submitted references STAT5A modulates gastric cancer progression via upregulation of CD44.
Endosulfan induced kidney cell injury by modulating ACE2 through up-regulating miR-429 in HK-2 cells.
MALAT-1 regulates the AML progression by promoting the m6A modification of ZEB1.
All-trans retinoic acid reverses malignant biological behavior of hepatocarcinoma cells by regulating miR-200 family members.
MiR-451a restrains the growth and metastatic phenotypes of papillary thyroid carcinoma cells via inhibiting ZEB1.
Identification of FOXM1 as a specific marker for triple‑negative breast cancer.
MiR-181a contributes gefitinib resistance in non-small cell lung cancer cells by targeting GAS7.
Wang S, Fan R, Gao H, Ma X, Wu Y, Xing Y, Wang Y, Jia Y
Genomics 2023 May;115(3):110638
Genomics 2023 May;115(3):110638
Endosulfan induced kidney cell injury by modulating ACE2 through up-regulating miR-429 in HK-2 cells.
Zhang B, Liu S, Sun Y, Xu D
Toxicology 2023 Jan 15;484:153392
Toxicology 2023 Jan 15;484:153392
MALAT-1 regulates the AML progression by promoting the m6A modification of ZEB1.
Jin J, Fu L, Hong P, Feng W
Acta biochimica Polonica 2023 Feb 22;70(1):37-43
Acta biochimica Polonica 2023 Feb 22;70(1):37-43
All-trans retinoic acid reverses malignant biological behavior of hepatocarcinoma cells by regulating miR-200 family members.
Cui J, Gong M, Fang S, Hu C, Wang Y, Zhang J, Tang N, He Y
Genes & diseases 2021 Jul;8(4):509-520
Genes & diseases 2021 Jul;8(4):509-520
MiR-451a restrains the growth and metastatic phenotypes of papillary thyroid carcinoma cells via inhibiting ZEB1.
Wang Q, Shang J, Zhang Y, Zhou Y, Tang L
Biomedicine & pharmacotherapy = Biomedecine & pharmacotherapie 2020 Jul;127:109901
Biomedicine & pharmacotherapy = Biomedecine & pharmacotherapie 2020 Jul;127:109901
Identification of FOXM1 as a specific marker for triple‑negative breast cancer.
Tan Y, Wang Q, Xie Y, Qiao X, Zhang S, Wang Y, Yang Y, Zhang B
International journal of oncology 2019 Jan;54(1):87-97
International journal of oncology 2019 Jan;54(1):87-97
MiR-181a contributes gefitinib resistance in non-small cell lung cancer cells by targeting GAS7.
Ping W, Gao Y, Fan X, Li W, Deng Y, Fu X
Biochemical and biophysical research communications 2018 Jan 22;495(4):2482-2489
Biochemical and biophysical research communications 2018 Jan 22;495(4):2482-2489
No comments: Submit comment
Supportive validation
- Submitted by
- Boster Biological Technology (provider)
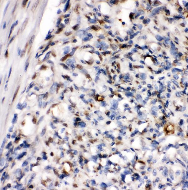
- Main image

- Experimental details
- IHC analysis of ZEB1 using anti-ZEB1 antibody (A00548-2). ZEB1 was detected in paraffin-embedded section of human melanoma tissues. Heat mediated antigen retrieval was performed in citrate buffer (pH6, epitope retrieval solution) for 20 mins. The tissue section was blocked with 10% goat serum. The tissue section was then incubated with 1μg/ml rabbit anti-ZEB1 Antibody (A00548-2) overnight at 4°C. Biotinylated goat anti-rabbit IgG was used as secondary antibody and incubated for 30 minutes at 37°C. The tissue section was developed using Strepavidin-Biotin-Complex (SABC)(Catalog # SA1022) with DAB as the chromogen.
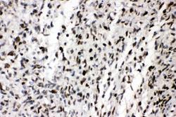
- Additional image
