Antibody data
- Antibody Data
- Antigen structure
- References [0]
- Comments [0]
- Validations
- Immunohistochemistry [2]
Submit
Validation data
Reference
Comment
Report error
- Product number
- AP31359PU-N - Provider product page

- Provider
- Acris Antibodies GmbH
- Proper citation
- Acris Antibodies GmbH Cat#AP31359PU-N, RRID:AB_10976999
- Product name
- anti ELAC2 / HPC2 (161-210)
- Antibody type
- Polyclonal
- Antigen
- Synthetic peptide (aa161-210)- KLH conjugated
- Reactivity
- Human
- Host
- Rabbit
- Isotype
- IgG
- Vial size
- 50 µg
- Concentration
- 1.0 mg/ml
No comments: Submit comment
Supportive validation
- Submitted by
- Acris Antibodies GmbH (provider)
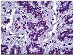
- Main image

- Experimental details
- Formalin-Fixed, Paraffin-Embedded Human Breast, Epithelium tissue stained with ELAC2 / HPC2 Antibody Cat.-No AP31359PU-N at 10 µg/ml after heat-induced antigen retrieval.
- Submitted by
- Acris Antibodies GmbH (provider)
- Main image

- Experimental details
- Formalin-Fixed, Paraffin-Embedded Human Spleen tissue stained with ELAC2 / HPC2 Antibody Cat.-No AP31359PU-N at 10 µg/ml after heat-induced antigen retrieval.