Antibody data
- Antibody Data
- Antigen structure
- References [0]
- Comments [0]
- Validations
- Western blot [2]
- Immunohistochemistry [2]
Submit
Validation data
Reference
Comment
Report error
- Product number
- A302-784A - Provider product page

- Provider
- Invitrogen Antibodies
- Product name
- API5 Polyclonal Antibody
- Antibody type
- Polyclonal
- Antigen
- Other
- Reactivity
- Human, Mouse
- Host
- Rabbit
- Isotype
- IgG
- Vial size
- 100 µL
- Concentration
- 0.20 mg/mL
- Storage
- 4° C
No comments: Submit comment
Supportive validation
- Submitted by
- Invitrogen Antibodies (provider)
- Main image

- Experimental details
- Detection of human API5 by western blot of immunoprecipitates. Samples: Whole cell lysate (1.0 mg per IP reaction; 20% of IP loaded) from Jurkat, cells prepared using NETN lysis buffer. Antibodies: Affinity purified rabbit anti-API5 antibody A302-784A (lot A302-784A-2) used for IP at 3 µg per reaction. API5 was also immunoprecipitated by a previous lot of this antibody (lot A302-784A-1) and rabbit anti-API5 antibody A302-785A. For blotting immunoprecipitated API5, A302-784A was used at 1 µg/ml. Detection: Chemiluminescence with an exposure time of 3 minutes.
- Submitted by
- Invitrogen Antibodies (provider)
- Main image

- Experimental details
- Detection of human and mouse API5 by western blot. Samples:Whole cell lysate (50 µg) from HeLa, 293T, Jurkat, mouse TCMK-1, and mouse NIH3T3 cells prepared using NETN lysis buffer. Antibody: Affinity purified rabbit anti-API5 antibody A302-784A (lot A302-784A-2) used for WB at 0.1 µg/ml. Detection:Chemiluminescence with an exposure time of 3 minutes.
Supportive validation
- Submitted by
- Invitrogen Antibodies (provider)
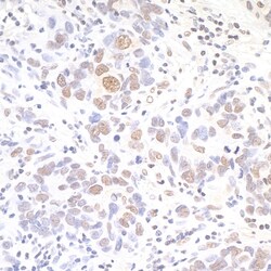
- Main image

- Experimental details
- Detection of mouse API5 by immunohistochemistry. Sample: FFPE section of mouse renal cell carcinoma. Antibody: Affinity purified rabbit anti-API5 (Cat. No. A302-784A Lot2) used at 1:200 (1 µg/ml) Detection: DAB.
- Submitted by
- Invitrogen Antibodies (provider)
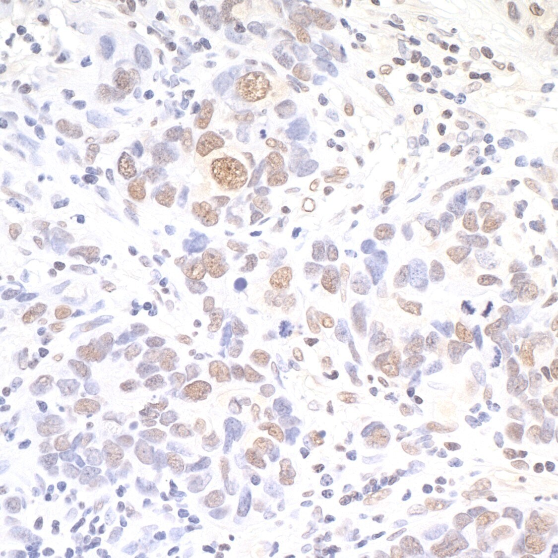
- Main image

- Experimental details
- Detection of human API5 by immunohistochemistry. Sample: FFPE section of human breast carcinoma. Antibody: Affinity purified rabbit anti-API5 (Cat. No. A302-784A Lot2) used at 1:200 (1 µg/ml). Detection: DAB.