Antibody data
- Antibody Data
- Antigen structure
- References [0]
- Comments [0]
- Validations
- Western blot [1]
- ELISA [1]
- Immunocytochemistry [1]
- Immunohistochemistry [1]
Submit
Validation data
Reference
Comment
Report error
- Product number
- AM31061PU-N - Provider product page

- Provider
- OriGene
- Product name
- PC1/3 (PCSK1) (652-754) mouse monoclonal antibody, clone 3D2, Purified
- Antibody type
- Monoclonal
- Description
- PC1/3 (PCSK1) (652-754) mouse monoclonal antibody, clone 3D2, Purified
- Host
- Mouse
- Conjugate
- Unconjugated
- Epitope
- PCSK1
- Isotype
- IgG
- Antibody clone number
- 3D2
- Vial size
- 50 µg
- Concentration
- 0.4 mg/ml
No comments: Submit comment
Supportive validation
- Submitted by
- OriGene (provider)
- Main image

- Experimental details
- PCSK1 monoclonal antibody clone 3D2. Western Blot analysis of PCSK1 expression in NIH/3T3.
- Validation comment
- WB
Supportive validation
- Submitted by
- OriGene (provider)
- Main image

- Experimental details
- Detection limit for recombinant GST tagged PCSK1 is approximately 0.03ng/ml as a capture antibody.
- Validation comment
- ELISA
Supportive validation
- Submitted by
- OriGene (provider)
- Main image

- Experimental details
- Immunofluorescence of monoclonal antibody to PCSK1 on HeLa cell. [antibody concentration 30 ug/ml]
- Validation comment
- IF
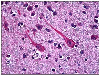
Supportive validation
- Submitted by
- OriGene (provider)
- Main image

- Experimental details
- Human Brain, Cortex: Formalin-Fixed, Paraffin-Embedded (FFPE)
- Validation comment
- IHC